Cancer > Cancer Metabolism > Response to hypoxia
Cancer > Cell Death > Apoptosis > Metabolism
Cancer > Cell Death > Apoptosis > Mitochondrial
Cardiovascular > Heart > Apoptosis
Cell Biology > Apoptosis > Intracellular > Bcl2 Family
Cell Biology > Apoptosis > Mitochondrial
Metabolism > Pathways and Processes > Metabolism processes > Apoptosis
Metabolism > Pathways and Processes > Metabolism processes > Hypoxia
Metabolism > Pathways and Processes > Mitochondrial Metabolism > Mitochondrial markers
Metabolism > Types of disease > Cancer
Microbiology > Interspecies Interaction > Host Virus Interaction












| 应用 | 已检合格种属 | 预测种属 | 推荐稀释比例 |
|---|---|---|---|
| WB | Human | Mouse, Rat | 1:500-2000 |
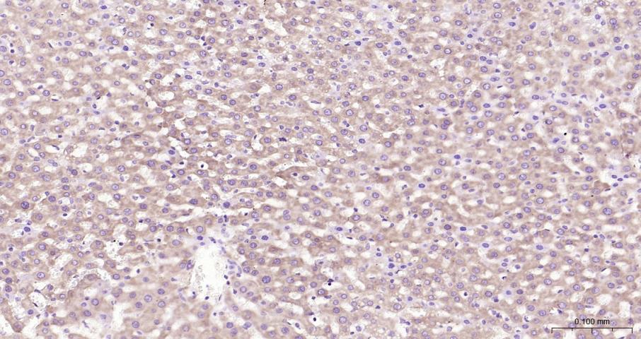
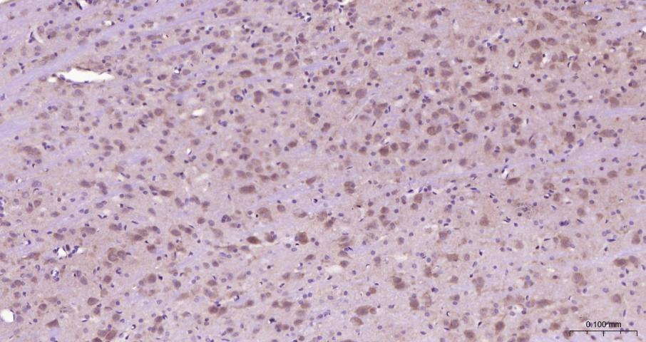
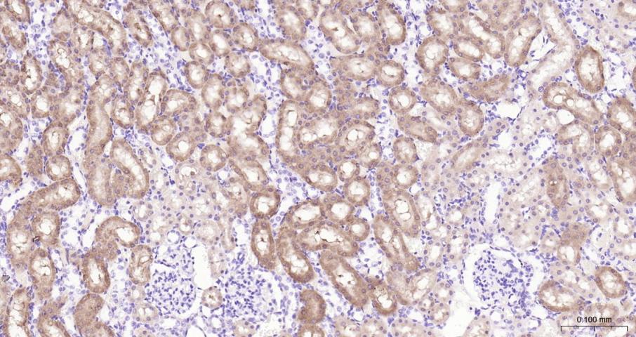
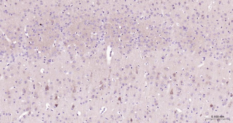
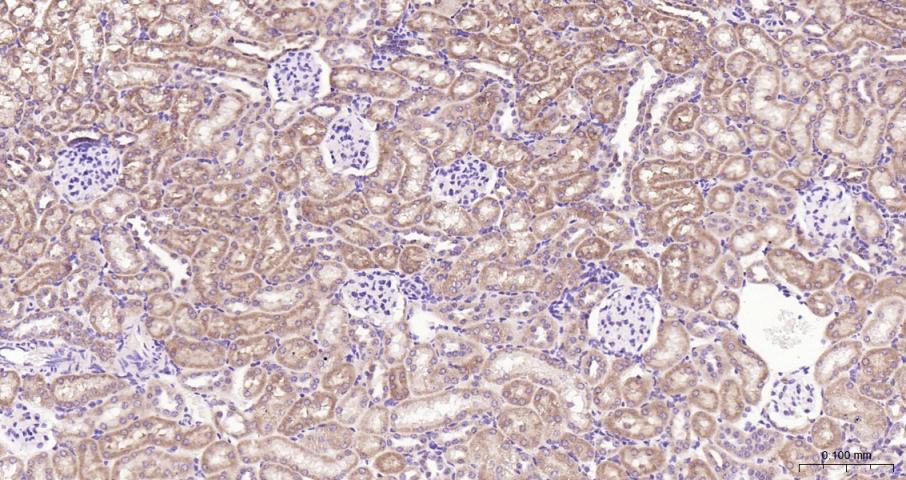
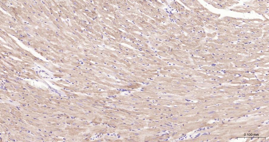
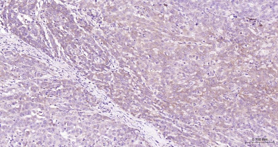
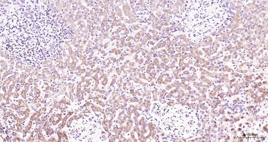
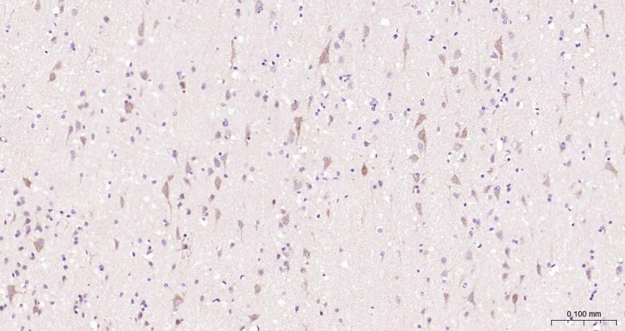
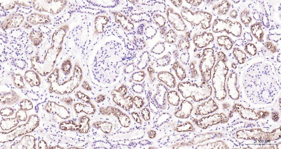
| IHC-P | Human, Mouse, Rat | 1:50-200 | |
| IHC-F | Human, Mouse, Rat | 1:50-200 | |
| IF | Human, Mouse, Rat | 1:50-200 | |
| ICC/IF | Human, Mouse, Rat | 1:50-200 |
交叉反应: Human, Mouse, Rat
暂无相关产品
暂无标记数据
暂无同靶标产品
暂无相关文献
暂无常见问题