Cancer > Oncoproteins/suppressors > Oncoproteins > Signal transducers
Cancer > Signal transduction > Protein phosphorylation > Serine/threonine kinases
Epigenetics and Nuclear Signaling > Cell cycle > Kinases/Phosphatases
Immunology > Innate Immunity > TLR Signaling
Signal Transduction > Protein Phosphorylation > Ser / Thr Kinases > Other Kinases



| 应用 | 已检合格种属 | 预测种属 | 推荐稀释比例 |
|---|---|---|---|
| WB | Human | 1:500-2000 | |
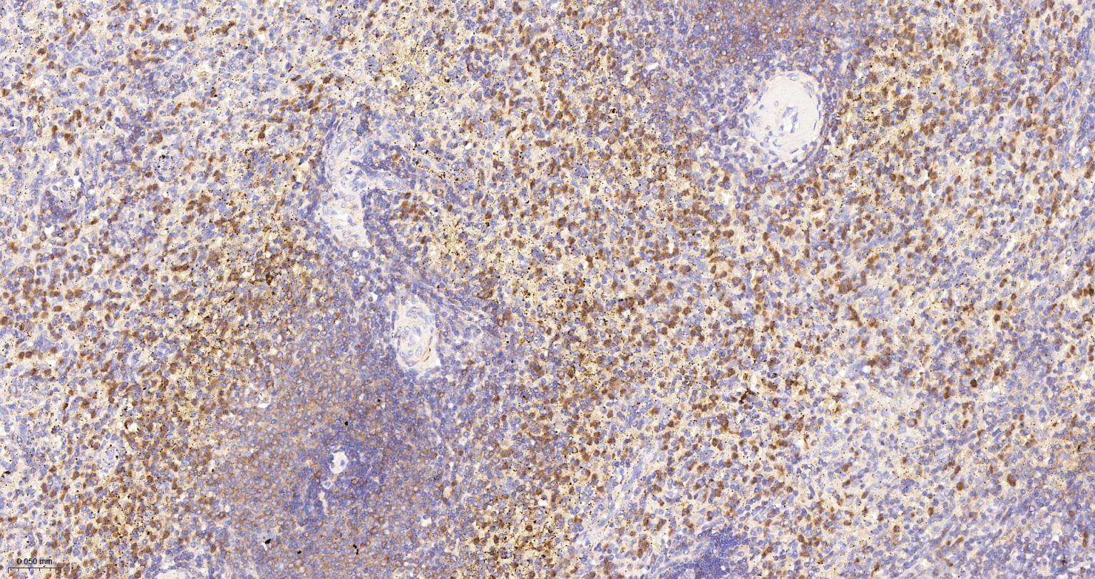
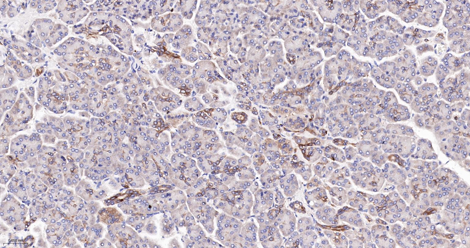
| IHC-P | Human | 1:100-500 | |
| IHC-F | Human | 1:100-500 | |
| IF | Human | 1:100-500 |
交叉反应: Human
暂无相关产品
暂无标记数据
暂无同靶标产品
暂无相关文献
暂无常见问题