Cancer > Invasion/microenvironment > Angiogenesis > ECM enzymes > Cathespins
Cancer > Invasion/microenvironment > ECM > Cell adhesion
Cancer > Invasion/microenvironment > ECM > Extracellular matrix
Kits/ Lysates/ Other > Kits > ELISA Kits > ELISA Kits > Adhesion molecules ELISA kits
Neuroscience > Cell Adhesion Proteins > Membrane Proteins
Signal Transduction > Cytoskeleton / ECM > Extracellular Matrix > ECM Enzymes > Other Enzymes









| 应用 | 已检合格种属 | 预测种属 | 推荐稀释比例 |
|---|---|---|---|
| WB | Human | 1:1000-2000 | |
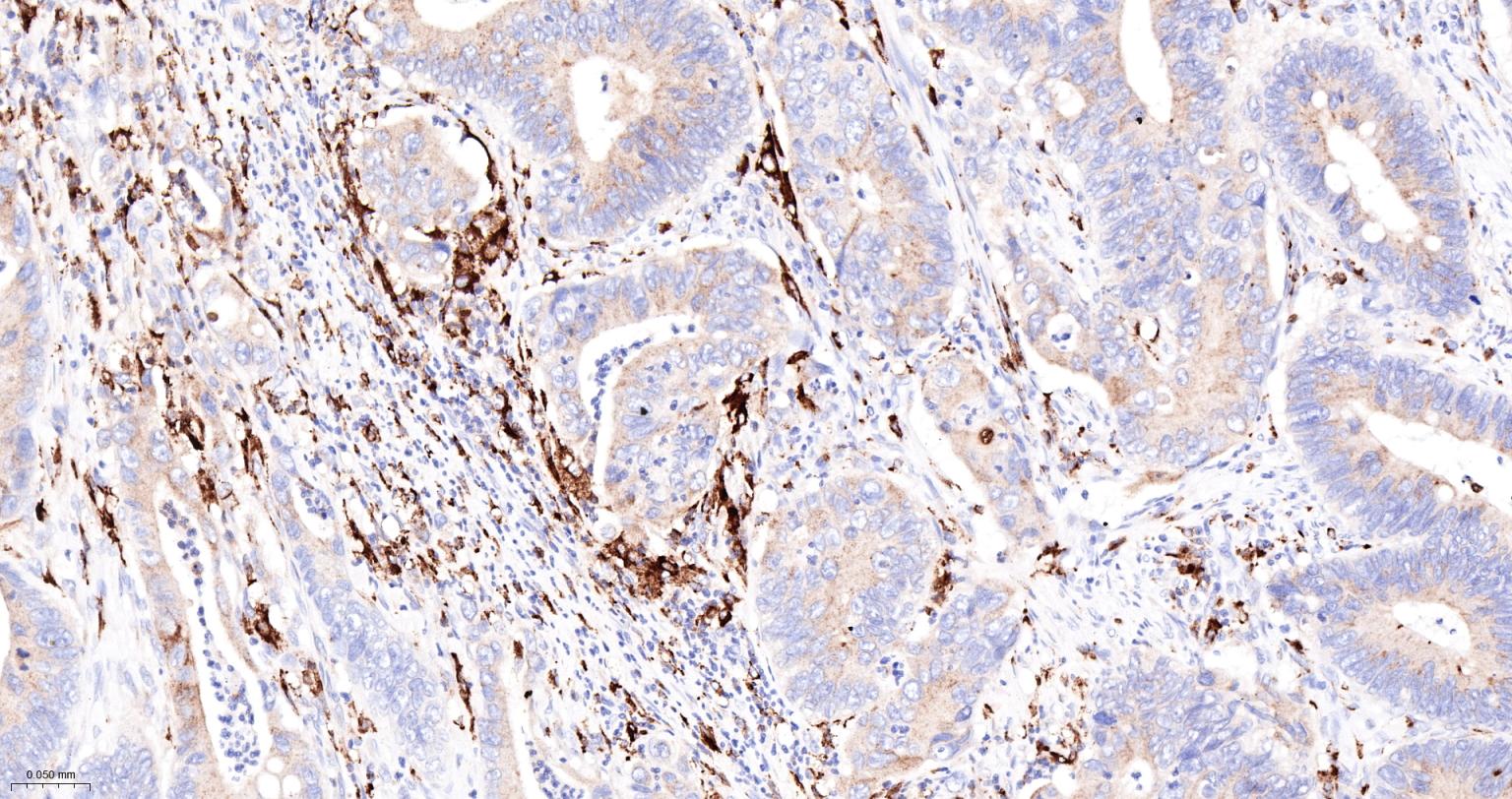
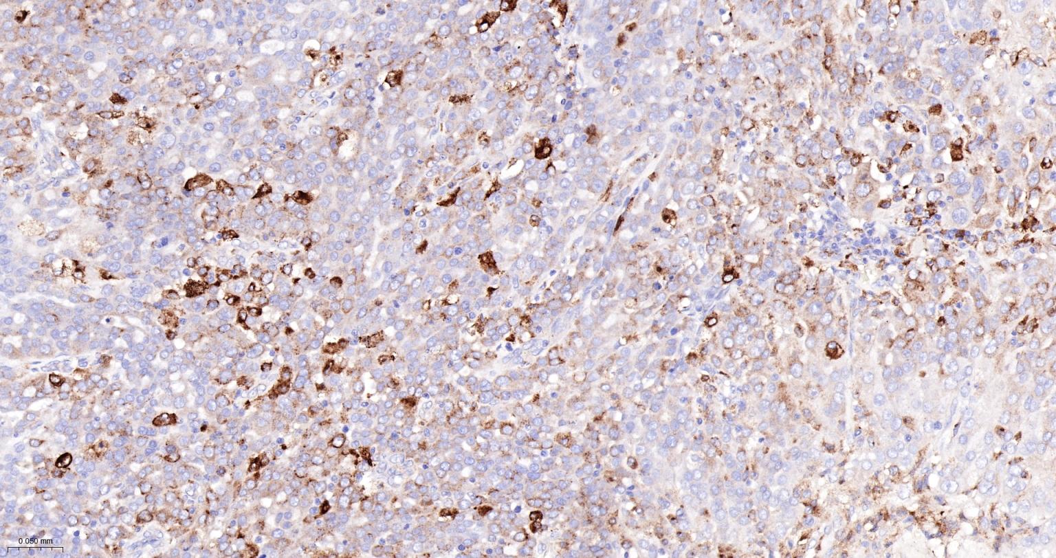
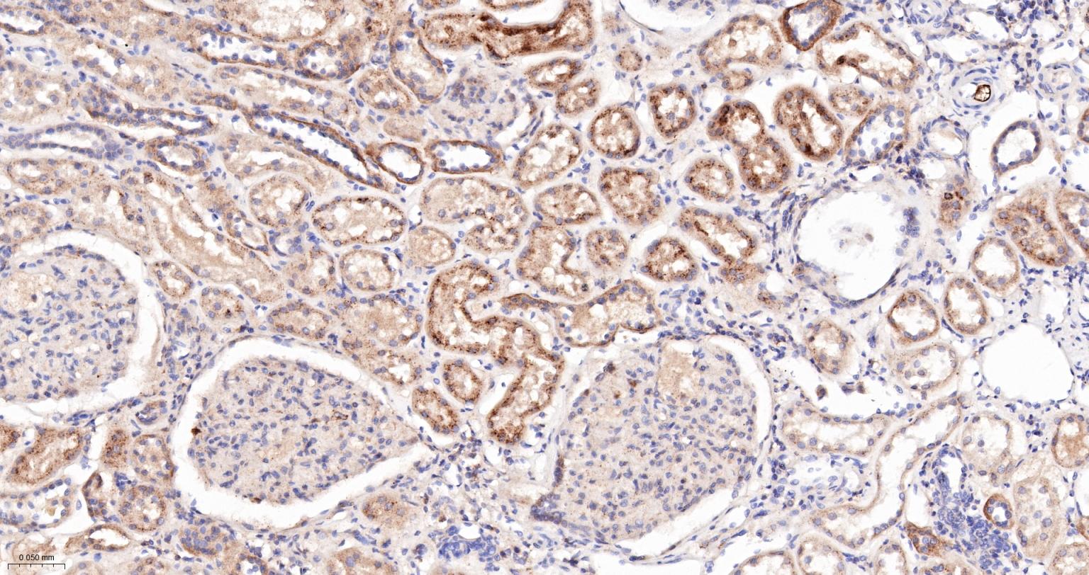
| IHC-P | Human | 1:100-500 | |
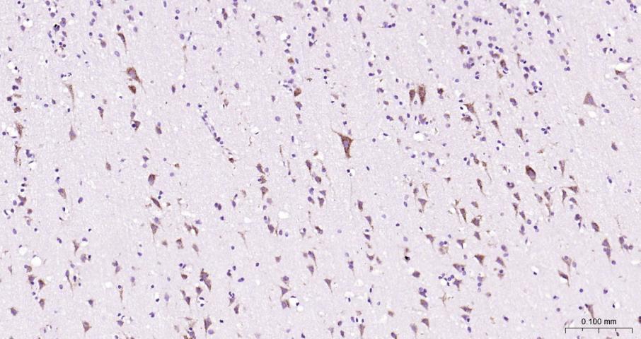
| IHC-F | Human | 1:100-500 | |
| IF | Human | 1:100-500 | |
| ICC/IF | Human | 1:50-200 | |
| IP | Human | 1:20-50 |
交叉反应: Human
暂无相关产品
暂无标记数据
暂无同靶标产品
暂无相关文献
暂无常见问题