黄嘌呤氧化酶重组兔单抗

Rrmab?兔单抗
2026-03-02~2026-04-30,KXJ26032026-03-02~2026-04-30,促销赠品
黄嘌呤氧化酶重组兔单抗
货号:bsm-61911R
产品详情
相关标记
相关产品
相关文献
常见问题

概述

产品编号
bsm-61911R
产品类型
重组兔单抗
英文名称
XDH Recombinant Rabbit mAb
中文名称
黄嘌呤氧化酶重组兔单抗
英文别名
XAN1; XDH/XO; XO; XOR; Xox-1; Xox1; XDH_HUMAN; XDH; XDHA; XDH_MOUSE; XDH_RAT;
抗体来源
Rabbit
免疫原
A synthesized peptide derived from human Xanthine oxidase: 202-300
亚型
IgG
性状
Liquid
纯化方法
affinity purified by Protein A
克隆类型
Recombinant
克隆号
2B7
理论分子量
146 kDa
检测分子量
146 kDa
储存液
10mM phosphate buffered saline(pH 7.4) with 150mM sodium chloride, 0.05% BSA, 0.02% Proclin300 and 50% glycerol.
SWISS
Gene ID
保存条件
Store at 4℃ for short term. Store at -20℃ for long term. Avoid repeated freeze/thaw cycles.
注意事项
This product as supplied is intended for research use only, not for use in human, therapeutic or diagnostic applications.
背景资料
Key enzyme in purine degradation. Catalyzes the oxidation of hypoxanthine to xanthine. Catalyzes the oxidation of xanthine to uric acid. Contributes to the generation of reactive oxygen species. Has also low oxidase activity towards aldehydes (in vitro).
黄嘌呤氧化酶重组兔单抗黄嘌呤氧化酶重组兔单抗黄嘌呤氧化酶重组兔单抗黄嘌呤氧化酶重组兔单抗黄嘌呤氧化酶重组兔单抗

产品应用

应用已检合格种属预测种属推荐稀释比例
WBHumanMouse, Rat1:500-2000
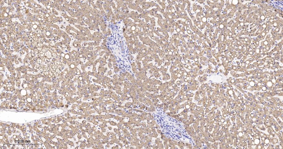
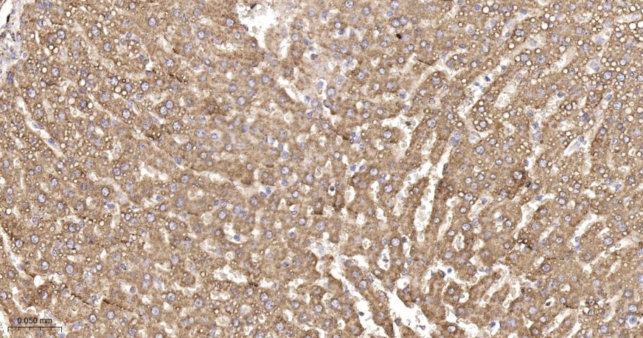
IHC-PHuman, Mouse, Rat1:50-200
IHC-FHuman, Mouse, Rat1:50-200
IFHuman, Mouse, Rat1:50-200
Flow-CytHumanMouse, Rat1:50-100

交叉反应

交叉反应: Human, Mouse, Rat

相关产品

暂无相关产品

靶标

基因名
XDH
蛋白名
Xanthine dehydrogenase/oxidase
亚基
Homodimer. Interacts with BTN1A1.
亚细胞定位
Cytoplasm. Peroxisome. Secreted.
组织特异性
Detected in milk (at protein level).
翻译后修饰
Subject to partial proteolysis; this alters the enzyme from the dehydrogenase form (D) to the oxidase form (O) (By similarity).
Contains sulfhydryl groups that are easily oxidized (in vitro); this alters the enzyme from the dehydrogenase form (D) to the oxidase form (O) (By similarity).
疾病
Defects in XDH are the cause of xanthinuria type 1 (XU1) [MIM:278300]. Xanthinuria is characterized by excretion of very large amounts of xanthine in the urine and a tendency to form xanthine stones. Uric acid is strikingly diminished in serum and urine. XU1 is due to isolated xanthine dehydrogenase. XU1 patients can metabolize allopurinol.
相似性
Belongs to the xanthine dehydrogenase family.
Contains 1 2Fe-2S ferredoxin-type domain.
Contains 1 FAD-binding PCMH-type domain.
功能
Key enzyme in purine degradation. Catalyzes the oxidation of hypoxanthine to xanthine. Catalyzes the oxidation of xanthine to uric acid. Contributes to the generation of reactive oxygen species. Has also low oxidase activity towards aldehydes (in vitro).

标记抗体

暂无标记数据

同靶标产品

暂无同靶标产品

相关文献

提示: 发表研究结果有使用 bsm-61911R 时请让我们知道,以便我们可以引用参考文章。作为回馈,资料提供者将获得我们送上的小礼品。

暂无相关文献

常见问题

暂无常见问题