CD55 Recombinant Rabbit mAb (一抗) - WB,IHC-P,IHC-F,IF | Bioss

Rrmab?兔单抗
2026-05-01~2026-06-30,AB2605
CD55 Recombinant Rabbit mAb (一抗) - WB,IHC-P,IHC-F,IF | Bioss
货号:bsm-61587R
产品详情
相关标记
相关产品
相关文献
常见问题

概述

产品编号
bsm-61587R
产品类型
重组兔单抗
英文名称
CD55 Recombinant Rabbit mAb
中文名称
衰变加速因子CD55重组兔单抗
英文别名
CHAPLE; CR; CROM; DAF; TC; DAF_HUMAN; CD55; CD55 molecule (Cromer blood group); decay accelerating factor for complement (CD55, Cromer blood group system); CD55 molecule, decay accelerating factor for complement (Cromer blood group)
抗体来源
Rabbit
免疫原
A synthesized peptide derived from human CD55: 100-150/381
亚型
IgG
性状
Liquid
纯化方法
affinity purified by Protein A
克隆类型
Recombinant
克隆号
3A5
理论分子量
41 kDa
检测分子量
70-75 kDa
储存液
10mM phosphate buffered saline(pH 7.4) with 150mM sodium chloride, 0.05% BSA, 0.02% Proclin300 and 50% glycerol.
SWISS
Gene ID
保存条件
Store at 4℃ for short term. Store at -20℃ for long term. Avoid repeated freeze/thaw cycles.
注意事项
This product as supplied is intended for research use only, not for use in human, therapeutic or diagnostic applications.
产品介绍
衰变加速因子(CD55)是血细胞膜上糖化磷脂酰肌醇(GPI)锚定蛋白,具有抑制补体系统激活,参与信号传递,有协助T淋巴细胞活化功能。
背景资料
This protein recognizes C4b and C3b fragments that condense with cell-surface hydroxyl or amino groups when nascent C4b and C3b are locally generated during C4 and c3 activation. Interaction of daf with cell-associated C4b and C3b polypeptides interferes with their ability to catalyze the conversion of C2 and factor B to enzymatically active C2a and Bb and thereby prevents the formation of C4b2a and C3bBb, the amplification convertases of the complement cascade
衰变加速因子CD55重组兔单抗-bsm-61587R衰变加速因子CD55重组兔单抗-bsm-61587R衰变加速因子CD55重组兔单抗-bsm-61587R衰变加速因子CD55重组兔单抗-bsm-61587R

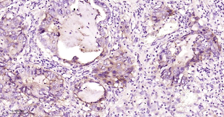
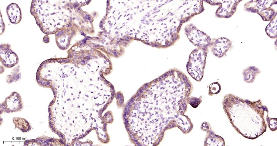
产品应用

应用已检合格种属预测种属推荐稀释比例
WBHuman1:500-2000
IHC-PHuman1:50-200
IHC-FHuman1:50-200
IFHuman1:50-200

交叉反应

交叉反应: Human

相关产品

暂无相关产品

靶标

基因名
CD55
蛋白名
Complement decay-accelerating factor
亚基
Monomer (major form) and non-disulfide-linked, covalent homodimer (minor form). Binds to coxsackievirus A21, coxsackieviruses B1, B3 and B5, human enterovirus 70, human echoviruses 6, 7, 11, 12, 20 and 21 capsid proteins and acts as a receptor for these viruses.
亚细胞定位
Isoform 1: Cell membrane; Single-pass type I membrane protein.
Isoform 2: Cell membrane; Lipid-anchor, GPI-anchor.
组织特异性
Expressed on the plasma membranes of all cell types that are in intimate contact with plasma complement proteins. It is also found on the surfaces of epithelial cells lining extracellular compartments, and variants of the molecule are present in body fluids and in extracellular matrix.
翻译后修饰
The Ser/Thr-rich domain is heavily O-glycosylated.
相似性
Belongs to the receptors of complement activation (RCA) family.
Contains 4 Sushi (CCP/SCR) domains.
功能
This protein recognizes C4b and C3b fragments that condense with cell-surface hydroxyl or amino groups when nascent C4b and C3b are locally generated during C4 and c3 activation. Interaction of daf with cell-associated C4b and C3b polypeptides interferes with their ability to catalyze the conversion of C2 and factor B to enzymatically active C2a and Bb and thereby prevents the formation of C4b2a and C3bBb, the amplification convertases of the complement cascade.

同靶标产品

相关文献

提示: 发表研究结果有使用 bsm-61587R 时请让我们知道,以便我们可以引用参考文章。作为回馈,资料提供者将获得我们送上的小礼品。

常见问题