Tubulin is the major constituent of microtubules, a cylinder consisting of laterally associated linear protofilaments composed of alpha- and beta-tubulin heterodimers. Microtubules grow by the addition of GTP-tubulin dimers to the microtubule end, where a stabilizing cap forms. Below the cap, tubulin dimers are in GDP-bound state, owing to GTPase activity of alpha-tubulin.












| 应用 | 已检合格种属 | 预测种属 | 推荐稀释比例 |
|---|---|---|---|
| WB | Human, Mouse, Rat | Monkey | 1:500-5000 |
| IHC-P | Human, Mouse, Rat | Monkey | 1:100-500 |
| IHC-F | Human, Mouse, Rat | Monkey | 1:100-500 |
| IF | Human, Mouse, Rat | Monkey | 1:100-500 |
| Flow-Cyt | Human, Mouse, Rat, Monkey | 1:50-200 | |
| ICC/IF | Human | Mouse, Rat, Monkey | 1:100-500 |
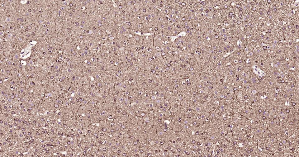
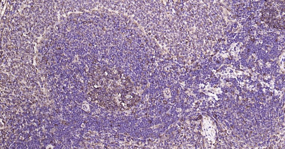
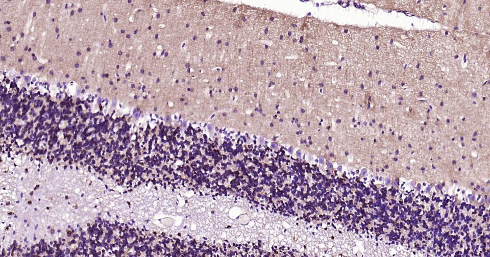
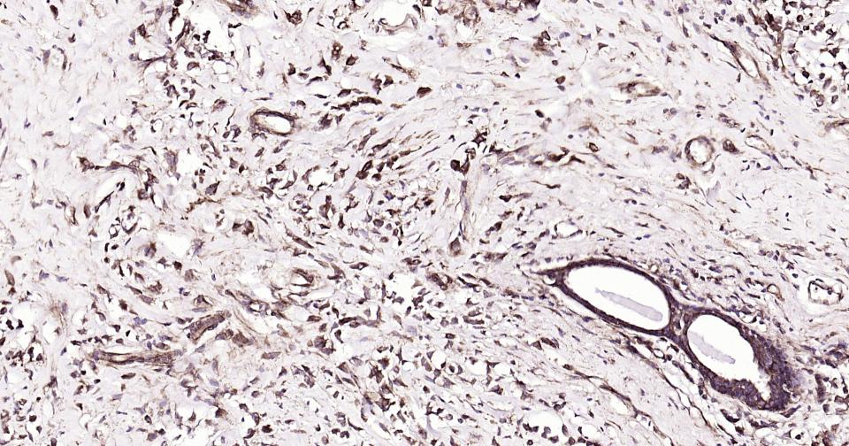
交叉反应: Human, Mouse, Rat (predicted: Monkey)
暂无相关产品