ULK3重组兔单抗

Rrmab?兔单抗
2026-03-02~2026-04-30,KXJ26032026-03-02~2026-04-30,促销赠品
ULK3重组兔单抗
货号:bsm-61618R
产品详情
相关标记
相关产品
相关文献
常见问题

概述

产品编号
bsm-61618R
产品类型
重组兔单抗
英文名称
ULK3 Recombinant Rabbit mAb
中文名称
ULK3重组兔单抗
英文别名
ULK3_HUMAN; ULK3; Unc-51-like kinase 3; 2.7.11.1;
抗体来源
Rabbit
免疫原
A synthesized peptide derived from human ULK3: 400-470/470
亚型
IgG
性状
Liquid
纯化方法
affinity purified by Protein A
克隆类型
Recombinant
克隆号
5E10
理论分子量
53 kDa
检测分子量
53 kDa
储存液
10mM phosphate buffered saline(pH 7.4) with 150mM sodium chloride, 0.05% BSA, 0.02% Proclin300 and 50% glycerol.
SWISS
Gene ID
保存条件
Store at 4℃ for short term. Store at -20℃ for long term. Avoid repeated freeze/thaw cycles.
注意事项
This product as supplied is intended for research use only, not for use in human, therapeutic or diagnostic applications.
背景资料
Serine/threonine protein kinase that acts as a regulator of Sonic hedgehog (SHH) signaling and autophagy. Acts as a negative regulator of SHH signaling in the absence of SHH ligand: interacts with SUFU, thereby inactivating the protein kinase activity and preventing phosphorylation of GLI proteins (GLI1, GLI2 and/or GLI3). Positively regulates SHH signaling in the presence of SHH: dissociates from SUFU, autophosphorylates and mediates phosphorylation of GLI2, activating it and promoting its nuclear translocation.
ULK3重组兔单抗ULK3重组兔单抗ULK3重组兔单抗ULK3重组兔单抗ULK3重组兔单抗ULK3重组兔单抗ULK3重组兔单抗

产品应用

应用已检合格种属预测种属推荐稀释比例
WBHuman1:500-2000
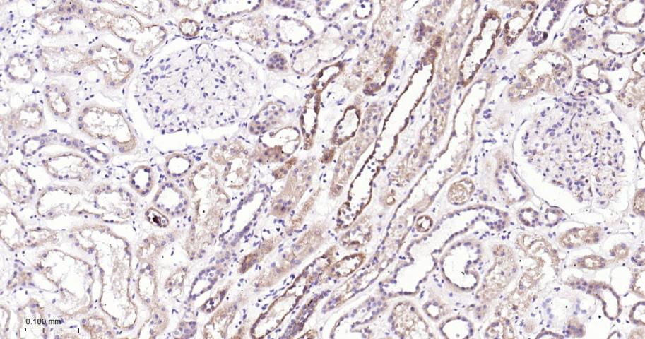
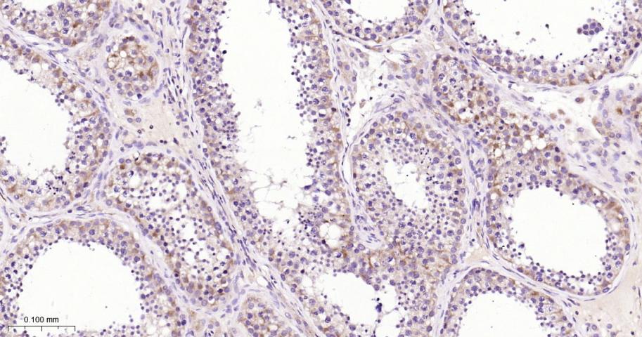
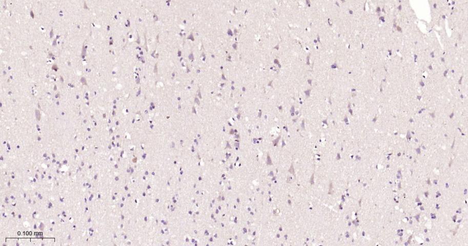
IHC-PHuman1:50-200
IHC-FHuman1:50-200
IFHuman1:50-200
Flow-CytHuman1:50-100
ICC/IFHuman1:50-200

交叉反应

交叉反应: Human

相关产品

暂无相关产品

靶标

基因名
ULK3
蛋白名
unc-51 like kinase 3
亚细胞定位
Cytoplasm.
组织特异性
Widely expressed. Highest levels observed in fetal brain. In adult tissues, high levels in brain, liver and kidney, moderate levels in testis and adrenal gland and low levels in heart, lung, stomach, thymus, prostate and placenta. In the brain, highest expression in the hippocampus, high levels also detected in the cerebellum, olfactory bulb and optice nerve. In the central nervous system, lowest levels in the spinal cord.
翻译后修饰
Autophosphorylated in vitro.
相似性
Belongs to the protein kinase superfamily. Ser/Thr protein kinase family. APG1/unc-51/ULK1 subfamily.
Contains 2 MIT domains.
Contains 1 protein kinase domain.
功能
Serine/threonine protein kinase which enhances GLI1 and GLI2 transcriptional activity and consequently positively regulates GLI-dependent SHH signaling. May exert this function by promoting GLI1 nuclear localization. Phosphorylates in vitro GLI2, as well as GLI1 and GLI3, although less efficiently.

标记抗体

暂无标记数据

同靶标产品

暂无同靶标产品

相关文献

提示: 发表研究结果有使用 bsm-61618R 时请让我们知道,以便我们可以引用参考文章。作为回馈,资料提供者将获得我们送上的小礼品。

暂无相关文献

常见问题

暂无常见问题