葡萄糖调节蛋白94重组兔单抗

Rrmab?兔单抗
2026-03-02~2026-04-30,KXJ26032026-03-02~2026-04-30,促销赠品
葡萄糖调节蛋白94重组兔单抗
货号:bsm-61455R
产品详情
相关标记
相关产品
相关文献
常见问题

概述

产品编号
bsm-61455R
产品类型
重组兔单抗、mIHC精品抗体
英文名称
GRP94 Recombinant Rabbit mAb
中文名称
葡萄糖调节蛋白94重组兔单抗
英文别名
ECGP; GP96; GRP94; HEL-S-125m; HEL35; TRA1; ERp99; TA-3; Targ2; Tra-1; endoplasmin; ENPL_HUMAN; HSP90B1; 94 kDa glucose-regulated protein (GRP-94); Heat shock protein 90 kDa beta member 1; Heat shock protein family C member 4; Tumor rejection antigen 1; gp96 homolog; 3.6.4.-; HSPC4; ENPL_MOUSE; Endoplasmic reticulum resident protein 99 (ERp99); Polymorphic tumor rejection antigen 1; Tumor rejection antigen gp96;
抗体来源
Rabbit
免疫原
A synthesized peptide derived from human Hsp90 beta 1: 671-730
亚型
IgG
性状
Liquid
纯化方法
affinity purified by Protein A
克隆类型
Recombinant
克隆号
9B6
理论分子量
92 kDa
检测分子量
94 kDa
储存液
10mM phosphate buffered saline(pH 7.4) with 150mM sodium chloride, 0.05% BSA, 0.02% Proclin300 and 50% glycerol.
SWISS
Gene ID
保存条件
Store at 4℃ for short term. Store at -20℃ for long term. Avoid repeated freeze/thaw cycles.
注意事项
This product as supplied is intended for research use only, not for use in human, therapeutic or diagnostic applications.
产品介绍
GRP94(G蛋白偶联受体94)蛋白又称GP96属于热休克蛋白90家组成员。由二硫键连接的同源二具体表达在内质网腔。内质网分子伴侣Grp94在正常细胞的内质网腔中含量较高,Grp94在内质网生成、并存留在内质网中,其表达与多种因素有关,各种应激条件下可见其表达明显增高。细胞周期也是常见的影响细胞增殖的因素之一,因此细胞增殖过程中Grp94的表达情况具有重要意义。Grp94与细胞周期有关。
背景资料
Molecular chaperone that functions in the processing and transport of secreted proteins. When associated with CNPY3, required for proper folding of Toll-like receptors. Functions in endoplasmic reticulum associated degradation (ERAD).
葡萄糖调节蛋白94重组兔单抗葡萄糖调节蛋白94重组兔单抗葡萄糖调节蛋白94重组兔单抗葡萄糖调节蛋白94重组兔单抗葡萄糖调节蛋白94重组兔单抗葡萄糖调节蛋白94重组兔单抗葡萄糖调节蛋白94重组兔单抗葡萄糖调节蛋白94重组兔单抗葡萄糖调节蛋白94重组兔单抗葡萄糖调节蛋白94重组兔单抗葡萄糖调节蛋白94重组兔单抗葡萄糖调节蛋白94重组兔单抗葡萄糖调节蛋白94重组兔单抗葡萄糖调节蛋白94重组兔单抗葡萄糖调节蛋白94重组兔单抗

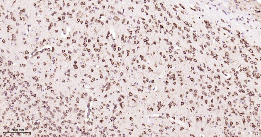
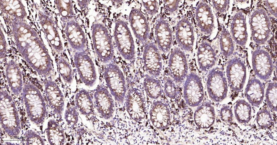
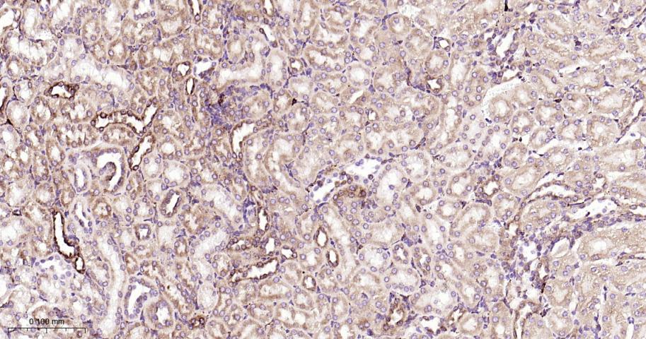
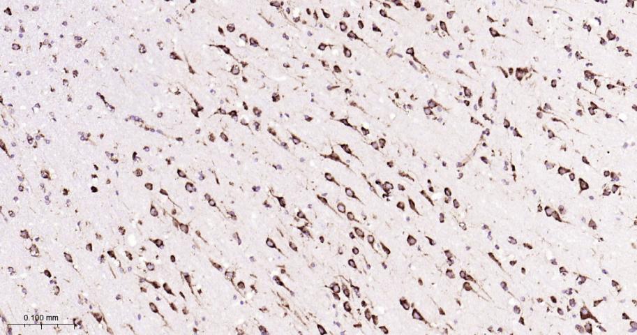
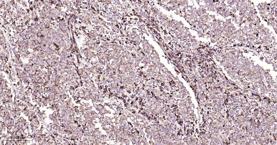
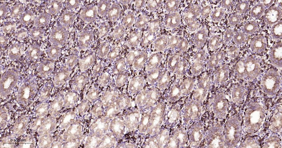
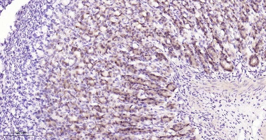
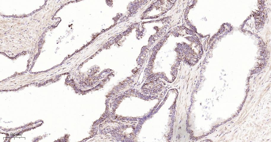
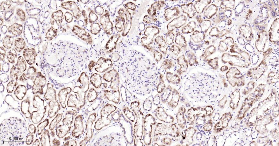
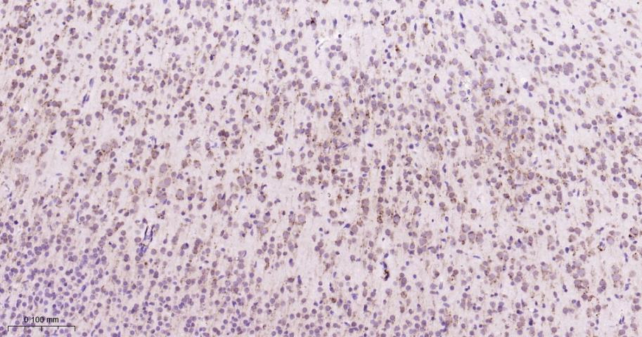
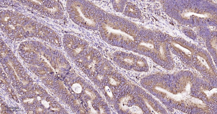
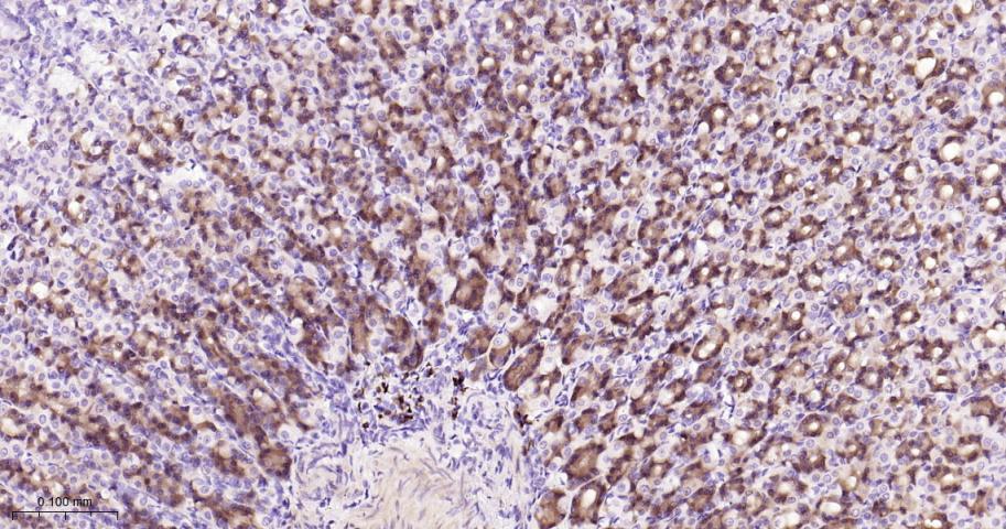
产品应用

应用已检合格种属预测种属推荐稀释比例
WBHuman, MouseRat1:500-2000
IHC-PHuman, Mouse, Rat1:100-500
IHC-FHuman, Mouse, Rat1:100-500
IFHuman, Mouse, Rat1:100-500
ICC/IFHuman, Mouse, Rat1:50-200

交叉反应

交叉反应: Human, Mouse, Rat

相关产品

暂无相关产品

靶标

基因名
HSP90B1
蛋白名
Endoplasmin
亚基
Homodimer; disulfide-linked. Component of an EIF2 complex at least composed of CELF1/CUGBP1, CALR, CALR3, EIF2S1, EIF2S2, HSP90B1 and HSPA5 (By similarity). Part a large chaperone multiprotein complex comprising DNAJB11, HSP90B1, HSPA5, HYOU, PDIA2, PDIA4, PDIA6, PPIB, SDF2L1, UGT1A1 and very small amounts of ERP29, but not, or at very low levels, CALR nor CANX. Interacts with AIMP1; regulates its retention in the endoplasmic reticulum. Interacts with OS9. Interacts with CNPY3. This interaction is disrupted in the presence of ATP (By similarity). Interacts with TLR4 and TLR9, but not with TLR3.
亚细胞定位
Endoplasmic reticulum lumen. Melanosome. Note=Identified by mass spectrometry in melanosome fractions from stage I to stage IV.
相似性
Belongs to the heat shock protein 90 family.
功能
Molecular chaperone that functions in the processing and transport of secreted proteins. When associated with CNPY3, required for proper folding of Toll-like receptors. Functions in endoplasmic reticulum associated degradation (ERAD). Has ATPase activity.

标记抗体

暂无标记数据

同靶标产品

暂无同靶标产品

相关文献

提示: 发表研究结果有使用 bsm-61455R 时请让我们知道,以便我们可以引用参考文章。作为回馈,资料提供者将获得我们送上的小礼品。

暂无相关文献

常见问题

暂无常见问题