凋亡相关蛋白4重组兔单抗

Rrmab?兔单抗
2026-03-02~2026-04-30,KXJ26032026-03-02~2026-04-30,促销赠品
凋亡相关蛋白4重组兔单抗
货号:bsm-61534R
产品详情
相关标记
相关产品
相关文献
常见问题

概述

产品编号
bsm-61534R
产品类型
重组兔单抗、mIHC精品抗体
英文名称
PDCD4 Recombinant Rabbit mAb
中文名称
凋亡相关蛋白4重组兔单抗
英文别名
H731; D19Ucla1; Ma3; Tis; Dug; PDCD4_HUMAN; PDCD4; Neoplastic transformation inhibitor protein; Nuclear antigen H731-like; Protein 197/15a; PDCD4_MOUSE; Protein MA-3; Topoisomerase-inhibitor suppressed protein; PDCD4_RAT; Death up-regulated gene protein;
抗体来源
Rabbit
免疫原
A synthesized peptide derived from human PDCD4: 400-469
亚型
IgG
性状
Liquid
纯化方法
affinity purified by Protein A
克隆类型
Recombinant
克隆号
17B8
理论分子量
52 kDa
检测分子量
52 kDa
储存液
10mM phosphate buffered saline(pH 7.4) with 150mM sodium chloride, 0.05% BSA, 0.02% Proclin300 and 50% glycerol.
SWISS
Gene ID
保存条件
Store at 4℃ for short term. Store at -20℃ for long term. Avoid repeated freeze/thaw cycles.
注意事项
This product as supplied is intended for research use only, not for use in human, therapeutic or diagnostic applications.
产品介绍
程序性细胞死亡因子4是近期发现一种新的抑癌基因,在很多肿瘤组织中有不同的表达。
背景资料
Inhibits translation initiation and cap-dependent translation. May excert its function by hindering the interaction between EIF4A1 and EIF4G. Inhibits the helicase activity of EIF4A. Modulates the activation of JUN kinase. Down-regulates the expression of MAP4K1, thus inhibiting events important in driving invasion, namely, MAPK85 activation and consequent JUN-dependent transcription.
凋亡相关蛋白4重组兔单抗凋亡相关蛋白4重组兔单抗凋亡相关蛋白4重组兔单抗凋亡相关蛋白4重组兔单抗凋亡相关蛋白4重组兔单抗凋亡相关蛋白4重组兔单抗凋亡相关蛋白4重组兔单抗凋亡相关蛋白4重组兔单抗

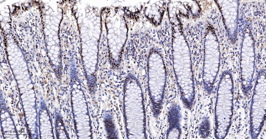
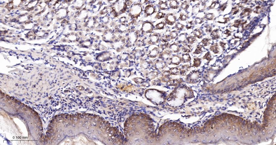
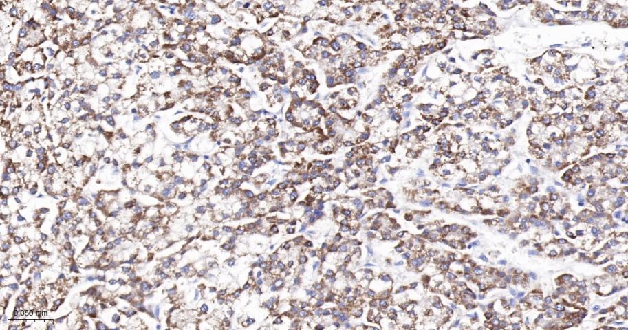
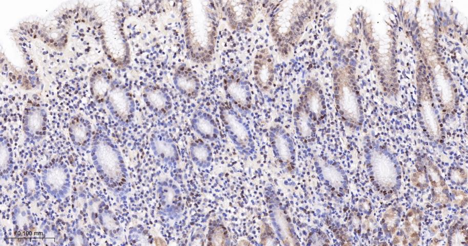
产品应用

应用已检合格种属预测种属推荐稀释比例
WBHuman, Mouse1:500-2000
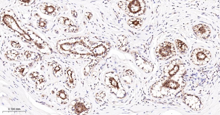
IHC-PHuman, Mouse1:100-500
IHC-FHuman, Mouse1:100-500
IFHuman, Mouse1:100-500
Flow-CytHuman, Mouse1:50-100
ICC/IFHuman, Mouse1:50-200

交叉反应

交叉反应: Human, Mouse

相关产品

暂无相关产品

靶标

基因名
PDCD4
蛋白名
Programmed cell death protein 4
亚基
Interacts (via MI domains) with EIF4A2 (By similarity). Interacts (via MI domains) with EIF4A1 (via N-terminal domain). Heterotrimer with EIF4A1; one molecule of PDCD4 binds two molecules of EIF4A1. Interacts with EIF4G1. May form a complex with EIF4A1 and EIF4G1. The interaction between PDCD4 and EIF4A1 interferes with the interaction between EIF4A1 and EIF4G. When phosphorylated, interacts with BTRC and FBXW11.
亚细胞定位
Nucleus. Cytoplasm. Shuttles between the nucleus and cytoplasm. Predominantly nuclear under normal growth conditions, and when phosphorylated at Ser-457. Exported from the nucleus in the absence of serum.
组织特异性
Up-regulated in proliferative cells. Highly expressed in epithelial cells of the mammary gland. Reduced expression in lung cancer and colon carcinoma.
翻译后修饰
Polyubiquitinated, leading to its proteasomal degradation. Rapidly degraded in response to mitogens. Phosphorylation of the phosphodegron promotes interaction with BTRC and proteasomal degradation.
相似性
Belongs to the PDCD4 family.
Contains 2 MI domains.
功能
Inhibits translation initiation and cap-dependent translation. May excert its function by hindering the interaction between EIF4A1 and EIF4G. Inhibits the helicase activity of EIF4A. Modulates the activation of JUN kinase. Down-regulates the expression of MAP4K1, thus inhibiting events important in driving invasion, namely, MAPK85 activation and consequent JUN-dependent transcription. May play a role in apoptosis. Tumor suppressor. Inhibits tumor promoter-induced neoplastic transformation. Binds RNA.

标记抗体

暂无标记数据

同靶标产品

暂无同靶标产品

相关文献

提示: 发表研究结果有使用 bsm-61534R 时请让我们知道,以便我们可以引用参考文章。作为回馈,资料提供者将获得我们送上的小礼品。

暂无相关文献

常见问题

暂无常见问题