端粒结合蛋白2重组兔单抗

Rrmab?兔单抗
2026-03-02~2026-04-30,KXJ26032026-03-02~2026-04-30,促销赠品
端粒结合蛋白2重组兔单抗
货号:bsm-61777R
产品详情
相关标记
相关产品
相关文献
常见问题

概述

产品编号
bsm-61777R
产品类型
重组兔单抗
英文名称
TRF2 Recombinant Rabbit mAb
中文名称
端粒结合蛋白2重组兔单抗
英文别名
TRBF2; TRF2; TERF2_HUMAN; TERF2; TTAGGG repeat-binding factor 2; Telomeric DNA-binding protein; TERF2_MOUSE;
抗体来源
Rabbit
免疫原
A synthesized peptide derived from human TERF2: 50-100
亚型
IgG
性状
Liquid
纯化方法
affinity purified by Protein A
克隆类型
Recombinant
克隆号
7G8
理论分子量
60 kDa
检测分子量
66 kDa
储存液
10mM phosphate buffered saline(pH 7.4) with 150mM sodium chloride, 0.05% BSA, 0.02% Proclin300 and 50% glycerol.
SWISS
Gene ID
保存条件
Store at 4℃ for short term. Store at -20℃ for long term. Avoid repeated freeze/thaw cycles.
注意事项
This product as supplied is intended for research use only, not for use in human, therapeutic or diagnostic applications.
背景资料
Binds the telomeric double-stranded 5'-TTAGGG-3' repeat and plays a central role in telomere maintenance and protection against end-to-end fusion of chromosomes.In addition to its telomeric DNA-binding role, required to recruit a number of factors and enzymes required for telomere protection, including the shelterin complex, TERF2IP/RAP1 and DCLRE1B/Apollo.
端粒结合蛋白2重组兔单抗端粒结合蛋白2重组兔单抗端粒结合蛋白2重组兔单抗端粒结合蛋白2重组兔单抗端粒结合蛋白2重组兔单抗端粒结合蛋白2重组兔单抗端粒结合蛋白2重组兔单抗

产品应用

应用已检合格种属预测种属推荐稀释比例
WBHuman1:500-2000
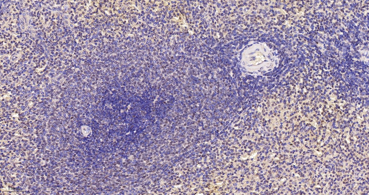
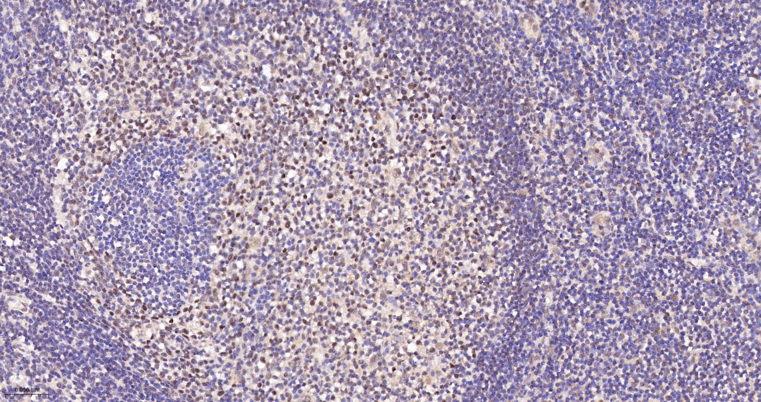
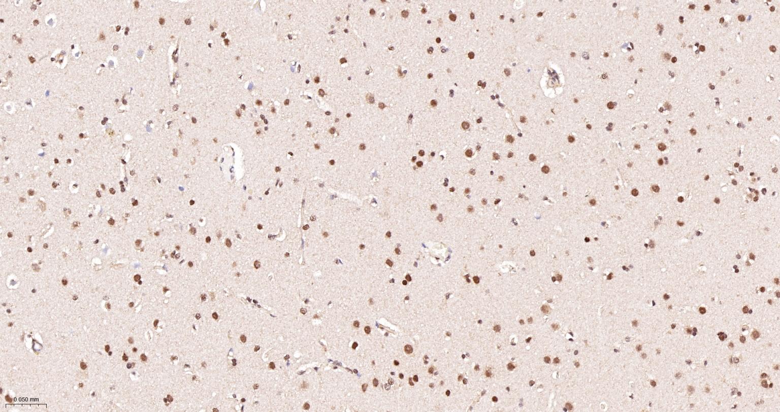
IHC-PHuman1:100-500
IHC-FHuman1:100-500
IFHuman1:100-500
Flow-CytHuman1:50-100
ICC/IFHuman1:50-200

交叉反应

交叉反应: Human

相关产品

暂无相关产品

靶标

基因名
TERF2
蛋白名
Telomeric repeat-binding factor 2
亚细胞定位
Nucleus. Chromosome, telomere. Colocalizes with telomeric DNA in interphase cells and is located at chromosome ends during metaphase.
组织特异性
Ubiquitous. Highly expressed in spleen, thymus, prostate, uterus, testis, small intestine, colon and peripheral blood leukocytes.
翻译后修饰
Phosphorylated upon DNA damage, probably by ATM or ATR.
相似性
Contains 1 HTH myb-type DNA-binding domain.
功能
Binds the telomeric double-stranded 5'-TTAGGG-3' repeat and plays a central role in telomere maintenance and protection against end-to-end fusion of chromosomes. In addition to its telomeric DNA-binding role, required to recruit a number of factors and enzymes required for telomere protection, including the shelterin complex, TERF2IP/RAP1 and DCLRE1B/Apollo. Component of the shelterin complex (telosome) that is involved in the regulation of telomere length and protection. Shelterin associates with arrays of double-stranded 5'-TTAGGG-3' repeats added by telomerase and protects chromosome ends; without its protective activity, telomeres are no longer hidden from the DNA damage surveillance and chromosome ends are inappropriately processed by DNA repair pathways. Together with DCLRE1B/Apollo, plays a key role in telomeric loop (T loop) formation by generating 3' single-stranded overhang at the leading end telomeres: T loops have been proposed to protect chromosome ends from degradation and repair. Required both to recruit DCLRE1B/Apollo to telomeres and activate the exonuclease activity of DCLRE1B/Apollo. Preferentially binds to positive supercoiled DNA. Together with DCLRE1B/Apollo, required to control the amount of DNA topoisomerase (TOP1, TOP2A and TOP2B) needed for telomere replication during fork passage and prevent aberrant telomere topology. Recruits TERF2IP/RAP1 to telomeres, thereby participating in to repressing homology-directed repair (HDR), which can affect telomere length.

标记抗体

暂无标记数据

同靶标产品

暂无同靶标产品

相关文献

提示: 发表研究结果有使用 bsm-61777R 时请让我们知道,以便我们可以引用参考文章。作为回馈,资料提供者将获得我们送上的小礼品。

暂无相关文献

常见问题

暂无常见问题