双链RNA腺苷酸脱氨基酶重组兔单抗

Rrmab?兔单抗
2026-03-02~2026-04-30,KXJ26032026-03-02~2026-04-30,促销赠品
双链RNA腺苷酸脱氨基酶重组兔单抗
货号:bsm-61724R
产品详情
相关标记
相关产品
相关文献
常见问题

概述

产品编号
bsm-61724R
产品类型
重组兔单抗
英文名称
ADAR1 Recombinant Rabbit mAb
中文名称
双链RNA腺苷酸脱氨基酶重组兔单抗
英文别名
ADAR1; AGS6; DRADA; DSH; DSRAD; G1P1; IFI-4; IFI4; K88DSRBP; P136; Adar1p110; Adar1p150; mZaADAR; DSRAD_HUMAN; ADAR; 136 kDa double-stranded RNA-binding protein (p136); Interferon-inducible protein 4 (IFI-4); 3.5.4.37; DSRAD_MOUSE; RNA adenosine deaminase 1;
抗体来源
Rabbit
免疫原
A synthesized peptide derived from human ADAR1: 200-250
亚型
IgG
性状
Liquid
纯化方法
affinity purified by Protein A
克隆类型
Recombinant
克隆号
9A11
理论分子量
136 kDa
检测分子量
150 kDa
储存液
10mM phosphate buffered saline(pH 7.4) with 150mM sodium chloride, 0.05% BSA, 0.02% Proclin300 and 50% glycerol.
SWISS
Gene ID
保存条件
Store at 4℃ for short term. Store at -20℃ for long term. Avoid repeated freeze/thaw cycles.
注意事项
This product as supplied is intended for research use only, not for use in human, therapeutic or diagnostic applications.
产品介绍
ADAR腺苷脱氨酶是一种存在于嘌呤新陈代谢的酶,属于巯基酶。
背景资料
Converts multiple adenosines to inosines and creates I/U mismatched base pairs in double-helical RNA substrates without apparent sequence specificity.
双链RNA腺苷酸脱氨基酶重组兔单抗双链RNA腺苷酸脱氨基酶重组兔单抗双链RNA腺苷酸脱氨基酶重组兔单抗双链RNA腺苷酸脱氨基酶重组兔单抗双链RNA腺苷酸脱氨基酶重组兔单抗双链RNA腺苷酸脱氨基酶重组兔单抗双链RNA腺苷酸脱氨基酶重组兔单抗

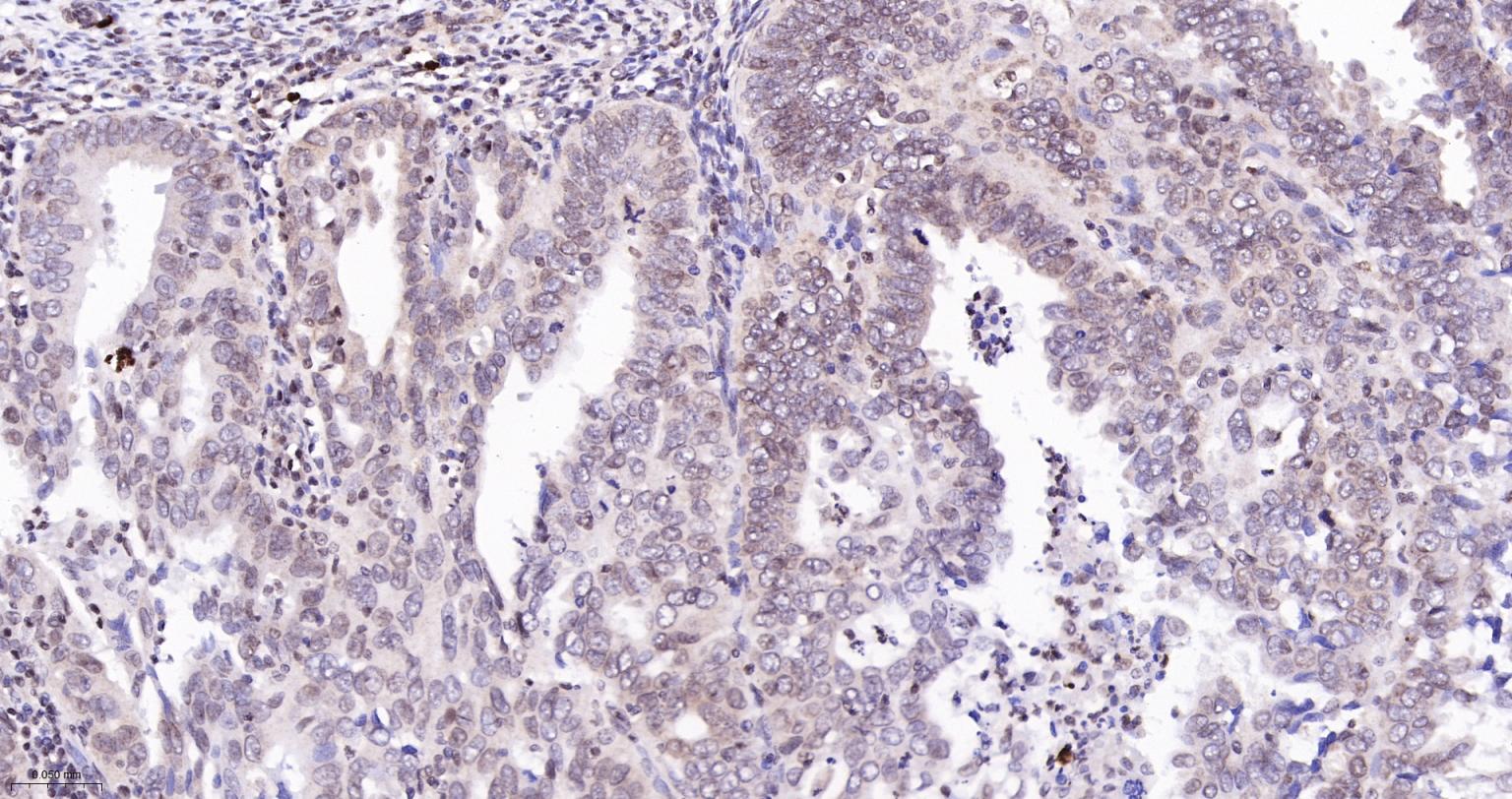
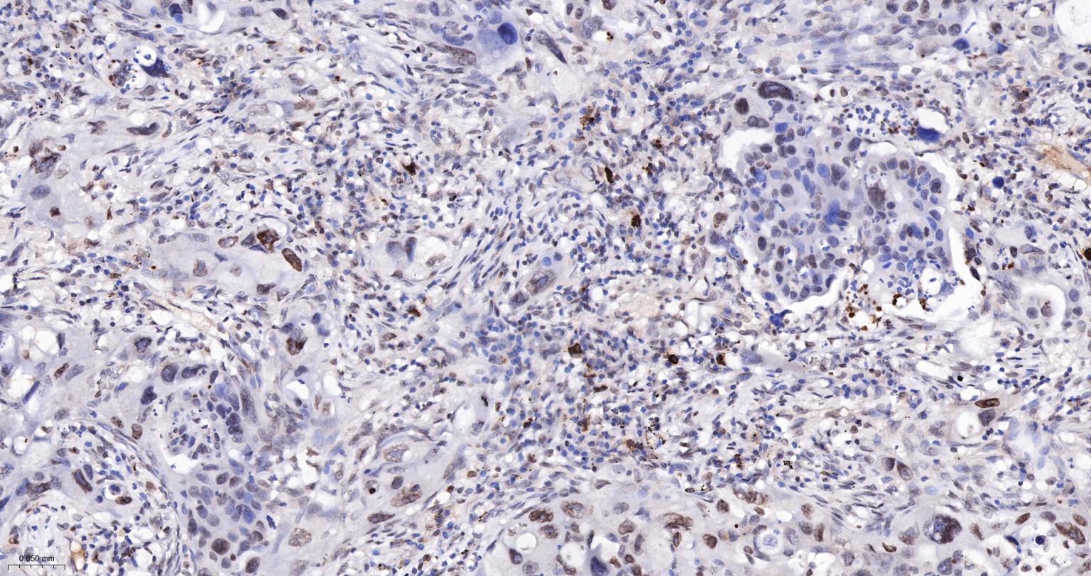
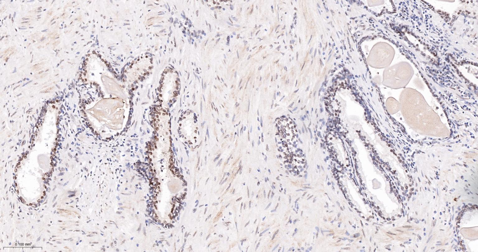
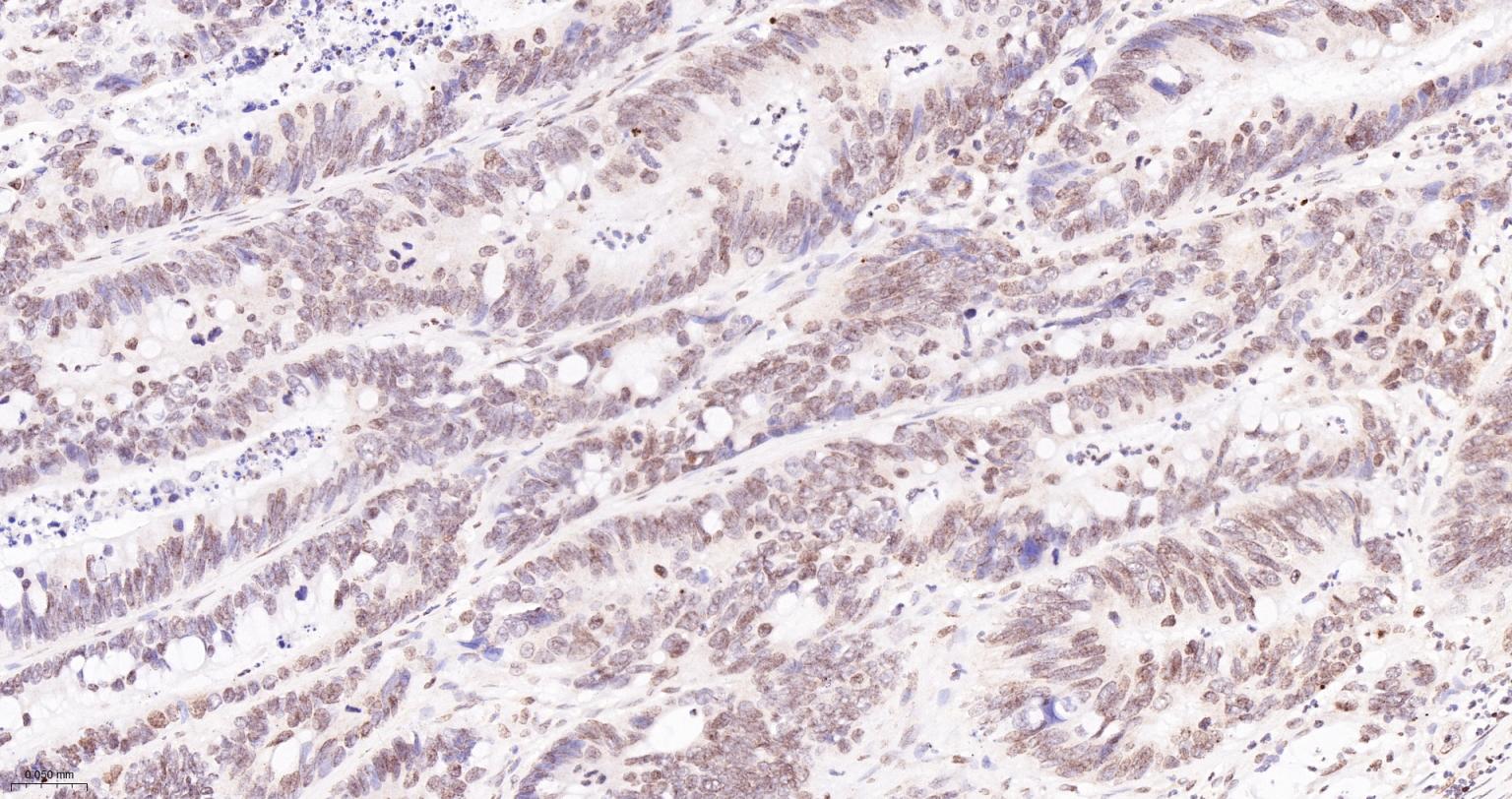
产品应用

应用已检合格种属预测种属推荐稀释比例
WBHuman1:500-2000
IHC-PHuman1:100-500
IHC-FHuman1:100-500
IFHuman1:100-500
Flow-CytHuman1:50-100
ICC/IFHuman1:50-200

交叉反应

交叉反应: Human

相关产品

暂无相关产品

靶标

基因名
ADAR
蛋白名
Double-stranded RNA-specific adenosine deaminase
亚基
Homodimer. Isoform 1 interacts with ILF2/NF45 and ILF3/NF90.
亚细胞定位
Cytoplasm. Nucleus, nucleolus. Isoform 1: Cytoplasm. Note=Found predominantly in cytoplasm but appears to shuttle between the cytoplasm and nucleus. Isoform 5: Nucleus, nucleolus.
组织特异性
Ubiquitously expressed, highest levels were found in brain and lung.
翻译后修饰
Sumoylation reduces RNA-editing activity.
疾病
Defects in ADAR are a cause of dyschromatosis symmetrical hereditaria (DSH) [MIM:127400]; also known as reticulate acropigmentation of Dohi. DSH is a pigmentary genodermatosis of autosomal dominant inheritance characterized by a mixture of hyperpigmented and hypopigmented macules distributed on the dorsal parts of the hands and feet.
相似性
Contains 1 A to I editase domain.
Contains 2 DRADA repeats.
Contains 3 DRBM (double-stranded RNA-binding) domains.
功能
Converts multiple adenosines to inosines and creates I/U mismatched base pairs in double-helical RNA substrates without apparent sequence specificity. Has been found to modify more frequently adenosines in AU-rich regions, probably due to the relative ease of melting A/U base pairs as compared to G/C pairs. Functions to modify viral RNA genomes and may be responsible for hypermutation of certain negative-stranded viruses. Edits the messenger RNAs for glutamate receptor (GLUR) subunits by site-selective adenosine deamination. Produces low-level editing at the GLUR-B Q/R site, but edits efficiently at the R/G site and HOTSPOT1. Binds to short interfering RNAs (siRNA) without editing them and suppresses siRNA-mediated RNA interference. Binds to ILF3/NF90 and up-regulates ILF3-mediated gene expression.

标记抗体

暂无标记数据

同靶标产品

暂无同靶标产品

相关文献

提示: 发表研究结果有使用 bsm-61724R 时请让我们知道,以便我们可以引用参考文章。作为回馈,资料提供者将获得我们送上的小礼品。

暂无相关文献

常见问题

暂无常见问题