Cancer > Cancer Metabolism > Metabolic signaling pathway > Metabolism of carbohydrates
Metabolism > Pathways and Processes > Metabolic signaling pathways > Carbohydrate metabolism
Metabolism > Pathways and Processes > Metabolic signaling pathways > Energy transfer pathways > Energy Metabolism
Metabolism > Pathways and Processes > Mitochondrial Metabolism > Mitochondrial markers
Signal Transduction > Metabolism > Energy Metabolism
Signal Transduction > Metabolism > Mitochondrial
Tags & Cell Markers > Subcellular Markers > Organelles > Mitochondria














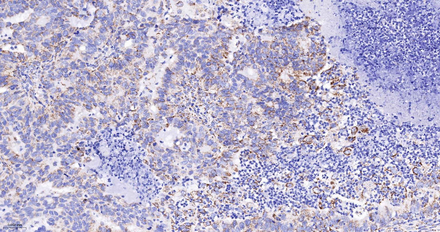
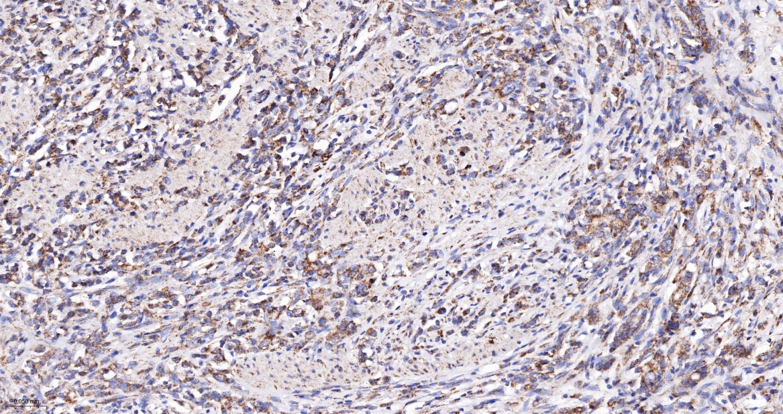
| 应用 | 已检合格种属 | 预测种属 | 推荐稀释比例 |
|---|---|---|---|
| WB | Human, Mouse, Rat | 1:500-2000 | |
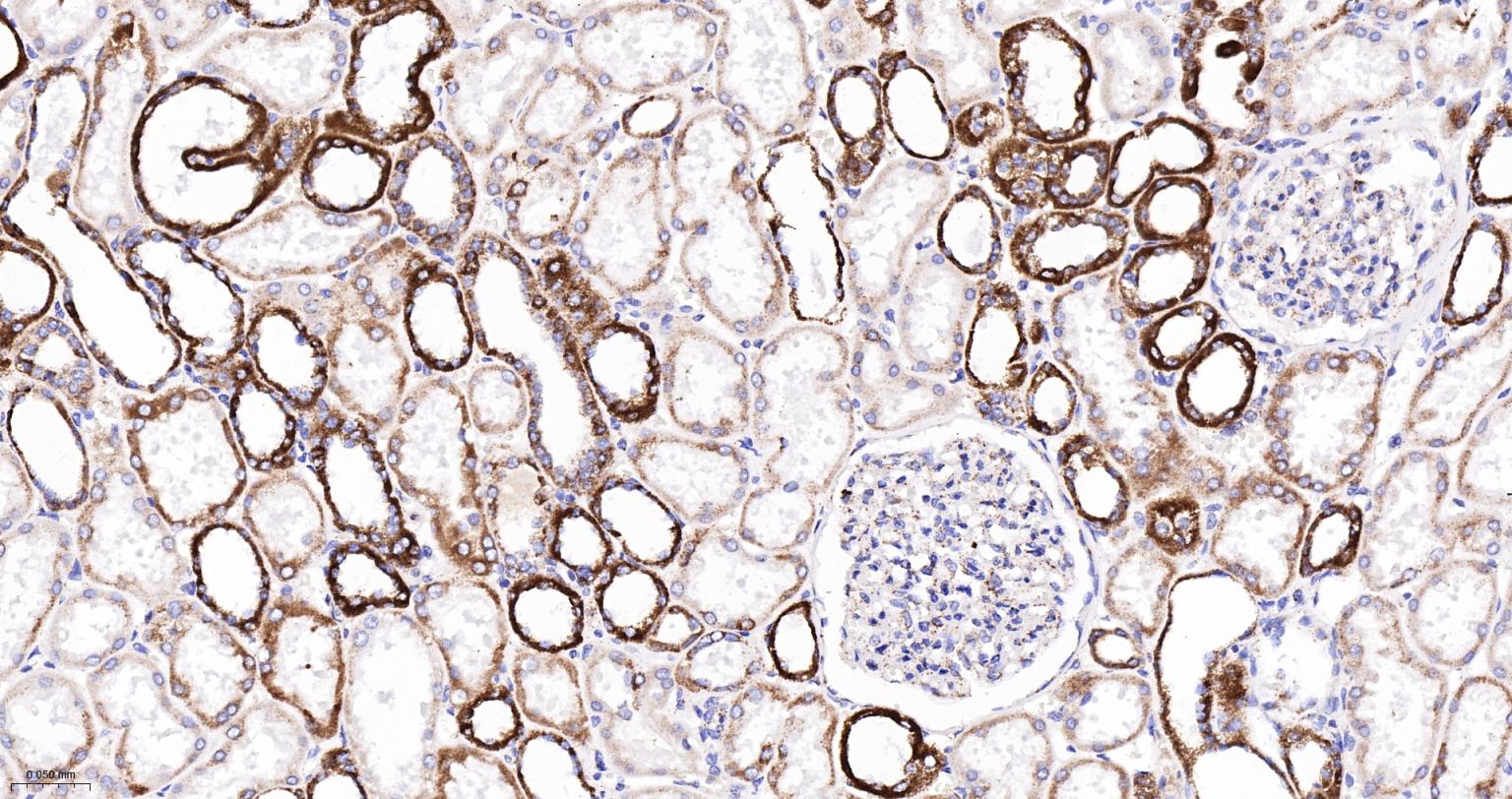
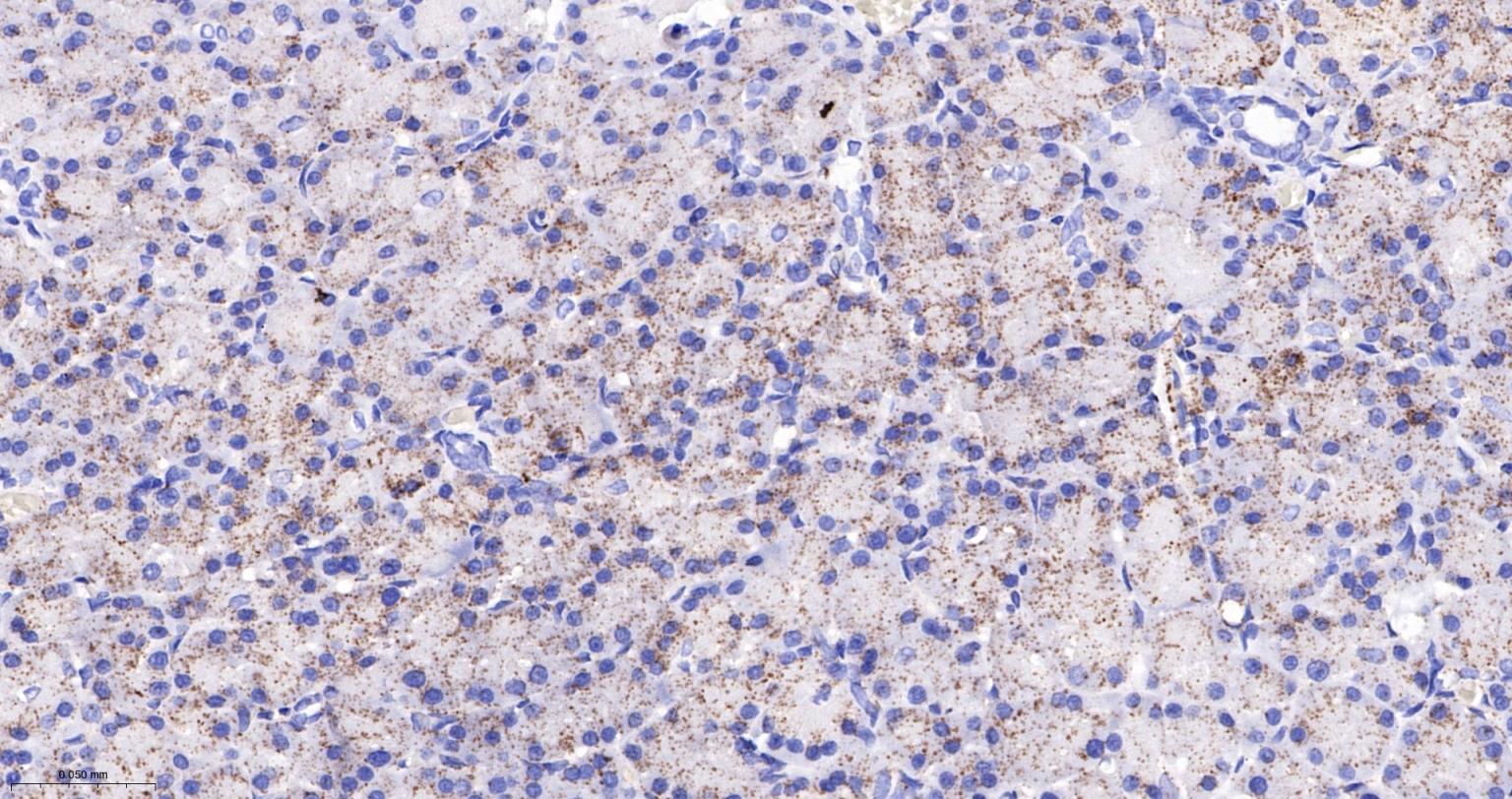
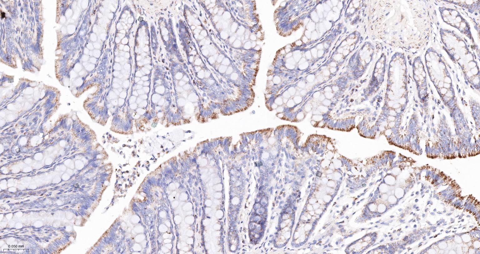
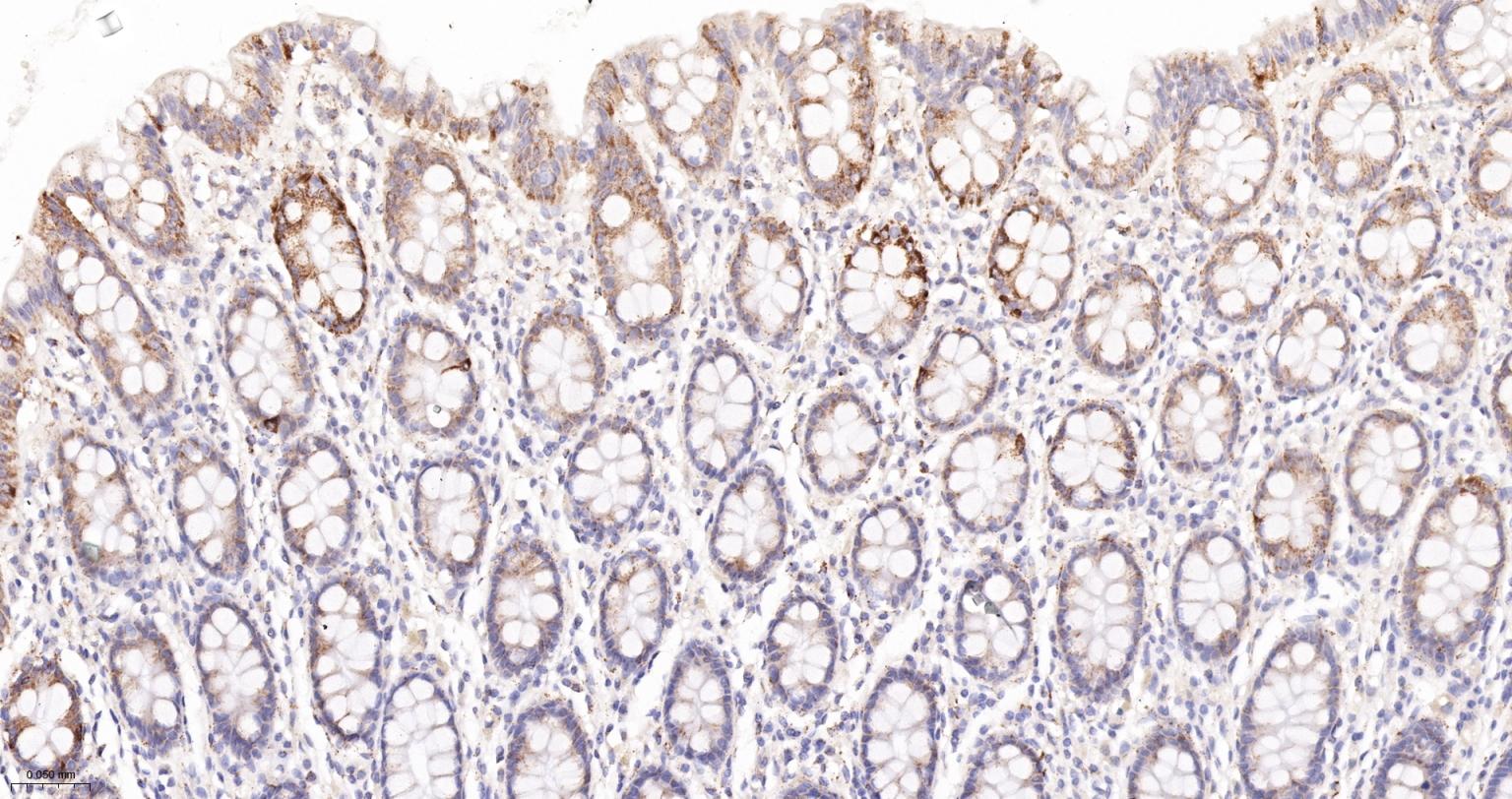
| IHC-P | Human, Mouse, Rat | 1:100-500 | |
| IHC-F | Human, Mouse, Rat | 1:100-500 | |
| IF | Human, Mouse, Rat | 1:100-500 | |
| Flow-Cyt | Human, Mouse, Rat | 1:50-100 | |
| ICC/IF | Human, Mouse, Rat | 1:50-200 | |
| IP | Human, Mouse, Rat | 1:20-50 |
交叉反应: Human, Mouse, Rat
暂无相关产品
暂无标记数据
暂无同靶标产品
暂无相关文献
暂无常见问题