Cancer > Invasion/microenvironment > Angiogenesis
Cancer > Oncoproteins/suppressors > Oncoproteins > Signal transducers
Epigenetics and Nuclear Signaling > Transcription > Cancer susceptibility > Proto-oncogenes
Neuroscience > Neurology process > Neural Signal Transduction
Neuroscience > Neurology process > Neurodegenerative disease











| 应用 | 已检合格种属 | 预测种属 | 推荐稀释比例 |
|---|---|---|---|
| WB | Human, Mouse | Rat | 1:500-2000 |
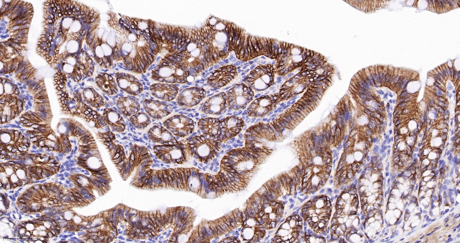
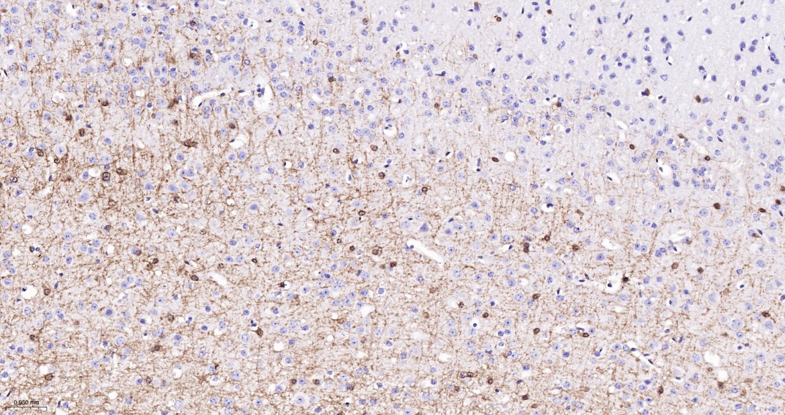
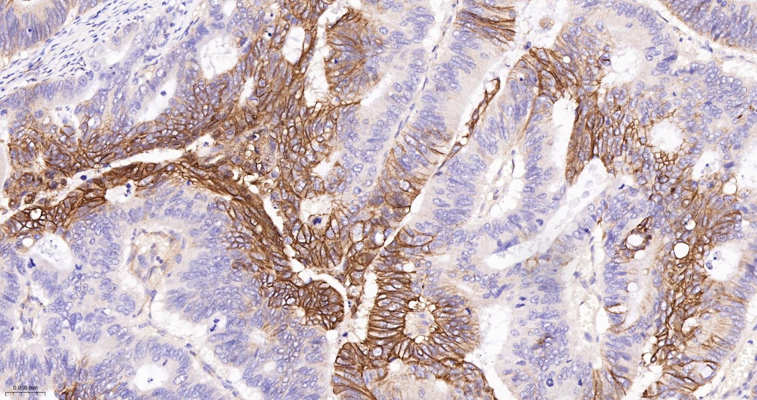
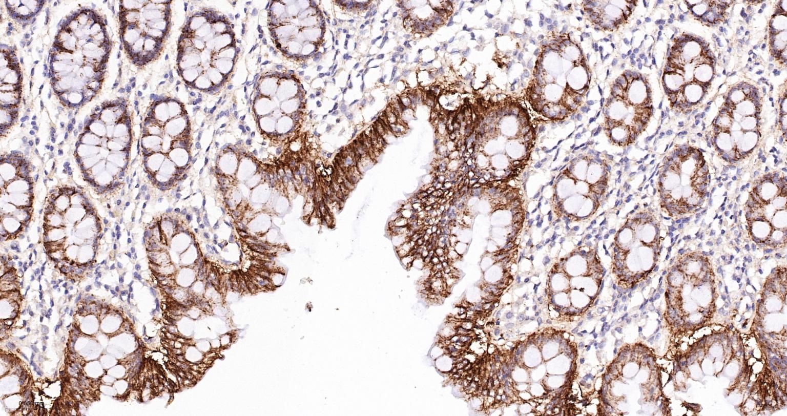
| IHC-P | Human, Mouse, Rat | 1:100-500 | |
| IHC-F | Human, Mouse, Rat | 1:100-500 | |
| IF | Human, Mouse, Rat | 1:100-500 | |
| ICC/IF | Human, Mouse, Rat | 1:50-200 | |
| IP | Human, Mouse, Rat | 1:20-50 |
交叉反应: Human, Mouse, Rat
暂无相关产品
暂无标记数据
暂无同靶标产品
暂无相关文献
暂无常见问题