抗酒石酸酸性磷酸酶5型/5型酸性磷酸酶重组兔单抗

Rrmab?兔单抗
2026-03-02~2026-04-30,KXJ26032026-03-02~2026-04-30,促销赠品
抗酒石酸酸性磷酸酶5型/5型酸性磷酸酶重组兔单抗
货号:bsm-61758R
产品详情
相关标记
相关产品
相关文献
常见问题

概述

产品编号
bsm-61758R
产品类型
重组兔单抗
英文名称
TRAP Recombinant Rabbit mAb
中文名称
抗酒石酸酸性磷酸酶5型/5型酸性磷酸酶重组兔单抗
英文别名
HPAP; TRACP5a; TRACP5b; TRAP; TRAcP; TrATPase; PPA5_HUMAN; ACP5; TR-AP; Tartrate-resistant acid ATPase (TrATPase); Type 5 acid phosphatase; 3.1.3.2;
抗体来源
Rabbit
免疫原
A synthesized peptide derived from human TRAP: 150-325
亚型
IgG
性状
Liquid
纯化方法
affinity purified by Protein A
克隆类型
Recombinant
克隆号
2D12
理论分子量
37 kDa
检测分子量
35,42 kDa
储存液
10mM phosphate buffered saline(pH 7.4) with 150mM sodium chloride, 0.05% BSA, 0.02% Proclin300 and 50% glycerol.
SWISS
Gene ID
保存条件
Store at 4℃ for short term. Store at -20℃ for long term. Avoid repeated freeze/thaw cycles.
注意事项
This product as supplied is intended for research use only, not for use in human, therapeutic or diagnostic applications.
产品介绍
抗酒石酸盐酸性磷酸酶(Tartrate-Resistant Acid Phosphatase,TRAP)是破骨细胞功能的重要标志物,它的活性与破骨细胞活性呈正相关.
背景资料
Involved in osteopontin/bone sialoprotein dephosphorylation. Its expression seems to increase in certain pathological states such as Gaucher and Hodgkin diseases, the hairy cell, the B-cell, and the T-cell leukemias.
抗酒石酸酸性磷酸酶5型/5型酸性磷酸酶重组兔单抗抗酒石酸酸性磷酸酶5型/5型酸性磷酸酶重组兔单抗抗酒石酸酸性磷酸酶5型/5型酸性磷酸酶重组兔单抗

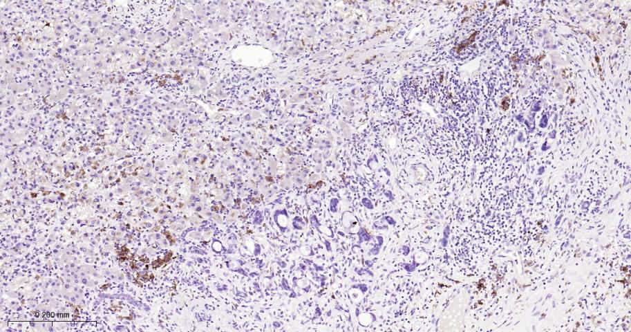
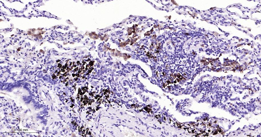
产品应用

应用已检合格种属预测种属推荐稀释比例
IHC-PHuman1:50-200
IHC-FHuman1:50-200
IFHuman1:50-200

交叉反应

交叉反应: Human

相关产品

暂无相关产品

靶标

基因名
ACP5
蛋白名
Tartrate-resistant acid phosphatase type 5
亚基
Exists either as monomer or, after proteolytic processing, as a dimer of two chains linked by disulfide bond(s).
亚细胞定位
Lysosome.
疾病
Defects in ACP5 are the cause of spondyloenchondrodysplasia with immune dysregulation (SPENCDI) [MIM:607944]. A disease characterized by vertebral and metaphyseal dysplasia, spasticity with cerebral calcifications, and strong predisposition to autoimmune diseases. The skeletal dysplasia is characterized by radiolucent and irregular spondylar and metaphyseal lesions that represent islands of chondroid tissue within bone. Note=ACP5 inactivating mutations result in a functional excess of phosphorylated osteopontin causing deregulation of osteopontin signaling and consequential autoimmune disease.
相似性
Belongs to the metallophosphoesterase superfamily. Purple acid phosphatase family.
功能
Defects in ACP5 are the cause of spondyloenchondrodysplasia with immune dysregulation (SPENCDI) [MIM:607944]. A disease characterized by vertebral and metaphyseal dysplasia, spasticity with cerebral calcifications, and strong predisposition to autoimmune diseases. The skeletal dysplasia is characterized by radiolucent and irregular spondylar and metaphyseal lesions that represent islands of chondroid tissue within bone. Note=ACP5 inactivating mutations result in a functional excess of phosphorylated osteopontin causing deregulation of osteopontin signaling and consequential autoimmune disease.

标记抗体

暂无标记数据

同靶标产品

暂无同靶标产品

相关文献

提示: 发表研究结果有使用 bsm-61758R 时请让我们知道,以便我们可以引用参考文章。作为回馈,资料提供者将获得我们送上的小礼品。
具体参考文献:bsm-61758R 被引用于1文献中

暂无相关文献

常见问题

暂无常见问题