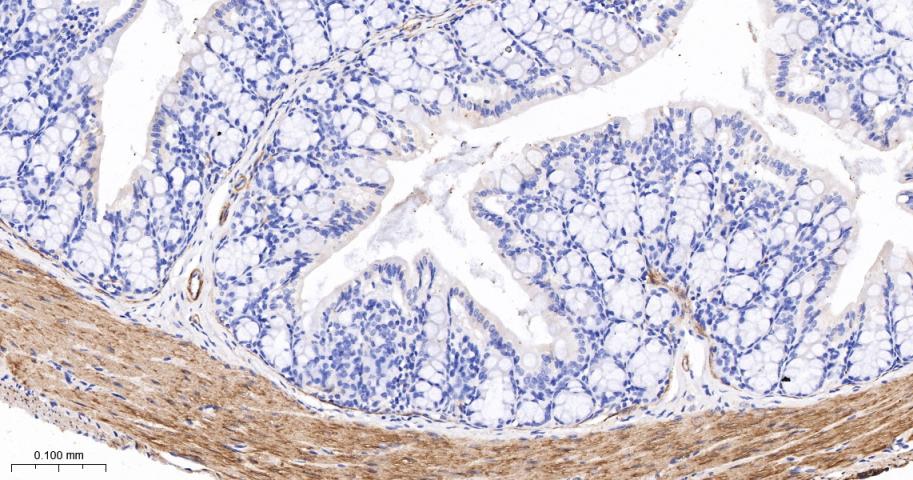
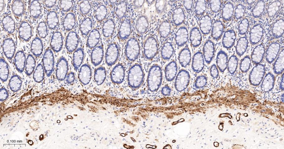
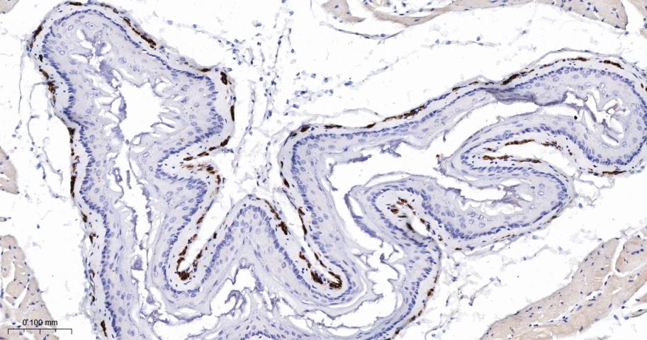
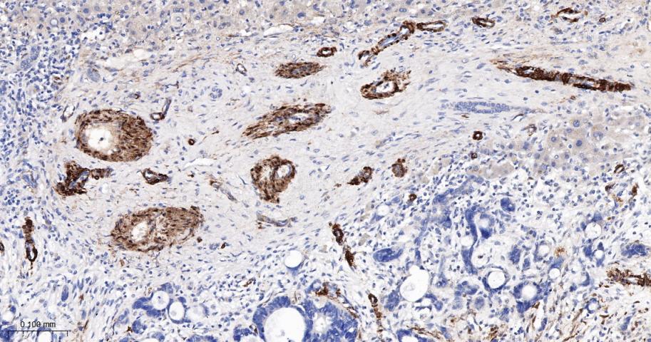
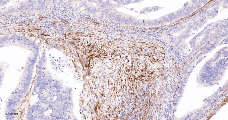
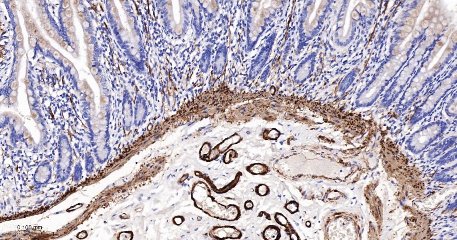
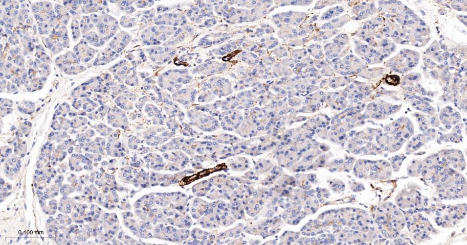
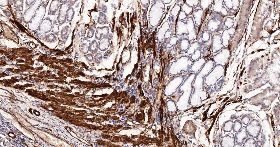
Cardiovascular > Cardiovascular Markers > Cell Markers > Smooth Muscle Cells
Cardiovascular > Heart > Contractility > Inotropics
Epigenetics and Nuclear Signaling > Transcription > Domain Families > Zinc Finger
Signal Transduction > Cytoskeleton / ECM > Cytoskeleton > Microfilaments > Actin etc > Actin Binding Proteins











| 应用 | 已检合格种属 | 预测种属 | 推荐稀释比例 |
|---|---|---|---|
| WB | Human | Mouse | 1:500-2000 |
| IHC-P | Human, Mouse | 1:100-500 | |
| IHC-F | Human, Mouse | 1:100-500 | |
| IF | Human, Mouse | 1:100-500 |
交叉反应: Human, Mouse
暂无相关产品
暂无标记数据
暂无同靶标产品
暂无相关文献
暂无常见问题