Cancer > Invasion/microenvironment > Hypoxia > HIF
Cancer > Invasion/microenvironment > Hypoxia > Hydroxylases
Epigenetics and Nuclear Signaling > Cardiovascular/Immune > Hypoxia > HIF
Epigenetics and Nuclear Signaling > Chromatin Modifying Enzymes > Jumonji containing proteins
Epigenetics and Nuclear Signaling > Chromatin Modifying Enzymes > Methylation









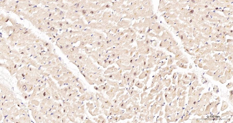
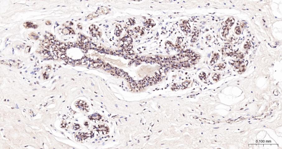
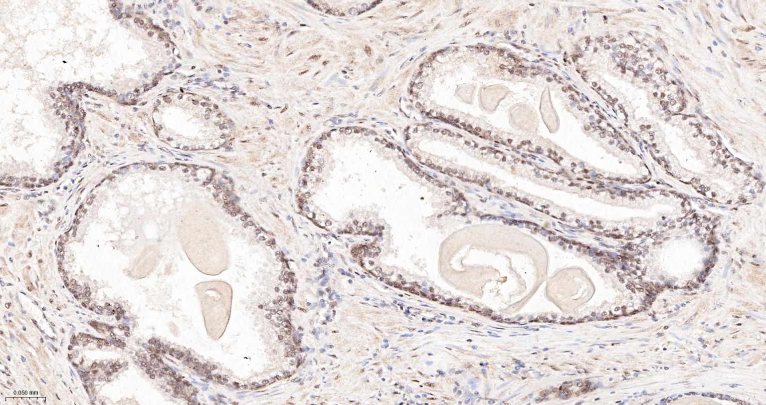
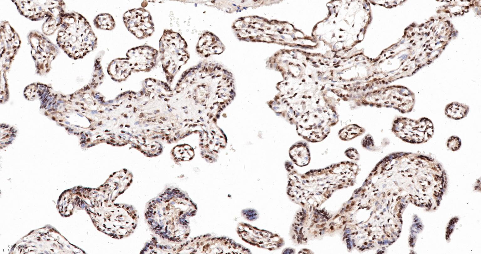
| 应用 | 已检合格种属 | 预测种属 | 推荐稀释比例 |
|---|---|---|---|
| WB | Human | 1:500-2000 | |
| IHC-P | Human | 1:200-500 | |
| IHC-F | Human | 1:200-500 | |
| IF | Human | 1:200-500 | |
| Flow-Cyt | Human | 1ug/test | |
| ICC/IF | Human | 1:100-200 |
交叉反应: Human
暂无相关产品
暂无标记数据
暂无同靶标产品
暂无相关文献
暂无常见问题