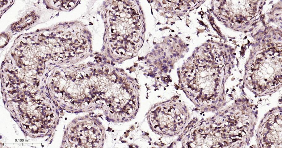
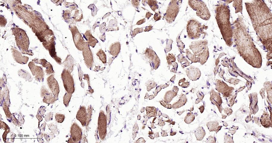
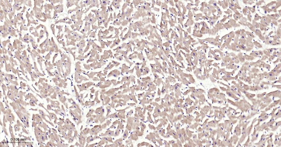
Cancer > Cell Death > Autophagy > APG gene products
Cancer > Cell Death > Autophagy > Signal Transduction
Cancer > Oncoproteins/suppressors > Oncoproteins > Cell survival & death
Cancer > Signal transduction > Autophagy
Cardiovascular > Heart > Autophagy > APG gene products
Cell Biology > Proteolysis / Ubiquitin > Proteolytic enzymes > Other proteases
Metabolism > Pathways and Processes > Metabolism processes > Autophagy and mitophagy
Metabolism > Pathways and Processes > Metabolism processes > Autophagy and mitophagy > APG gene products





| 应用 | 已检合格种属 | 预测种属 | 推荐稀释比例 |
|---|---|---|---|
| WB | Human | 1:500-2000 | |
| IHC-P | Human | 1:50-200 | |
| IHC-F | Human | 1:50-200 | |
| IF | Human | 1:50-200 | |
| ICC/IF | Human | 1:50-200 |
交叉反应: Human
暂无相关产品