CD276重组兔单抗

Rrmab?兔单抗
2026-03-02~2026-04-30,KXJ26032026-03-02~2026-04-30,促销赠品
CD276重组兔单抗
货号:bsm-61503R
产品详情
相关标记
相关产品
相关文献
常见问题

概述

产品编号
bsm-61503R
产品类型
重组兔单抗
英文名称
B7-H3/CD276 Recombinant Rabbit mAb
中文名称
CD276重组兔单抗
英文别名
4Ig-B7-H3; B7-H3; B7H3; B7RP-2; CD276_HUMAN; CD276; B7 homolog 3 (B7-H3); Costimulatory molecule;
抗体来源
Rabbit
免疫原
A synthesized peptide derived from human CD276: 1-534/534
亚型
IgG
性状
Liquid
纯化方法
affinity purified by Protein A
克隆类型
Recombinant
克隆号
10H12
理论分子量
57 kDa
检测分子量
100 kDa
储存液
10mM phosphate buffered saline(pH 7.4) with 150mM sodium chloride, 0.05% BSA, 0.02% Proclin300 and 50% glycerol.
SWISS
Gene ID
保存条件
Store at 4℃ for short term. Store at -20℃ for long term. Avoid repeated freeze/thaw cycles.
注意事项
This product as supplied is intended for research use only, not for use in human, therapeutic or diagnostic applications.
产品介绍
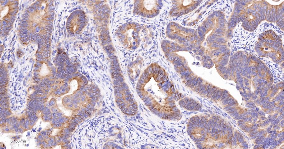
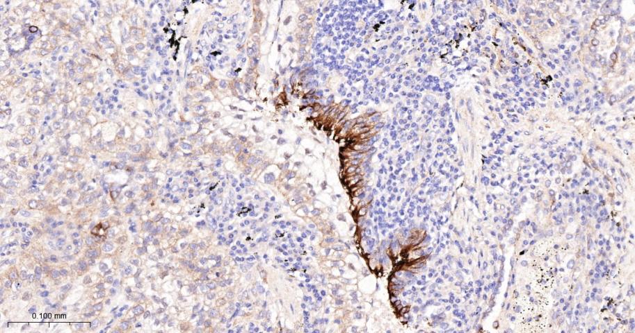
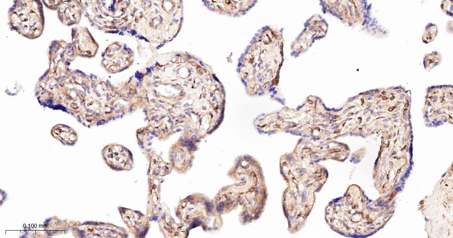
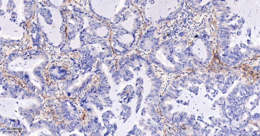
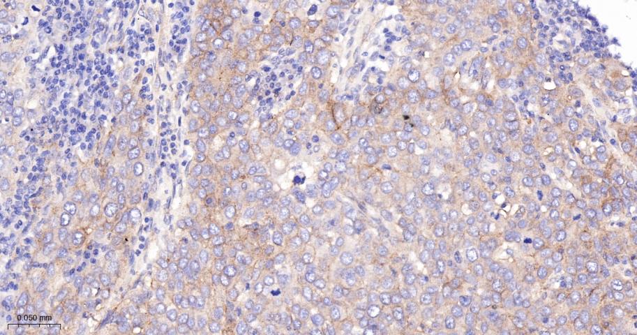
研究人员检测CD276在癌症患者来源的内皮细胞中的表达情况,在结肠癌、肺癌、乳腺癌、食道癌和膀胱癌的肿瘤相关血管细胞中发现CD276过量表达,而且这些蛋白在肿瘤细胞本身也过量表达。
背景资料
May participate in the regulation of T-cell-mediated immune response. May play a protective role in tumor cells by inhibiting natural-killer mediated cell lysis as well as a role of marker for detection of neuroblastoma cells. May be involved in the development of acute and chronic transplant rejection and in the regulation of lymphocytic activity at mucosal surfaces.
CD276重组兔单抗CD276重组兔单抗CD276重组兔单抗CD276重组兔单抗CD276重组兔单抗CD276重组兔单抗CD276重组兔单抗CD276重组兔单抗

产品应用

应用已检合格种属预测种属推荐稀释比例
WBHuman1:500-2000
IHC-PHuman1:50-200
IHC-FHuman1:50-200
IFHuman1:50-200
Flow-CytHuman1:50-100
ICC/IFHuman1:50-200
IPHuman1:25-100

交叉反应

交叉反应: Human

相关产品

暂无相关产品

靶标

基因名
CD276
蛋白名
CD276 antigen
亚基
Interacts with TREML2 and this interaction enhances T-cell activation.
亚细胞定位
Membrane; Single-pass type I membrane protein (Probable).
组织特异性
Ubiquitous but not detectable in peripheral blood lymphocytes or granulocytes. Weakly expressed in resting monocytes. Expressed in dendritic cells derived from monocytes. Expressed in epithelial cells of sinonasal tissue. Expressed in extravillous trophoblast cells and Hofbauer cells of the first trimester placenta and term placenta.
相似性
Belongs to the immunoglobulin superfamily. BTN/MOG family.
Contains 2 Ig-like C2-type (immunoglobulin-like) domains.
Contains 2 Ig-like V-type (immunoglobulin-like) domains.
功能
May participate in the regulation of T-cell-mediated immune response. May play a protective role in tumor cells by inhibiting natural-killer mediated cell lysis as well as a role of marker for detection of neuroblastoma cells. May be involved in the development of acute and chronic transplant rejection and in the regulation of lymphocytic activity at mucosal surfaces. Could also play a key role in providing the placenta and fetus with a suitable immunological environment throughout pregnancy. Both isoform 1 and isoform 2 appear to be redundant in their ability to modulate CD4 T-cell responses. Isoform 2 is shown to enhance the induction of cytotoxic T-cells and selectively stimulates interferon gamma production in the presence of T-cell receptor signaling.

标记抗体

暂无标记数据

同靶标产品

暂无同靶标产品

相关文献

提示: 发表研究结果有使用 bsm-61503R 时请让我们知道,以便我们可以引用参考文章。作为回馈,资料提供者将获得我们送上的小礼品。

暂无相关文献

常见问题

暂无常见问题