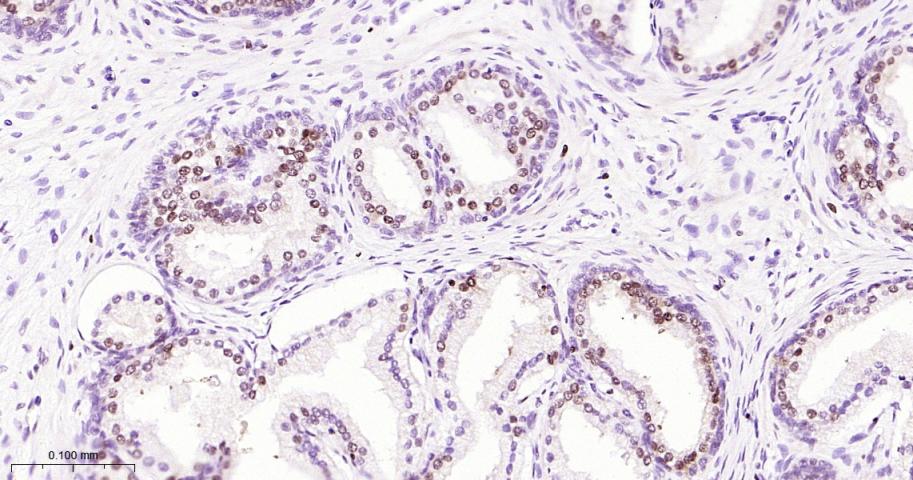
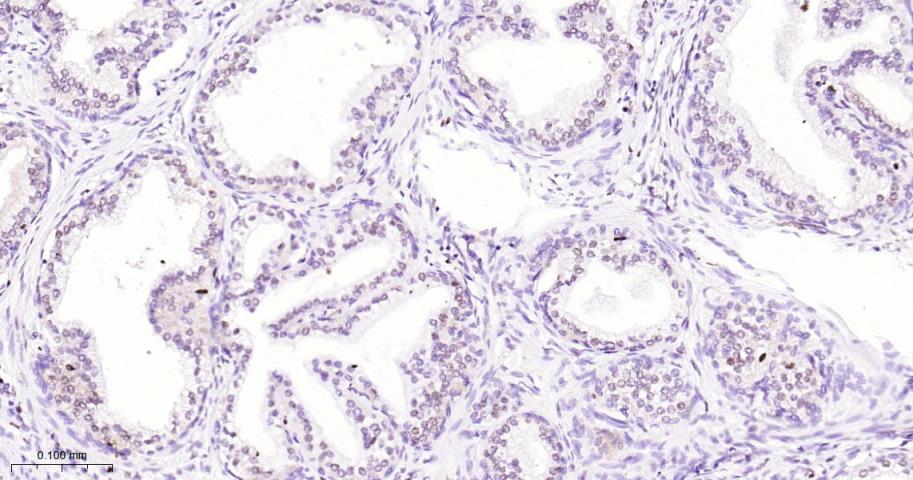
转录因子同源蛋白Nkx3.1重组兔单抗

Rrmab?兔单抗
2026-03-02~2026-04-30,KXJ26032026-03-02~2026-04-30,促销赠品
转录因子同源蛋白Nkx3.1重组兔单抗
货号:bsm-61752R
产品详情
相关标记
相关产品
相关文献
常见问题

概述

产品编号
bsm-61752R
产品类型
重组兔单抗
英文名称
Nkx3.1 Recombinant Rabbit mAb
中文名称
转录因子同源蛋白Nkx3.1重组兔单抗
英文别名
BAPX2; NKX3; NKX3.1; NKX3A; Bax; Nkx-3.1; bagpipe; NKX31_HUMAN; NKX3-1; Homeobox protein NK-3 homolog A; NKX31_MOUSE;
抗体来源
Rabbit
免疫原
A synthesized peptide derived from human Nkx 3.1: 1-234
亚型
IgG
性状
Liquid
纯化方法
affinity purified by Protein A
克隆类型
Recombinant
克隆号
5D10
理论分子量
26 kDa
检测分子量
32 kDa
储存液
10mM phosphate buffered saline(pH 7.4) with 150mM sodium chloride, 0.05% BSA, 0.02% Proclin300 and 50% glycerol.
SWISS
Gene ID
保存条件
Store at 4℃ for short term. Store at -20℃ for long term. Avoid repeated freeze/thaw cycles.
注意事项
This product as supplied is intended for research use only, not for use in human, therapeutic or diagnostic applications.
背景资料
Transcription factor, which binds preferentially the consensus sequence 5'-TAAGT[AG]-3' and can behave as a transcriptional repressor. Plays an important role in normal prostate development, regulating proliferation of glandular epithelium and in the formation of ducts in prostate. Acts as a tumor suppressor controlling prostate carcinogenesis, as shown by the ability to inhibit proliferation and invasion activities of PC-3 prostate cancer cells.
转录因子同源蛋白Nkx3.1重组兔单抗转录因子同源蛋白Nkx3.1重组兔单抗转录因子同源蛋白Nkx3.1重组兔单抗

产品应用

应用已检合格种属预测种属推荐稀释比例
WBHuman1:500-2000
IHC-PHuman1:50-200
IHC-FHuman1:50-200
IFHuman1:50-200

交叉反应

交叉反应: Human

相关产品

暂无相关产品

靶标

基因名
NKX3-1
蛋白名
Homeobox protein Nkx-3.1
亚基
Interacts with serum response factor (SRF) (By similarity). Interacts with SPDEF. Interacts with WDR77. Interacts with TOPORS which polyubiquitinates NKX3-1 and induces its proteasomal degradation.
亚细胞定位
Nucleus.
组织特异性
Highly expressed in the prostate and, at a lower level, in the testis.
翻译后修饰
Ubiquitinated by TOPORS; monoubiquitinated at several residues and also polyubiquitinated on single residues.
相似性
Belongs to the NK-3 homeobox family.
Contains 1 homeobox DNA-binding domain.
功能
Transcription factor, which binds preferentially the consensus sequence 5'-TAAGT[AG]-3' and can behave as a transcriptional repressor. Play an important role in normal prostate development, regulating proliferation of glandular epithelium and in the formation of ducts in prostate. Act as a tumor suppressor controlling prostate carcinogenesis, as shown by the ability to inhibit proliferation and invasion activities of PC-3 prostate cancer cells.

标记抗体

暂无标记数据

同靶标产品

暂无同靶标产品

相关文献

提示: 发表研究结果有使用 bsm-61752R 时请让我们知道,以便我们可以引用参考文章。作为回馈,资料提供者将获得我们送上的小礼品。

暂无相关文献

常见问题

暂无常见问题