Cancer > Cancer Metabolism > Metabolic signaling pathway > Metabolism of carbohydrates
Cardiovascular > Atherosclerosis > Diabetes associated
Cardiovascular > Heart > Cardiac metabolism
Metabolism > Pathways and Processes > Metabolic signaling pathways > Carbohydrate metabolism
Metabolism > Pathways and Processes > Metabolic signaling pathways > Energy transfer pathways > Energy Metabolism
Metabolism > Types of disease > Diabetes







| 应用 | 已检合格种属 | 预测种属 | 推荐稀释比例 |
|---|---|---|---|
| WB | Human | 1:500-2000 | |
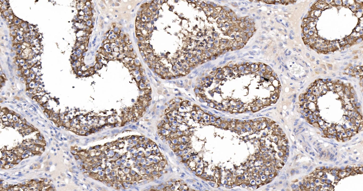
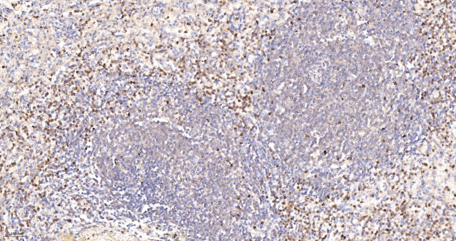
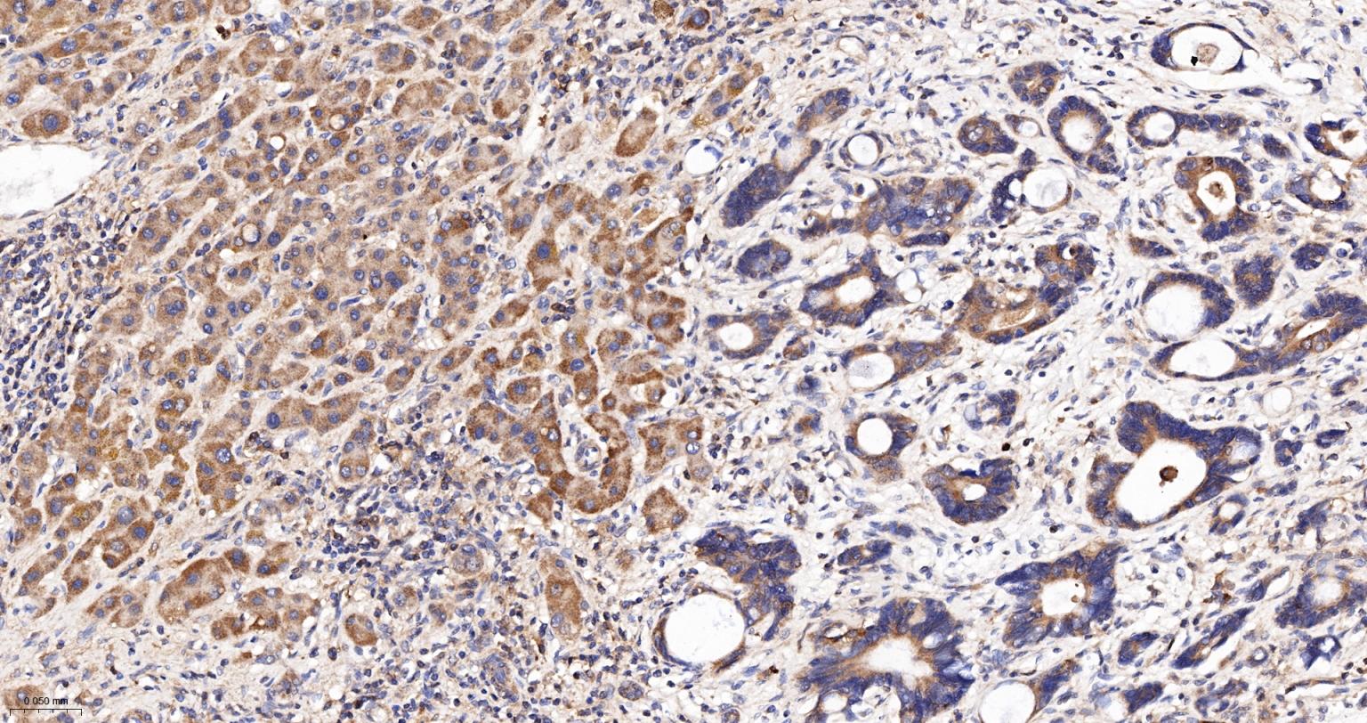
| IHC-P | Human | 1:200-500 | |
| IHC-F | Human | 1:200-500 | |
| IF | Human | 1:200-500 | |
| Flow-Cyt | Human | 1:50-100 |
交叉反应: Human
暂无相关产品
暂无标记数据
暂无同靶标产品
暂无相关文献
暂无常见问题