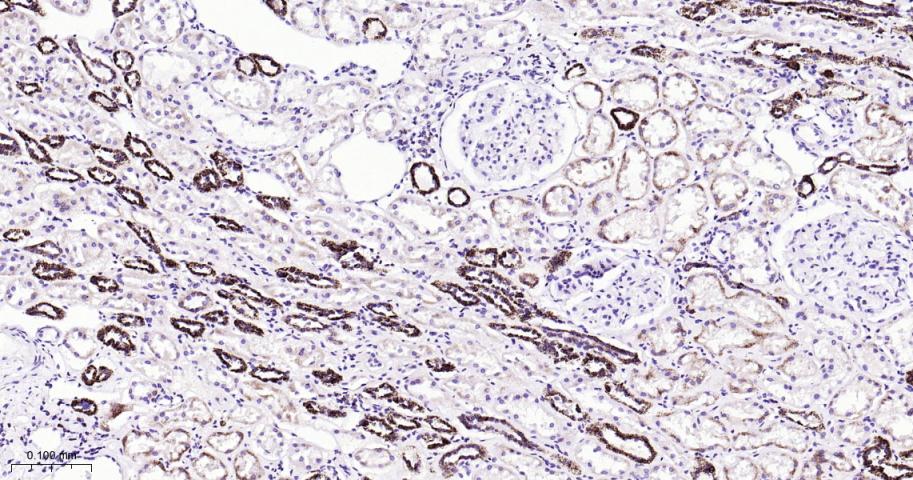
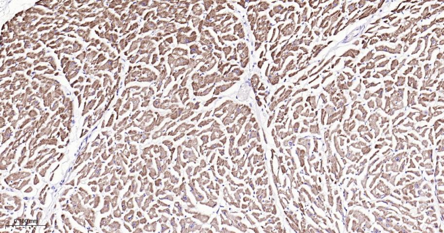
Cancer > Cell Death > Autophagy > APG gene products
Cancer > Cell Death > Autophagy > Signal Transduction
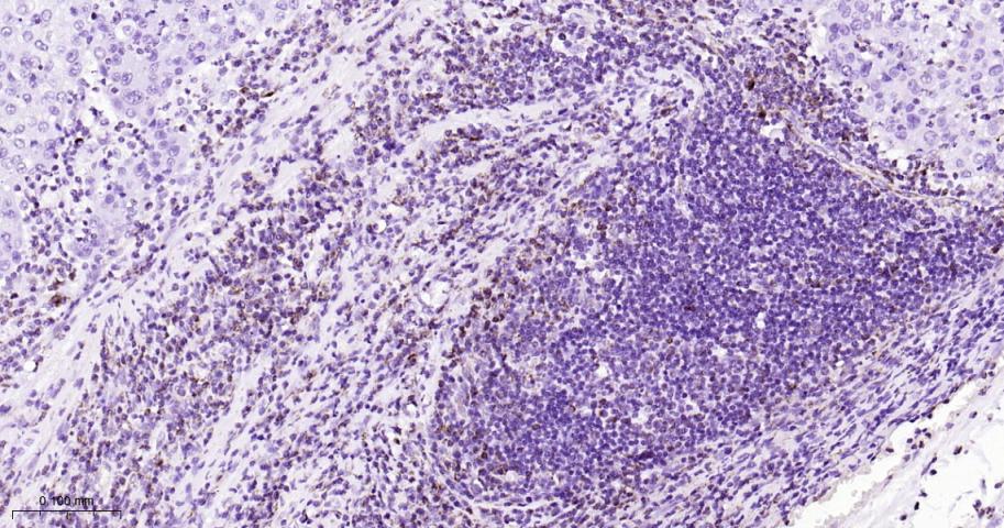
Cancer > Invasion/microenvironment > ECM > Extracellular matrix
Cancer > Signal transduction > Autophagy
Cardiovascular > Heart > Autophagy > APG gene products
Cell Biology > Proteolysis / Ubiquitin > Proteolytic enzymes > Other proteases
Metabolism > Pathways and Processes > Metabolism processes > Autophagy and mitophagy
Metabolism > Pathways and Processes > Metabolism processes > Autophagy and mitophagy > APG gene products











| 应用 | 已检合格种属 | 预测种属 | 推荐稀释比例 |
|---|---|---|---|
| WB | Human, Mouse, Rat | 1:500-2000 | |
| IHC-P | Human, Mouse, Rat | 1:50-200 | |
| IHC-F | Human, Mouse, Rat | 1:50-200 | |
| IF | Human, Mouse, Rat | 1:50-200 | |
| Flow-Cyt | Human, Mouse, Rat | 1:50-100 | |
| ICC/IF | Human | Mouse, Rat | 1:50-200 |
| IP | Human, Mouse, Rat | 1:20-50 |
交叉反应: Human, Mouse, Rat
暂无相关产品