胰岛素样生长因子2mRNA结合蛋白3重组兔单抗

Rrmab?兔单抗
2026-03-02~2026-04-30,KXJ26032026-03-02~2026-04-30,促销赠品
胰岛素样生长因子2mRNA结合蛋白3重组兔单抗
货号:bsm-61766R
产品详情
相关标记
相关产品
相关文献
常见问题

概述

产品编号
bsm-61766R
产品类型
重组兔单抗、mIHC精品抗体
英文名称
IMP3 Recombinant Rabbit mAb
中文名称
胰岛素样生长因子2mRNA结合蛋白3重组兔单抗
英文别名
CT98; IMP-3; IMP3; KOC; KOC1; VICKZ3; 2610101N11Rik; Koc13; Neilsen; mimp3; Ab2-255; RGD1306512; IF2B3_HUMAN; IGF2BP3; IGF2 mRNA-binding protein 3; IGF-II mRNA-binding protein 3; KH domain-containing protein overexpressed in cancer (hKOC); VICKZ family member 3; IF2B3_MOUSE; mIMP-3;
抗体来源
Rabbit
免疫原
A synthesized peptide derived from human IMP 3: 1-200
亚型
IgG
性状
Liquid
纯化方法
affinity purified by Protein A
克隆类型
Recombinant
克隆号
3D10
理论分子量
64 kDa
检测分子量
69 kDa
储存液
10mM phosphate buffered saline(pH 7.4) with 150mM sodium chloride, 0.05% BSA, 0.02% Proclin300 and 50% glycerol.
SWISS
Gene ID
保存条件
Store at 4℃ for short term. Store at -20℃ for long term. Avoid repeated freeze/thaw cycles.
注意事项
This product as supplied is intended for research use only, not for use in human, therapeutic or diagnostic applications.
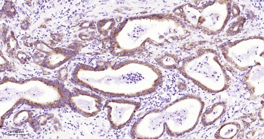
产品介绍
IGF2BP3是一种可以与胰岛素样生长因子(IGFs)结合的分泌性蛋白,其通过IGFs调节细胞的生长、分化、凋亡、黏附和运动,IGF2BP3与IGFs结合可以调节IGFs与IGF2型受体间的相互作用,改变其促有丝分裂效应、凋亡抑制效应和促细胞运动作用。
背景资料
RNA-binding factor that may recruit target transcripts to cytoplasmic protein-RNA complexes (mRNPs). This transcript 'caging' into mRNPs allows mRNA transport and transient storage.
胰岛素样生长因子2mRNA结合蛋白3重组兔单抗胰岛素样生长因子2mRNA结合蛋白3重组兔单抗胰岛素样生长因子2mRNA结合蛋白3重组兔单抗胰岛素样生长因子2mRNA结合蛋白3重组兔单抗胰岛素样生长因子2mRNA结合蛋白3重组兔单抗胰岛素样生长因子2mRNA结合蛋白3重组兔单抗胰岛素样生长因子2mRNA结合蛋白3重组兔单抗

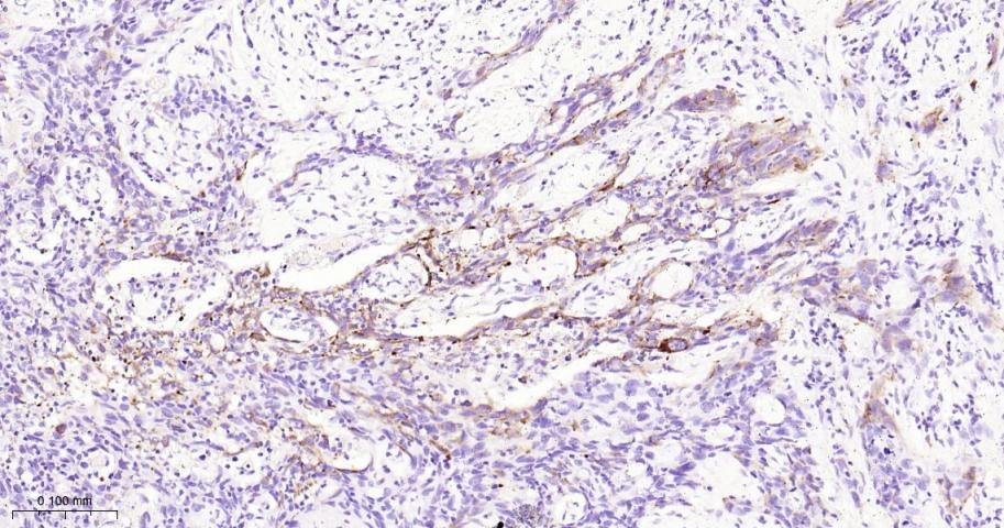
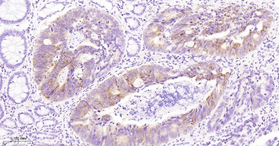
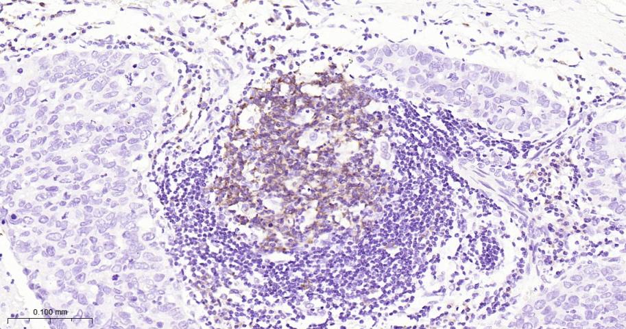
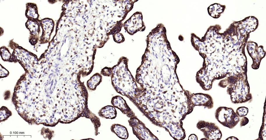
产品应用

应用已检合格种属预测种属推荐稀释比例
WBHuman1:500-2000
IHC-PHuman1:50-200
IHC-FHuman1:50-200
IFHuman1:50-200
Flow-CytHuman1:50-100
ICC/IFHuman1:50-200
IPHuman1:20-50

交叉反应

交叉反应: Human

相关产品

暂无相关产品

靶标

基因名
IGF2BP3
蛋白名
Insulin-like growth factor 2 mRNA-binding protein 3
亚基
Homodimer and multimer. Interacts with IGF2BP1.
亚细胞定位
Nucleus. Cytoplasm. Note=Found in lamellipodia of the leading edge, in the perinuclear region, and beneath the plasma membrane. The subcytoplasmic localization is cell specific and regulated by cell contact and growth. Localized at the connecting piece and the tail of the spermatozoa. Colocalized with CD44 mRNA in RNP granules.
组织特异性
Expressed in fetal liver, fetal lung, fetal kidney, fetal thymus, fetal placenta, fetal follicles of ovary and gonocytes of testis, growing oocytes, spermatogonia and semen (at protein level). Expressed in cervix adenocarcinoma, in testicular, pancreatic and renal-cell carcinomas (at protein level). Expressed ubiquitously during fetal development at 8 and 14 weeks of gestation. Expressed in ovary, testis, brain, placenta, pancreatic cancer tissues and pancreatic cancer cell lines.
相似性
Belongs to the RRM IMP/VICKZ family.
Contains 4 KH domains.
Contains 2 RRM (RNA recognition motif) domains.
功能
RNA-binding protein that act as a regulator of mRNA translation and stability. Binds to the 5'-UTR of the insulin-like growth factor 2 (IGF2) mRNAs. Binds to sequences in the 3'-UTR of CD44 mRNA.

标记抗体

暂无标记数据

同靶标产品

暂无同靶标产品

相关文献

提示: 发表研究结果有使用 bsm-61766R 时请让我们知道,以便我们可以引用参考文章。作为回馈,资料提供者将获得我们送上的小礼品。

暂无相关文献

常见问题

暂无常见问题