P选择素糖蛋白配体1重组兔单抗

Rrmab?兔单抗
2026-03-02~2026-04-30,KXJ26032026-03-02~2026-04-30,促销赠品
P选择素糖蛋白配体1重组兔单抗
货号:bsm-61840R
产品详情
相关标记
相关产品
相关文献
常见问题

概述

产品编号
bsm-61840R
产品类型
重组兔单抗、mIHC精品抗体
英文名称
PSGL-1/CD162 Recombinant Rabbit mAb
中文名称
P选择素糖蛋白配体1重组兔单抗
英文别名
CD162; CLA; PSGL-1; PSGL1; Selpl; SELPL_HUMAN; SELPLG; Selectin P ligand; SELPL_MOUSE; Selp1;
抗体来源
Rabbit
免疫原
A synthesized peptide derived from human PSGL 1: 1-65/412
亚型
IgG
性状
Liquid
纯化方法
affinity purified by Protein A
克隆类型
Recombinant
克隆号
11D2
理论分子量
43 kDa
检测分子量
120 kDa
储存液
10mM phosphate buffered saline(pH 7.4) with 150mM sodium chloride, 0.05% BSA, 0.02% Proclin300 and 50% glycerol.
SWISS
Gene ID
保存条件
Store at 4℃ for short term. Store at -20℃ for long term. Avoid repeated freeze/thaw cycles.
注意事项
This product as supplied is intended for research use only, not for use in human, therapeutic or diagnostic applications.
产品介绍
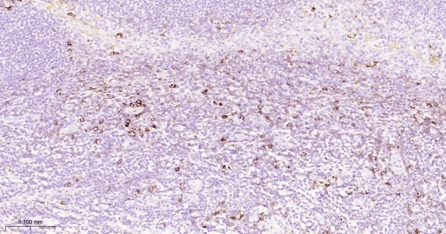
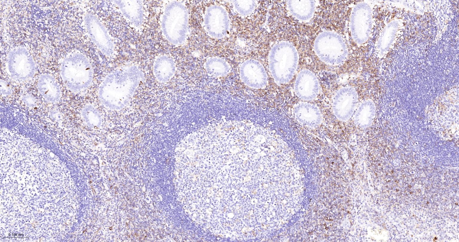
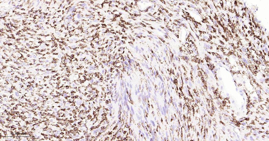
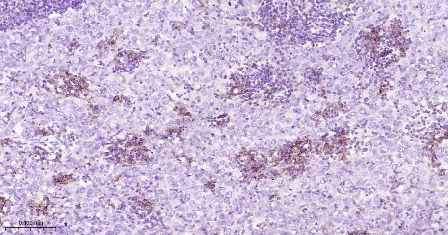
PSGL-1广泛分布于免疫细胞表面,在生物体内可与P、L、E选择素结合。在炎症发生、发展中有重要作用.
背景资料
A SLe(x)-type proteoglycan, which through high affinity, calcium-dependent interactions with E-, P- and L-selectins, mediates rapid rolling of leukocytes over vascular surfaces during the initial steps in inflammation. Critical for the initial leukocyte capture.
P选择素糖蛋白配体1重组兔单抗P选择素糖蛋白配体1重组兔单抗P选择素糖蛋白配体1重组兔单抗P选择素糖蛋白配体1重组兔单抗P选择素糖蛋白配体1重组兔单抗P选择素糖蛋白配体1重组兔单抗P选择素糖蛋白配体1重组兔单抗P选择素糖蛋白配体1重组兔单抗P选择素糖蛋白配体1重组兔单抗P选择素糖蛋白配体1重组兔单抗

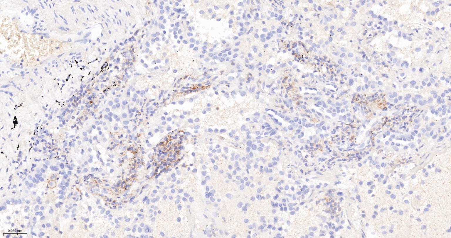
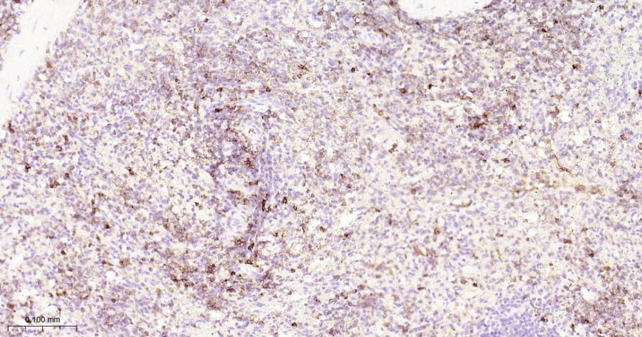
产品应用

应用已检合格种属预测种属推荐稀释比例
IHC-PHuman1:100-500
IHC-FHuman1:100-500
IFHuman1:100-500
Flow-CytHuman1ug/Test
ICC/IFHuman1:50-200

交叉反应

交叉反应: Human

相关产品

暂无相关产品

靶标

基因名
SELPLG
蛋白名
P-selectin glycoprotein ligand 1
亚基
Homodimer; disulfide-linked. Interaction with P-, E- and L-selectins, through their lectin/EGF domains, is required for promoting recruitment and rolling of leukocytes. These interactions require sialyl Lewis X glycan modification but there is a differing dependence for tyrosine sulfations. Sulfation on Tyr-51 of PSGL1 is most important for high affinity L-selectin/SELL binding while P-selectin/SELP requires sulfation on Tyr-48. E-selectin/SELE binds with much lower affinity and requires the sLe(x) epitope, but apparantly not tyrosine sulfation. Dimerization appears not to be required for P-selectin/SELP binding. Interacts with SNX20. Interacts with MSN and SYK; mediates the activation of SYK by SELPLG.
亚细胞定位
Membrane; Single-pass type I membrane protein.
组织特异性
Expressed on neutrophils, monocytes and most lymphocytes.
翻译后修饰
Displays complex, core-2, sialylated and fucosylated O-linked oligosaccharides, at least some of which appear to contain poly-N-acetyllactosamine with varying degrees of substitution. Mainly disialylated or neutral forms of the core-2 tetrasaccharide, Galbeta1-->4GlcNAcbeta1-->6(Galbeta1-->3)GalNAcOH. The GlcN:GalN ratio is approximately 2:1 and the Man:Fuc ratio 3:5. Contains about 14% fucose with alpha-1,3 linkage present in two forms: One species is a disialylated, monofucosylated glycan, and the other, a monosialylated, trifucosylated glycan with a polylactosamine backbone. The fucosylated forms carry the Lewis antigen and are important for interaction with selectins and for functioning in leukocyte rolling. The modification containing the sialyl Lewis X glycan is on Thr-57. No sulfated O-glycans. Some N-glycosylation.
Sulfation, in conjunction with the SLe(x)-containing glycan, is necessary for P- and L-selectin binding. High affinity P-selectin binding has a preferred requirement for the isomer sulfated on both Tyr-48 and Tyr-51, whereas L-selectin binding requires predominantly sulfation on Tyr-51 with sulfation on Tyr-48 playing only a minor role. These sulfations play an important role in L- and P-selectin-mediated neutrophil recruitment, and leukocyte rolling.
疾病
Defects in SELP may be a cause of susceptibility to ischemic stroke (ISCHSTR) [MIM:601367]; also known as cerebrovascular accident or cerebral infarction. A stroke is an acute neurologic event leading to death of neural tissue of the brain and resulting in loss of motor, sensory and/or cognitive function. Ischemic strokes, resulting from vascular occlusion, is considered to be a highly complex disease consisting of a group of heterogeneous disorders with multiple genetic and environmental risk factors.
相似性
Belongs to the selectin/LECAM family.
Contains 1 C-type lectin domain.
Contains 1 EGF-like domain.
Contains 8 Sushi (CCP/SCR) domains.
功能
A SLe(x)-type glycan, which through high affinity, calcium-dependent interactions with E-, P- and L-selectins, mediates rapid rolling of leukocytes over vascular surfaces during the initial steps in inflammation. PSGL1 is critical for the initial leukocyte capture.

标记抗体

暂无标记数据

同靶标产品

暂无同靶标产品

相关文献

提示: 发表研究结果有使用 bsm-61840R 时请让我们知道,以便我们可以引用参考文章。作为回馈,资料提供者将获得我们送上的小礼品。

暂无相关文献

常见问题

暂无常见问题