Cancer > Cancer Metabolism > Metabolic signaling pathway > Integration of energy metabolism
Metabolism > Pathways and Processes > Metabolic signaling pathways > Energy transfer pathways > Integration of energy
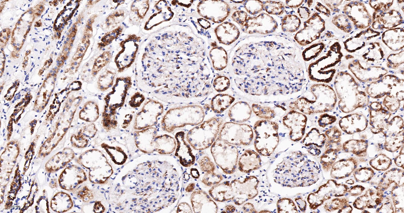
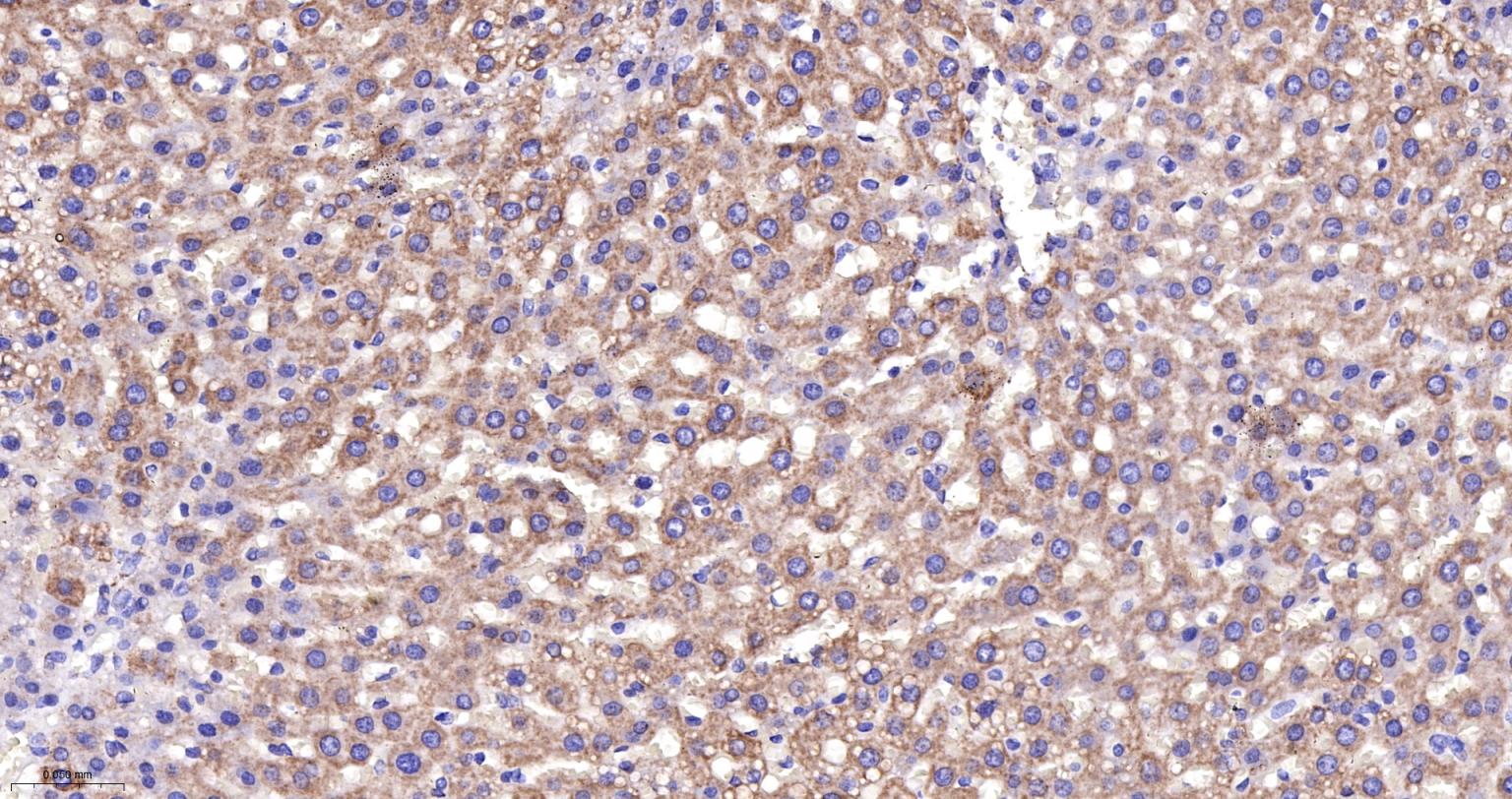
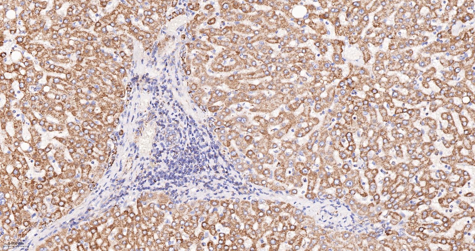
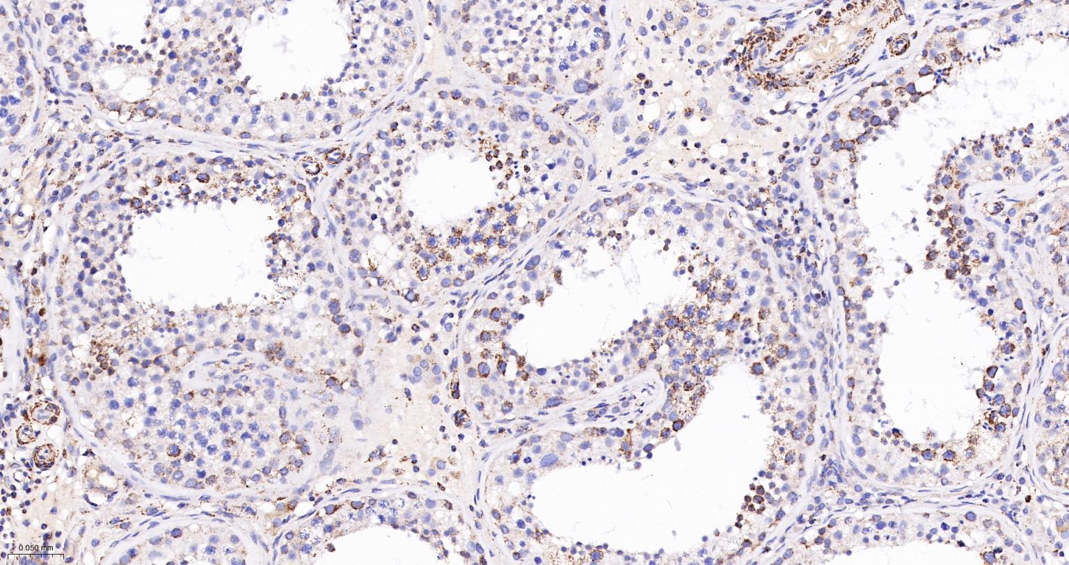
Metabolism > Pathways and Processes > Mitochondrial Metabolism > Mitochondrial markers
Metabolism > Pathways and Processes > Mitochondrial Metabolism > Oxidative phosphorylation > Complex III
Metabolism > Pathways and Processes > Redox metabolism > Antioxidants











| 应用 | 已检合格种属 | 预测种属 | 推荐稀释比例 |
|---|---|---|---|
| IHC-P | Human, Rat | 1:100-500 | |
| IHC-F | Human, Rat | 1:100-500 | |
| IF | Human, Rat | 1:100-500 | |
| Flow-Cyt | Human | Rat | 1:50-100 |
| ICC/IF | Human, Rat | 1:50-200 |
交叉反应: Human, Rat
暂无相关产品
暂无标记数据
暂无同靶标产品
暂无相关文献
暂无常见问题