去泛素酶10重组兔单抗

Rrmab?兔单抗
2026-03-02~2026-04-30,KXJ26032026-03-02~2026-04-30,促销赠品
去泛素酶10重组兔单抗
货号:bsm-61654R
产品详情
相关标记
相关产品
相关文献
常见问题

概述

产品编号
bsm-61654R
产品类型
重组兔单抗
英文名称
USP10 Recombinant Rabbit mAb
中文名称
去泛素酶10重组兔单抗
英文别名
UBPO; 2610014N07Rik; Uchrp; mKIAA0190; UBP10_HUMAN; USP10; Deubiquitinating enzyme 10; Ubiquitin thioesterase 10; Ubiquitin-specific-processing protease 10; 3.4.19.12; KIAA0190; UBP10_MOUSE; Ode-1; UBP10_RAT;
抗体来源
Rabbit
免疫原
A synthesized peptide derived from human USP10: 1-65/798
亚型
IgG
性状
Liquid
纯化方法
affinity purified by Protein A
克隆类型
Recombinant
克隆号
11C8
理论分子量
87 kDa
检测分子量
110 kDa
储存液
10mM phosphate buffered saline(pH 7.4) with 150mM sodium chloride, 0.05% BSA, 0.02% Proclin300 and 50% glycerol.
SWISS
Gene ID
保存条件
Store at 4℃ for short term. Store at -20℃ for long term. Avoid repeated freeze/thaw cycles.
注意事项
This product as supplied is intended for research use only, not for use in human, therapeutic or diagnostic applications.
背景资料
Hydrolase that can remove conjugated ubiquitin from target proteins such as p53/TP53, SNX3 and CFTR. Acts as an essential regulator of p53/TP53 stability: in unstressed cells, specifically deubiquitinates p53/TP53 in the cytoplasm, leading to counteract MDM2 action and stabilize p53/TP53.
去泛素酶10重组兔单抗去泛素酶10重组兔单抗去泛素酶10重组兔单抗去泛素酶10重组兔单抗去泛素酶10重组兔单抗去泛素酶10重组兔单抗

产品应用

应用已检合格种属预测种属推荐稀释比例
WBHuman1:500-2000
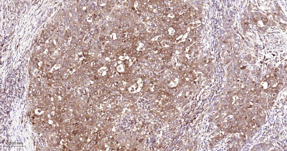
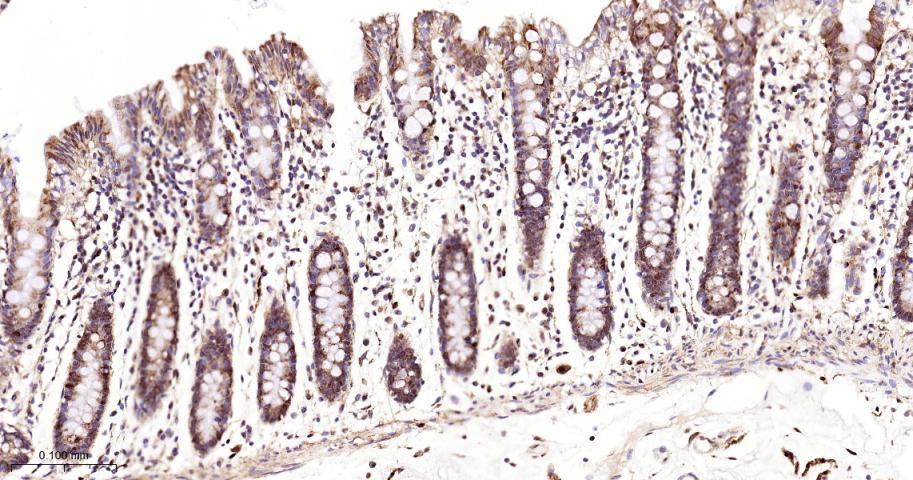
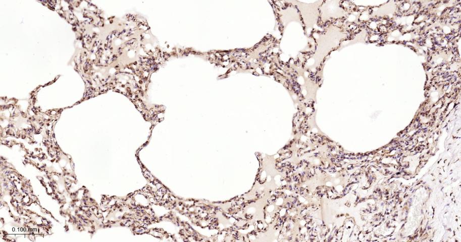
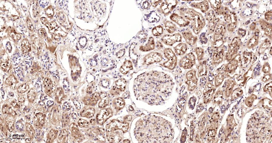
IHC-PHuman1:50-200
IHC-FHuman1:50-200
IFHuman1:50-200
Flow-CytHuman1:50-100
IPHuman1:20-50

交叉反应

交叉反应: Human

相关产品

暂无相关产品

靶标

基因名
USP10
蛋白名
Ubiquitin carboxyl-terminal hydrolase 10
亚基
Interacts with G3BP, which may regulate its function. Interacts with p53/TP53, SNX3 and CFTR.
亚细胞定位
Cytoplasm. Nucleus. Early endosome. Note=Cytoplasmic in normal conditions. After DNA damage, translocates to the nucleus following phosphorylation by ATM.
组织特异性
Widely expressed.
翻译后修饰
Phosphorylated by ATM following DNA damage, leading to stablization and translocation it to the nucleus.
Ubiquitinated. Deubiquitinated by USP13.
相似性
Belongs to the peptidase C19 family. USP10 subfamily.
功能
Hydrolase that can remove conjugated ubiquitin from target proteins such as p53/TP53, BECN1, SNX3 and CFTR. Acts as an essential regulator of p53/TP53 stability: in unstressed cells, specifically deubiquitinates p53/TP53 in the cytoplasm, leading to counteract MDM2 action and stabilize p53/TP53. Following DNA damage, translocates to the nucleus and deubiquitinates p53/TP53, leading to regulate the p53/TP53-dependent DNA damage response. Component of a regulatory loop that controls autophagy and p53/TP53 levels: mediates deubiquitination of BECN1, a key regulator of autophagy, leading to stabilize the PIK3C3/VPS34-containing complexes. In turn, PIK3C3/VPS34-containing complexes regulate USP10 stability, suggesting the existence of a regulatory system by which PIK3C3/VPS34-containing complexes regulate p53/TP53 protein levels via USP10 and USP13. Does not deubiquitinate MDM2. Deubiquitinates CFTR in early endosomes, enhancing its endocytic recycling.

标记抗体

暂无标记数据

同靶标产品

暂无同靶标产品

相关文献

提示: 发表研究结果有使用 bsm-61654R 时请让我们知道,以便我们可以引用参考文章。作为回馈,资料提供者将获得我们送上的小礼品。

暂无相关文献

常见问题

暂无常见问题