前列腺分泌蛋白重组兔单抗

Rrmab?兔单抗
2026-03-02~2026-04-30,KXJ26032026-03-02~2026-04-30,促销赠品
前列腺分泌蛋白重组兔单抗
货号:bsm-61761R
产品详情
相关标记
相关产品
相关文献
常见问题

概述

产品编号
bsm-61761R
产品类型
重组兔单抗
英文名称
Prostate Secretory Protein/PSP Recombinant Rabbit mAb
中文名称
前列腺分泌蛋白重组兔单抗
英文别名
HPC13; IGBF; MSP; MSPB; PN44; PRPS; PSP; PSP-94; PSP57; PSP94; MSMB_HUMAN; MSMB; Immunoglobulin-binding factor (IGBF); Prostate secreted seminal plasma protein; Prostate secretory protein of 94 amino acids (PSP-94 | PSP94); Seminal plasma beta-inhibin; PRSP;
抗体来源
Rabbit
免疫原
A synthesized peptide derived from human beta 2 Microseminoprotein: 2-52/114
亚型
IgG
性状
Liquid
纯化方法
affinity purified by Protein A
克隆类型
Recombinant
克隆号
8D3
理论分子量
13 kDa
检测分子量
15 kDa
储存液
10mM phosphate buffered saline(pH 7.4) with 150mM sodium chloride, 0.05% BSA, 0.02% Proclin300 and 50% glycerol.
SWISS
Gene ID
保存条件
Store at 4℃ for short term. Store at -20℃ for long term. Avoid repeated freeze/thaw cycles.
注意事项
This product as supplied is intended for research use only, not for use in human, therapeutic or diagnostic applications.
背景资料
The protein encoded by this gene is a member of the immunoglobulin binding factor family. It is synthesized by the epithelial cells of the prostate gland and secreted into the seminal plasma. This protein has inhibin-like activity. It may have a role as an autocrine paracrine factor in uterine, breast and other female reproductive tissues. The expression of the encoded protein is found to be decreased in prostate cancer.
前列腺分泌蛋白重组兔单抗前列腺分泌蛋白重组兔单抗前列腺分泌蛋白重组兔单抗前列腺分泌蛋白重组兔单抗前列腺分泌蛋白重组兔单抗

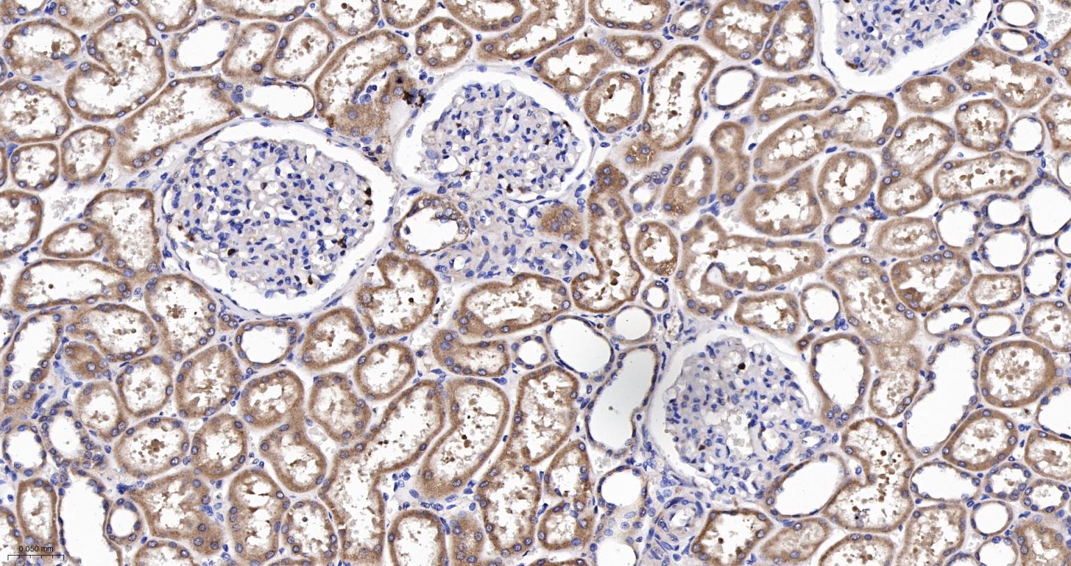
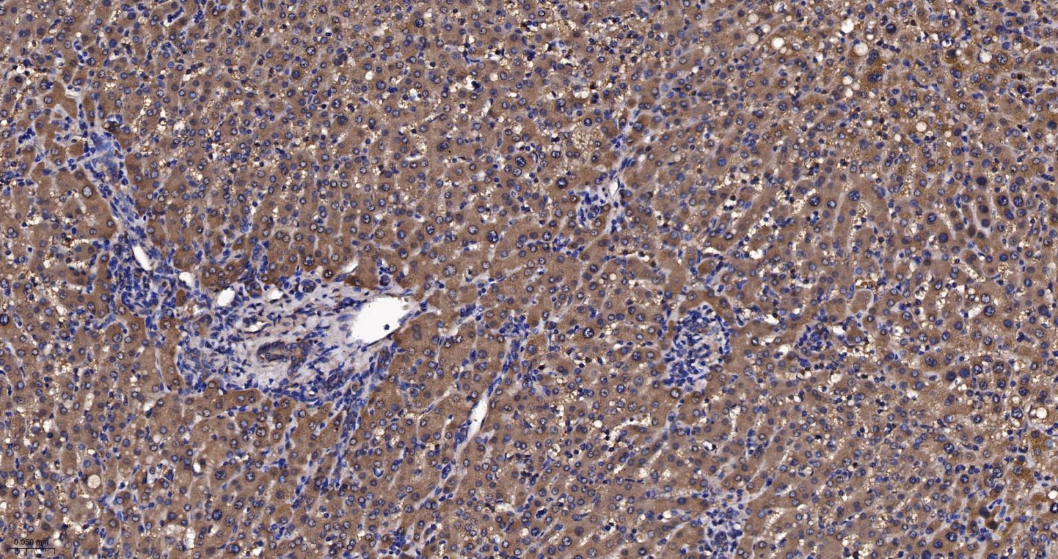
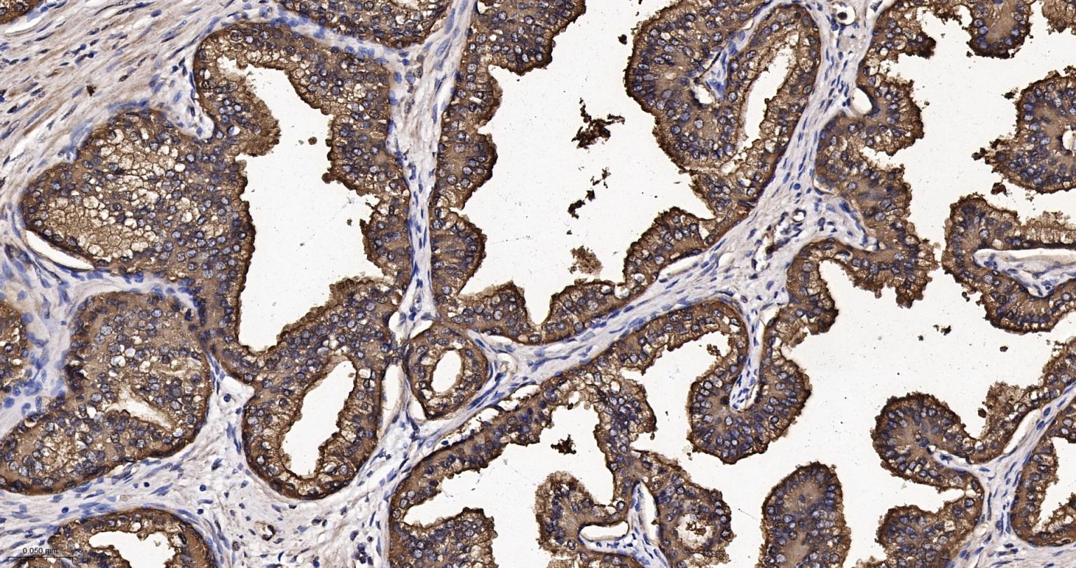
产品应用

应用已检合格种属预测种属推荐稀释比例
WBHuman1:500-2000
IHC-PHuman1:200-1000
IHC-FHuman1:200-1000
IFHuman1:200-1000
IPHuman1:20-50

交叉反应

交叉反应: Human

相关产品

暂无相关产品

靶标

基因名
MSMB
蛋白名
beta-microseminoprotein
亚细胞定位
Secreted. Sperm surface.
组织特异性
Strongly expressed in prostate, liver, kidney, breast and penis. Also expressed in pancreas, esophagus, stomach, deodenum, colon, trachea, lung, salivary glands and fallopian tube. PSP94 is expressed in lung and breast, whereas PSP57 is found in kidney and bladder.
疾病
Defects in MSMB are the cause of susceptibility to prostate cancer hereditary type 13 (HPC13) [MIM:611928]. It is a condition associated with familial predisposition to cancer of the prostate. Most prostate cancers are adenocarcinomas that develop in the acini of the prostatic ducts. Other rare histopathologic types of prostate cancer that occur in approximately 5% of patients include small cell carcinoma, mucinous carcinoma, prostatic ductal carcinoma, transitional cell carcinoma, squamous cell carcinoma, basal cell carcinoma, adenoid cystic carcinoma (basaloid), signet-ring cell carcinoma and neuroendocrine carcinoma.
相似性
Belongs to the beta-microseminoprotein family.

标记抗体

暂无标记数据

同靶标产品

暂无同靶标产品

相关文献

提示: 发表研究结果有使用 bsm-61761R 时请让我们知道,以便我们可以引用参考文章。作为回馈,资料提供者将获得我们送上的小礼品。

暂无相关文献

常见问题

暂无常见问题