SHC1 Recombinant Rabbit mAb (一抗) - WB,IHC-P,IHC-F,IF | Bioss

Rrmab?兔单抗
2026-03-02~2026-04-30,KXJ2603
SHC1 Recombinant Rabbit mAb (一抗) - WB,IHC-P,IHC-F,IF | Bioss
货号:bsm-61677R
产品详情
相关标记
相关产品
相关文献
常见问题

概述

产品编号
bsm-61677R
产品类型
重组兔单抗
英文名称
SHC1 Recombinant Rabbit mAb
中文名称
SH2结构域转化蛋白1重组兔单抗
英文别名
SHC; SHCA; p66; p66shc; SHC1_HUMAN; SHC1; SHC-transforming protein 3; SHC-transforming protein A; Src homology 2 domain-containing-transforming protein C1 (SH2 domain protein C1); SHC1_MOUSE; SHC1_RAT;
抗体来源
Rabbit
免疫原
A synthesized peptide derived from human SHC1: 500-583/583
亚型
IgG
性状
Liquid
纯化方法
affinity purified by Protein A
克隆类型
Recombinant
克隆号
15C11
理论分子量
63 kDa
检测分子量
46-66三带 kDa
储存液
10mM phosphate buffered saline(pH 7.4) with 150mM sodium chloride, 0.05% BSA, 0.02% Proclin300 and 50% glycerol.
SWISS
Gene ID
保存条件
Store at 4℃ for short term. Store at -20℃ for long term. Avoid repeated freeze/thaw cycles.
注意事项
This product as supplied is intended for research use only, not for use in human, therapeutic or diagnostic applications.
背景资料
Shc1 IS an adaptor protein containing a SH2 domain and a PID domain within a PH domain-like fold. Three isoforms(p66, p52 and p46), produced by alternative initiation, variously regulate growth factor signaling, oncogenesis and apoptosis.
SH2结构域转化蛋白1重组兔单抗-bsm-61677RSH2结构域转化蛋白1重组兔单抗-bsm-61677RSH2结构域转化蛋白1重组兔单抗-bsm-61677RSH2结构域转化蛋白1重组兔单抗-bsm-61677RSH2结构域转化蛋白1重组兔单抗-bsm-61677RSH2结构域转化蛋白1重组兔单抗-bsm-61677RSH2结构域转化蛋白1重组兔单抗-bsm-61677R

产品应用

应用已检合格种属预测种属推荐稀释比例
WBHuman, MouseRat1:500-2000
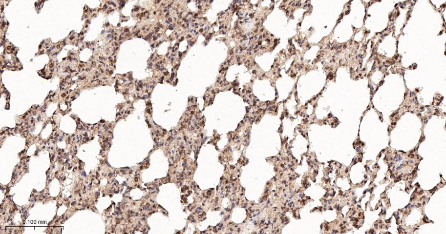
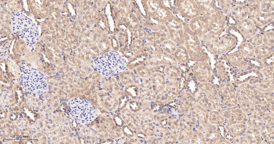
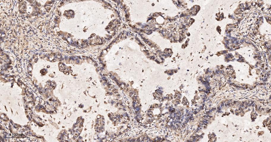
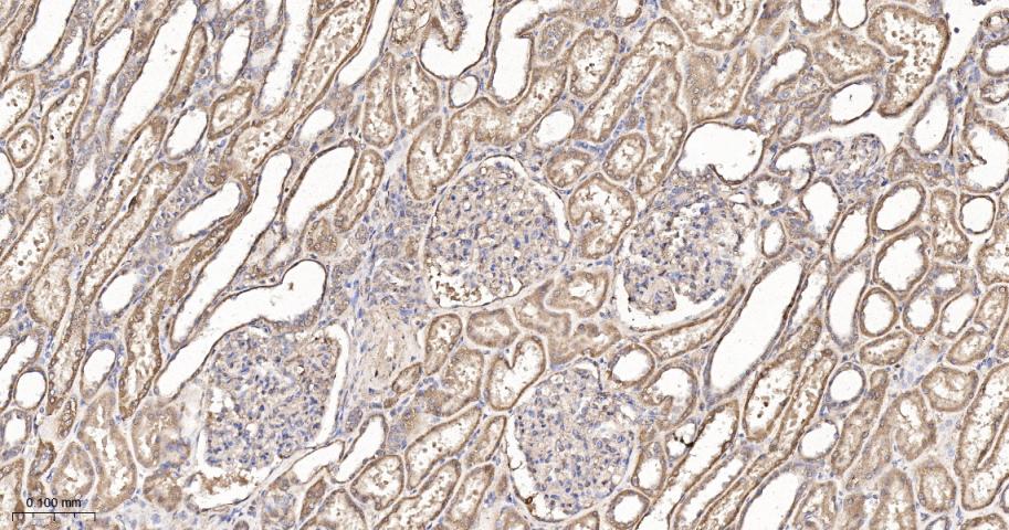
IHC-PHuman, Mouse, Rat1:50-200
IHC-FHuman, Mouse, Rat1:50-200
IFHuman, Mouse, Rat1:50-200

交叉反应

交叉反应: Human, Mouse, Rat

相关产品

暂无相关产品

靶标

基因名
SHC1
蛋白名
SHC-transforming protein 1
亚基
Interacts with the NPXY motif of tyrosine-phosphorylated IGF1R and INSR in vitro via the PID domain. Once activated, binds to GRB2. Interacts with tyrosine-phosphorylated CD3T and DDR2. Interacts with the N-terminal region of APS. Interacts with phosphorylated LRP1 and IRS4. Interacts with INPP5D/SHIP1 and INPPL1/SHIP2. Interacts with TRIM31. Interacts with PTPN6/SHP (tyrosine phosphorylated). Identified in a complex containing FGFR4, NCAM1, CDH2, PLCG1, FRS2, SRC, SHC1, GAP43 and CTT. Interacts with ALK, GAB2, GRB7 and KIT. Interacts with FLT4 (tyrosine-phosphorylated). Interacts with EPHB1 and GRB2; activates the MAPK/ERK cascade to regulate cell migration. Interacts with PDGFRB (tyrosine-phosphorylated). Interacts with ERBB4. Interacts with TEK/TIE2 (tyrosine-phosphorylated). Interacts with the Trk receptors NTRK1, NTRK2 and NTRK3; in a phosphotyrosine-dependent manner. Interacts with PTK2/FAK1.
亚细胞定位
Cytoplasm.
Isoform p46Shc: Mitochondrion matrix. Note=Localized to the mitochondria matrix. Targeting of isoform p46Shc to mitochondria is mediated by its first 32 amino acids, which behave as a bona fide mitochondrial targeting sequence. Isoform p52Shc and isoform p66Shc, that contain the same sequence but more internally located, display a different subcellular localization.
Isoform p66Shc: Mitochondrion. Note=In case of oxidative conditions, phosphorylation at 'Ser-36' of isoform p66Shc, leads to mitochondrial accumulation.
组织特异性
Widely expressed. Expressed in neural stem cells but absent in mature neurons.
翻译后修饰
Phosphorylated by activated epidermal growth factor receptor. Phosphorylated in response to FLT4 and KIT signaling. Isoform p46Shc and isoform p52Shc are phosphorylated on tyrosine residues of the Pro-rich domain. Isoform p66Shc is phosphorylated on Ser-36 by PRKCB upon treatment with insulin, hydrogen peroxide or irradiation with ultraviolet light. Tyrosine phosphorylated in response to FLT3 signaling. Tyrosine phosphorylated by activated PTK2B/PYK2. Tyrosine phosphorylated by ligand-activated ALK. Tyrosine phosphorylated by ligand-activated PDGFRB. Tyrosine phosphorylated by TEK/TIE2. May be tyrosine phosphorylated by activated PTK2/FAK1; tyrosine phosphorylation was seen in an astrocytoma biopsy, where PTK2/FAK1 kinase activity is high, but not in normal brain tissue.
相似性
Contains 1 PID domain.
Contains 1 SH2 domain.
功能
Signaling adapter that couples activated growth factor receptors to signaling pathways. Participates in a signaling cascade initiated by activated KIT and KITLG/SCF. Isoform p46Shc and isoform p52Shc, once phosphorylated, couple activated receptor tyrosine kinases to Ras via the recruitment of the GRB2/SOS complex and are implicated in the cytoplasmic propagation of mitogenic signals. Isoform p46Shc and isoform p52Shc may thus function as initiators of the Ras signaling cascade in various non-neuronal systems. Isoform p66Shc does not mediate Ras activation, but is involved in signal transduction pathways that regulate the cellular response to oxidative stress and life span. Isoform p66Shc acts as a downstream target of the tumor suppressor p53 and is indispensable for the ability of stress-activated p53 to induce elevation of intracellular oxidants, cytochrome c release and apoptosis. The expression of isoform p66Shc has been correlated with life span (By similarity). Participates in signaling downstream of the angiopoietin receptor TEK/TIE2, and plays a role in the regulation of endothelial cell migration and sprouting angiogenesis.

同靶标产品

相关文献

提示: 发表研究结果有使用 bsm-61677R 时请让我们知道,以便我们可以引用参考文章。作为回馈,资料提供者将获得我们送上的小礼品。

常见问题