Cancer > Cell cycle > Cell cycle inhibitors > p53 pathway
Cell Biology > Cell Cycle > Cell Cycle Inhibitors > p53
Cell Biology > Proteolysis / Ubiquitin > Proteasome / Ubiquitin > Ubiquitin
Cell Biology > Proteolysis / Ubiquitin > Proteasome / Ubiquitin > Ubiquitin E3 Enzymes > Other E3 Ligases
Cell Biology > Proteolysis / Ubiquitin > Proteasome / Ubiquitin > Ubiquitin E3 Enzymes > SCF Complex E3 Ligase
Epigenetics and Nuclear Signaling > Ubiquitin & Ubiquitin Like Modifiers > Deubiquitination











| 应用 | 已检合格种属 | 预测种属 | 推荐稀释比例 |
|---|---|---|---|
| WB | Human, Mouse, Rat | 1:500-2000 | |
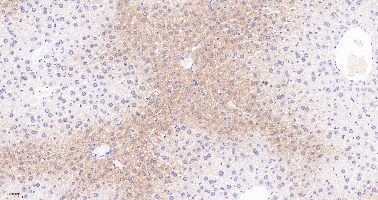
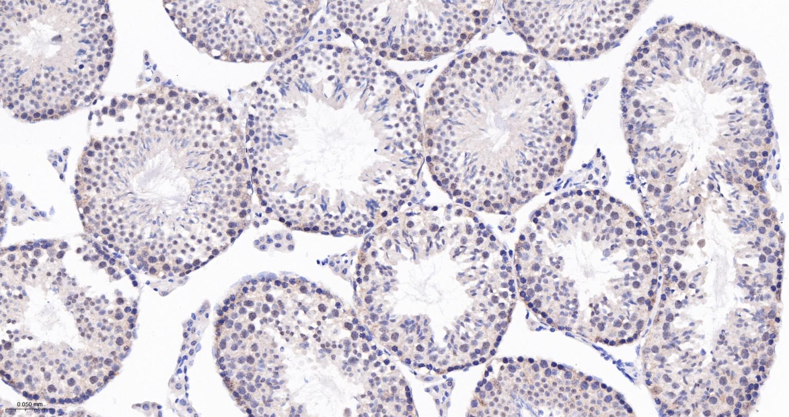
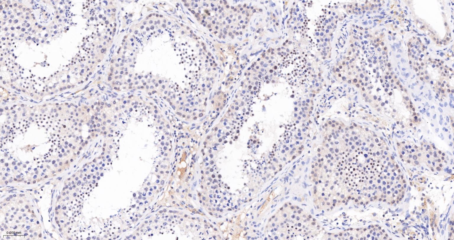
| IHC-P | Human, Mouse, Rat | 1:50-200 | |
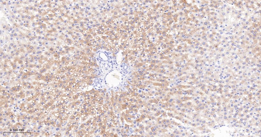
| IHC-F | Human, Mouse, Rat | 1:50-200 | |
| IF | Human, Mouse, Rat | 1:50-200 | |
| Flow-Cyt | Human | Mouse, Rat | 1:50-100 |
| IP | Human, Mouse, Rat | 1:20-50 |
交叉反应: Human, Mouse, Rat
暂无相关产品
暂无标记数据
暂无同靶标产品
暂无相关文献
暂无常见问题