TFR2 Recombinant Rabbit mAb (一抗) - WB,IHC-P,IHC-F,IF | Bioss

Rrmab?兔单抗
2026-05-01~2026-06-30,AB2605
TFR2 Recombinant Rabbit mAb (一抗) - WB,IHC-P,IHC-F,IF | Bioss
货号:bsm-61886R
产品详情
相关标记
相关产品
相关文献
常见问题

概述

产品编号
bsm-61886R
产品类型
重组兔单抗、mIHC精品抗体
英文名称
TFR2 Recombinant Rabbit mAb
中文名称
转铁蛋白受体2重组兔单抗
英文别名
HFE3; TFRC2; Trfr2; TFR2_HUMAN; TFR2; TFR2_MOUSE; TFR2_RAT;
抗体来源
Rabbit
免疫原
A synthesized peptide derived from human Transferrin receptor 2: 150-300/801
亚型
IgG
性状
Liquid
纯化方法
affinity purified by Protein A
克隆类型
Recombinant
克隆号
5B10
理论分子量
89 kDa
检测分子量
100 kDa
储存液
0.01M TBS (pH7.4) with 1% BSA, 0.02% Proclin300 and 50% Glycerol.
SWISS
Gene ID
保存条件
Store at 4℃ for short term. Store at -20℃ for long term. Avoid repeated freeze/thaw cycles.
注意事项
This product as supplied is intended for research use only, not for use in human, therapeutic or diagnostic applications.
产品介绍
Involvement in disease;Defects in TFR2 are a cause of hemochromatosis type 3 (HFE3) . HFE3 is a disorder of iron hemostasis resulting in iron overload and has a phenotype indistinguishable from that of hereditary hemochromatosis (HH). HH is characterized by abnormal intestinal iron absorption and progressive increase of total body iron, which results in midlife in clinical complications including cirrhosis, cardiopathy, diabetes, endocrine dysfunctions, arthropathy, and susceptibility to liver cancer. Since the disease complications can be effectively prevented by regular phlebotomies, early diagnosis is most important to provide a normal life expectancy to the affected subjects.
背景资料
Mediates cellular uptake of transferrin-bound iron in a non-iron dependent manner. May be involved in iron metabolism, hepatocyte function and erythrocyte differentiation.
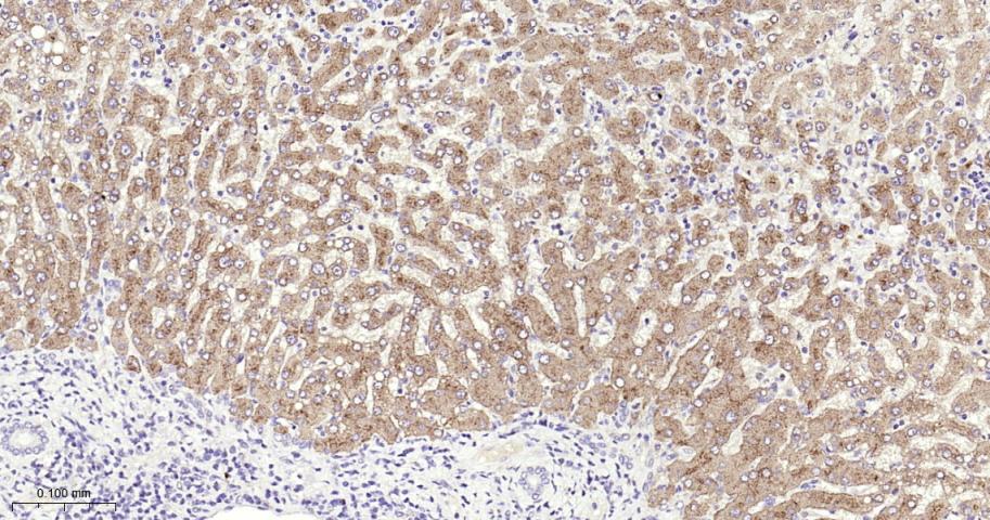
转铁蛋白受体2重组兔单抗-bsm-61886R转铁蛋白受体2重组兔单抗-bsm-61886R

产品应用

应用已检合格种属预测种属推荐稀释比例
WBHuman1:500-2000
IHC-PHuman1:50-200
IHC-FHuman1:50-200
IFHuman1:50-200

交叉反应

交叉反应: Human

相关产品

暂无相关产品

靶标

基因名
TFR2
蛋白名
Transferrin receptor protein 2
亚基
Homodimer.
亚细胞定位
Cell membrane and Cytoplasm. Lacks the transmembrane domain. Probably intracellular.
组织特异性
Predominantly expressed in liver. While the alpha form is also expressed in spleen, lung, muscle, prostate and peripheral blood mononuclear cells, the beta form is expressed in all tissues tested, albeit weakly.
疾病
Defects in TFR2 are a cause of hemochromatosis type 3 (HFE3) [MIM:604250]. HFE3 is a disorder of iron hemostasis resulting in iron overload and has a phenotype indistinguishable from that of hereditary hemochromatosis (HH). HH is characterized by abnormal intestinal iron absorption and progressive increase of total body iron, which results in midlife in clinical complications including cirrhosis, cardiopathy, diabetes, endocrine dysfunctions, arthropathy, and susceptibility to liver cancer. Since the disease complications can be effectively prevented by regular phlebotomies, early diagnosis is most important to provide a normal life expectancy to the affected subjects.
相似性
Belongs to the peptidase M28 family. M28B subfamily.
功能
Mediates cellular uptake of transferrin-bound iron in a non-iron dependent manner. May be involved in iron metabolism, hepatocyte function and erythrocyte differentiation.

同靶标产品

相关文献

提示: 发表研究结果有使用 bsm-61886R 时请让我们知道,以便我们可以引用参考文章。作为回馈,资料提供者将获得我们送上的小礼品。
具体参考文献:bsm-61886R 被引用于1文献中

常见问题