macro H2A.1 Recombinant Rabbit mAb (一抗) - WB,IHC-P,IHC-F,IF,ICC/IF | Bioss

Rrmab?兔单抗
2026-03-02~2026-04-30,KXJ2603
macro H2A.1 Recombinant Rabbit mAb (一抗) - WB,IHC-P,IHC-F,IF,ICC/IF | Bioss
货号:bsm-61665R
产品详情
相关标记
相关产品
相关文献
常见问题

概述

产品编号
bsm-61665R
产品类型
重组兔单抗
英文名称
macro H2A.1 Recombinant Rabbit mAb
中文名称
异型组蛋白H2A.1重组兔单抗
英文别名
H2A.y; H2A/y; H2AF12M; H2AFY; MACROH2A1.1; mH2A1; macroH2A1.2; H2AY_HUMAN; MACROH2A1; Histone macroH2A1; Histone H2A.y (H2A/y); Medulloblastoma antigen MU-MB-50.205; H2AY_MOUSE; H2AY_RAT;
抗体来源
Rabbit
免疫原
A synthesized peptide derived from human Histone mH2A1: 220-275
亚型
IgG
性状
Liquid
纯化方法
affinity purified by Protein A
克隆类型
Recombinant
克隆号
4E11
理论分子量
40 kDa
检测分子量
42 kDa
储存液
10mM phosphate buffered saline(pH 7.4) with 150mM sodium chloride, 0.05% BSA, 0.02% Proclin300 and 50% glycerol.
SWISS
Gene ID
保存条件
Store at 4℃ for short term. Store at -20℃ for long term. Avoid repeated freeze/thaw cycles.
注意事项
This product as supplied is intended for research use only, not for use in human, therapeutic or diagnostic applications.
背景资料
Variant histone H2A which replaces conventional H2A in a subset of nucleosomes where it represses transcription.Nucleosomes wrap and compact DNA into chromatin, limiting DNA accessibility to the cellular machineries which require DNA as a template.
异型组蛋白H2A.1重组兔单抗-bsm-61665R异型组蛋白H2A.1重组兔单抗-bsm-61665R异型组蛋白H2A.1重组兔单抗-bsm-61665R异型组蛋白H2A.1重组兔单抗-bsm-61665R异型组蛋白H2A.1重组兔单抗-bsm-61665R异型组蛋白H2A.1重组兔单抗-bsm-61665R异型组蛋白H2A.1重组兔单抗-bsm-61665R异型组蛋白H2A.1重组兔单抗-bsm-61665R异型组蛋白H2A.1重组兔单抗-bsm-61665R异型组蛋白H2A.1重组兔单抗-bsm-61665R

产品应用

应用已检合格种属预测种属推荐稀释比例
WBHuman, Mouse, Rat1:500-2000
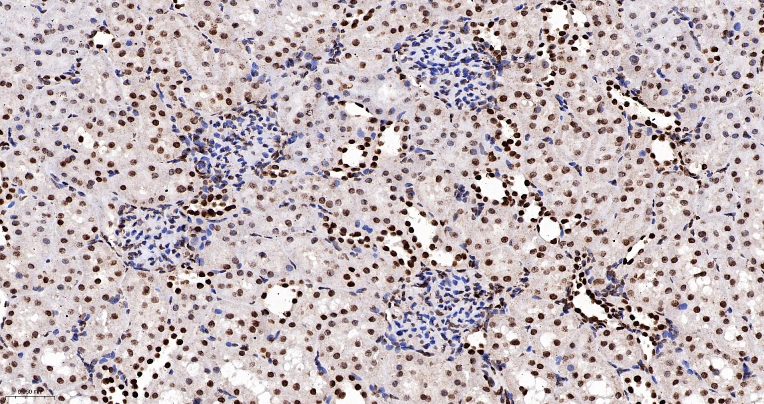
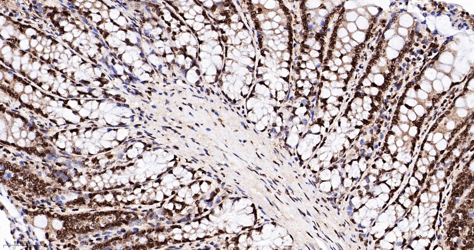
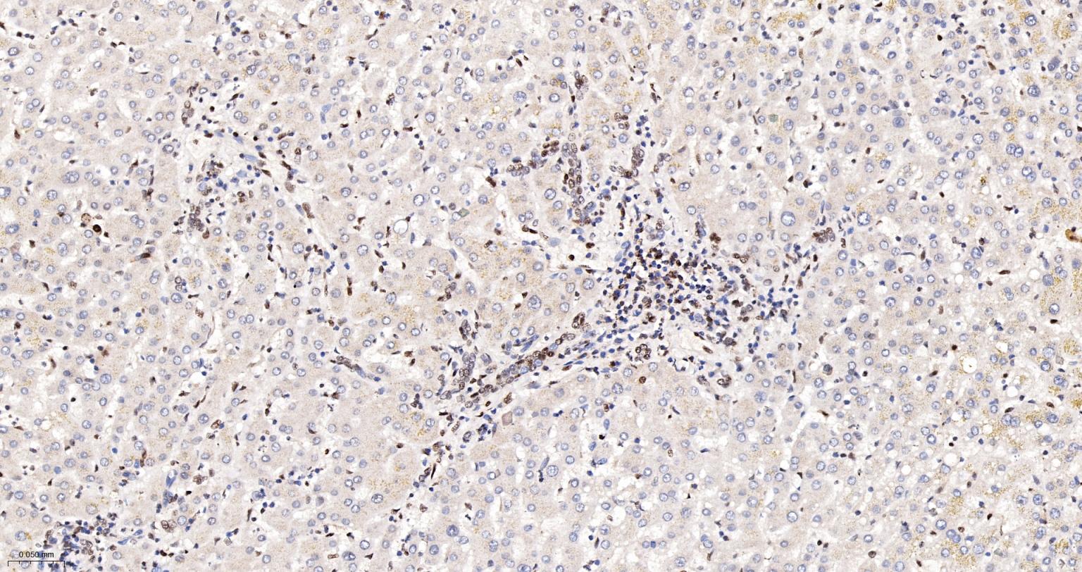
IHC-PHuman, Mouse, Rat1:200-500
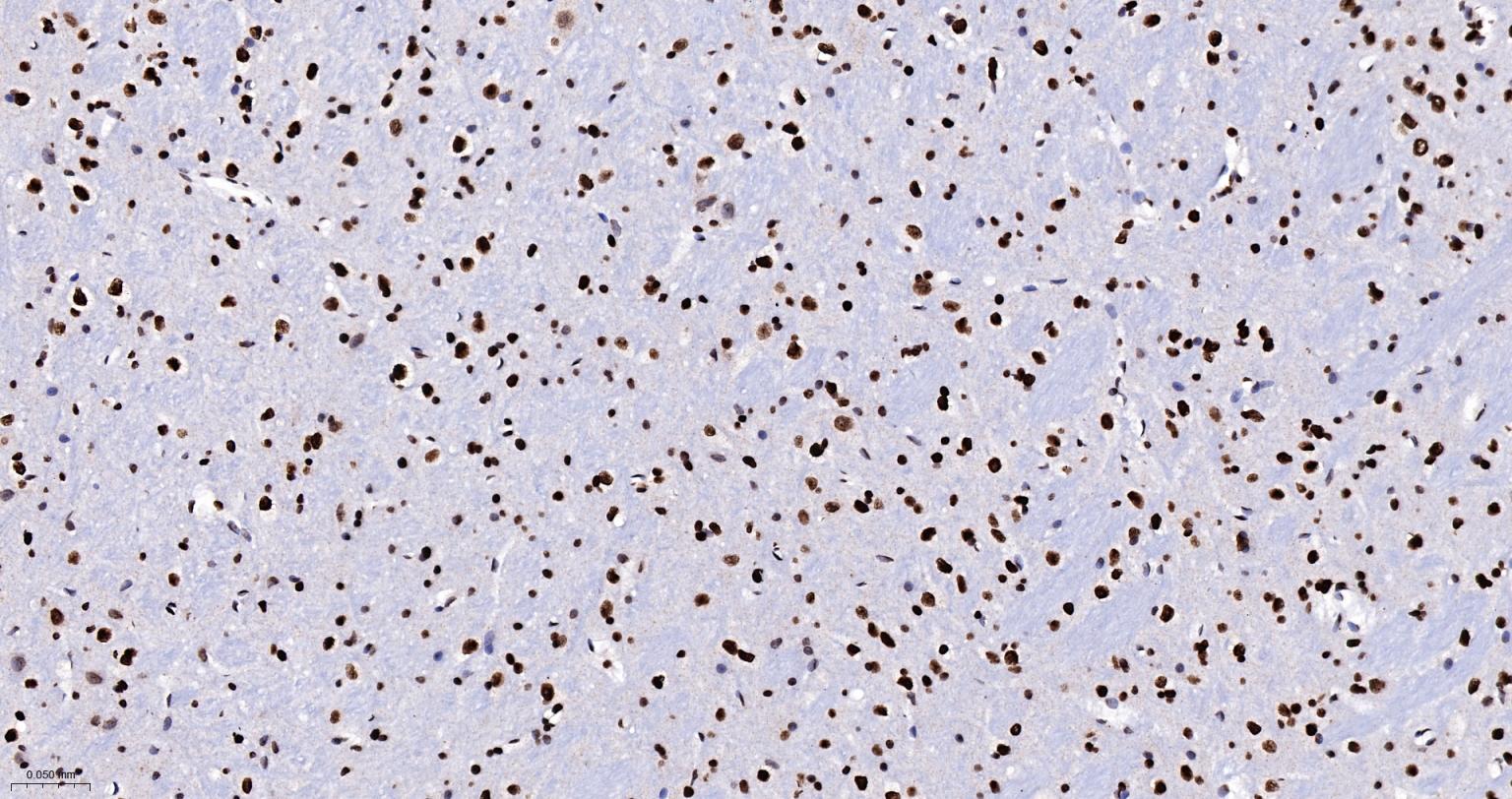
IHC-FHuman, Mouse, Rat1:200-500
IFHuman, Mouse, Rat1:200-500
ICC/IFHumanMouse, Rat1:100-500

交叉反应

交叉反应: Human, Mouse, Rat

相关产品

暂无相关产品

靶标

基因名
Macroh2a1
蛋白名
Core histone macro-H2A.1
亚细胞定位
Nucleus. Chromosome. Enriched in inactive X chromosome chromatin and in senescence-associated heterochromatin.
组织特异性
Ubiquitous.
翻译后修饰
Monoubiquitinated at either Lys-116 or Lys-117. May also be polyubiquitinated. Ubiquitination is mediated by the CUL3/SPOP E3 complex and does not promote proteasomal degradation. Instead, it is required for enrichment in inactive X chromosome chromatin.
相似性
Contains 1 histone H2A domain.
Contains 1 Macro domain.
功能
Variant histone H2A which replaces conventional H2A in a subset of nucleosomes where it represses transcription. Nucleosomes wrap and compact DNA into chromatin, limiting DNA accessibility to the cellular machineries which require DNA as a template. Histones thereby play a central role in transcription regulation, DNA repair, DNA replication and chromosomal stability. DNA accessibility is regulated via a complex set of post-translational modifications of histones, also called histone code, and nucleosome remodeling. Involved in stable X chromosome inactivation. Inhibits the binding of transcription factors and interferes with the activity of remodeling SWI/SNF complexes. Inhibits histone acetylation by EP300 and recruits class I HDACs, which induces an hypoacetylated state of chromatin. In addition, isoform 1, but not isoform 2, binds ADP-ribose and O-acetyl-ADP-ribose, and may be involved in ADP-ribose-mediated chromatin modulation.

同靶标产品

相关文献

提示: 发表研究结果有使用 bsm-61665R 时请让我们知道,以便我们可以引用参考文章。作为回馈,资料提供者将获得我们送上的小礼品。

常见问题