Cancer > Cell Death > Apoptosis > Nucleus > Lamins
Cell Biology > Apoptosis > Nucleus > Lamins
Epigenetics and Nuclear Signaling > Chromosome Structure > Scaffold Proteins
Signal Transduction > Cytoskeleton / ECM > Cytoskeleton > Intermediate Filaments > Class V > Lamins
Tags & Cell Markers > Subcellular Markers > Nucleus > Nucleoplasm











| 应用 | 已检合格种属 | 预测种属 | 推荐稀释比例 |
|---|---|---|---|
| WB | Human, Mouse | Rat | 1:500-2000 |
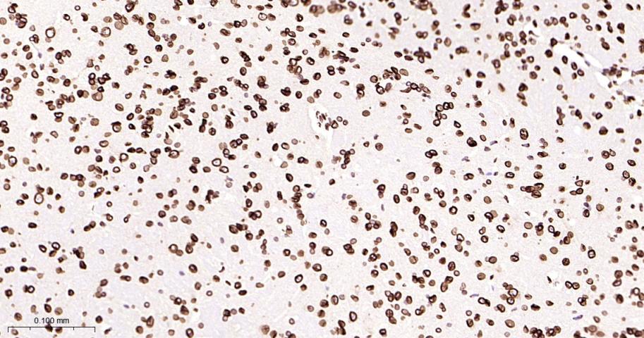
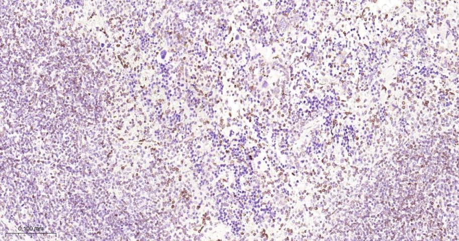
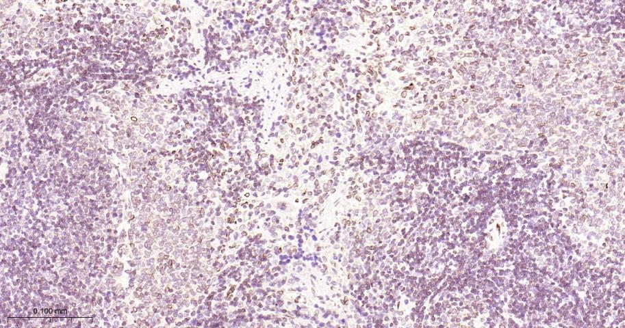
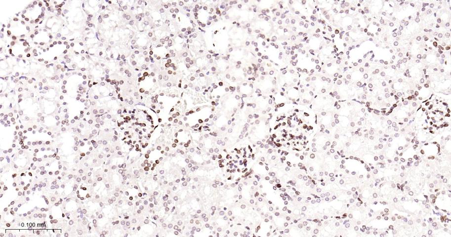
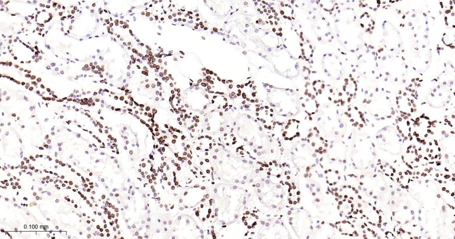
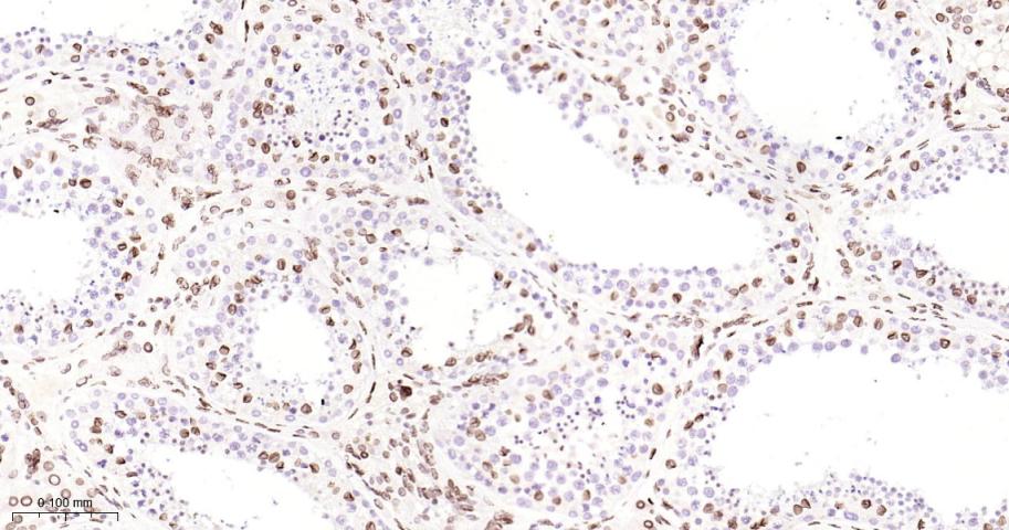
| IHC-P | Human, Mouse, Rat | 1:100-500 | |
| IHC-F | Human, Mouse, Rat | 1:100-500 | |
| IF | Human, Mouse, Rat | 1:100-500 | |
| Flow-Cyt | Human, Mouse, Rat | 1:50-100 | |
| IP | Human, Mouse, Rat | 1:20-50 |
交叉反应: Human, Mouse, Rat
暂无相关产品
暂无标记数据
暂无同靶标产品
暂无相关文献
暂无常见问题