












| 应用 | 已检合格种属 | 预测种属 | 推荐稀释比例 |
|---|---|---|---|
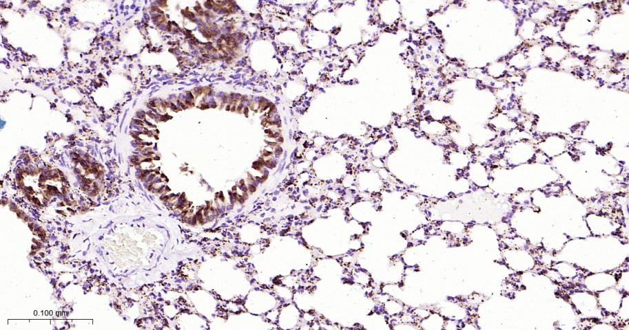
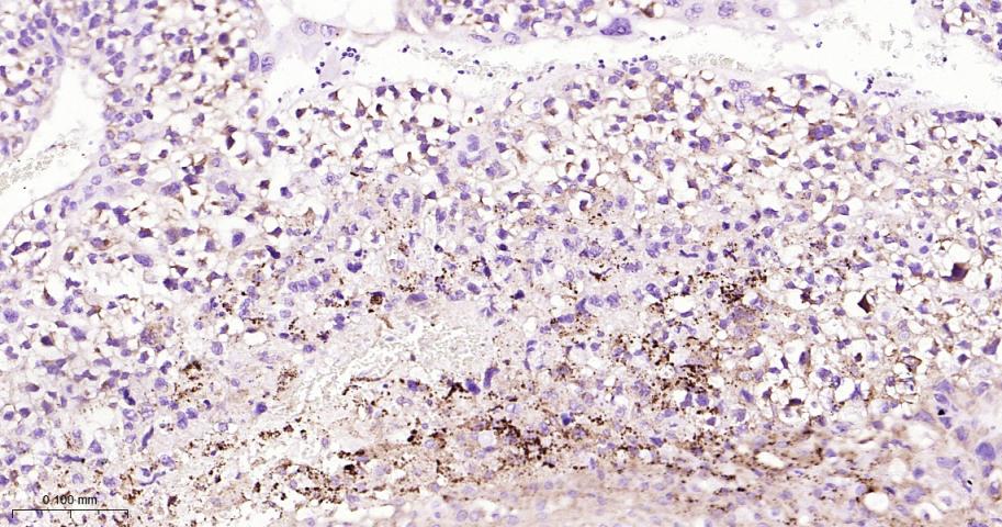
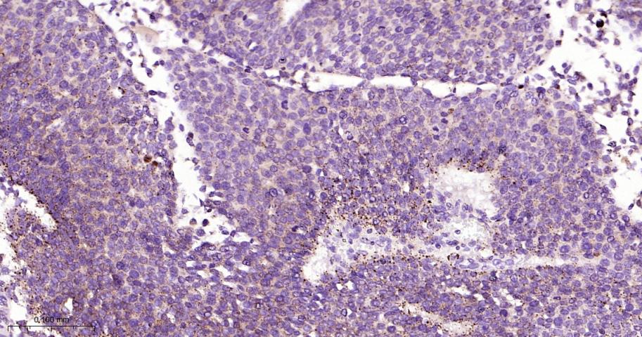
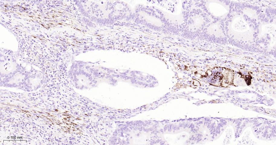
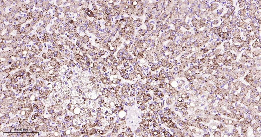
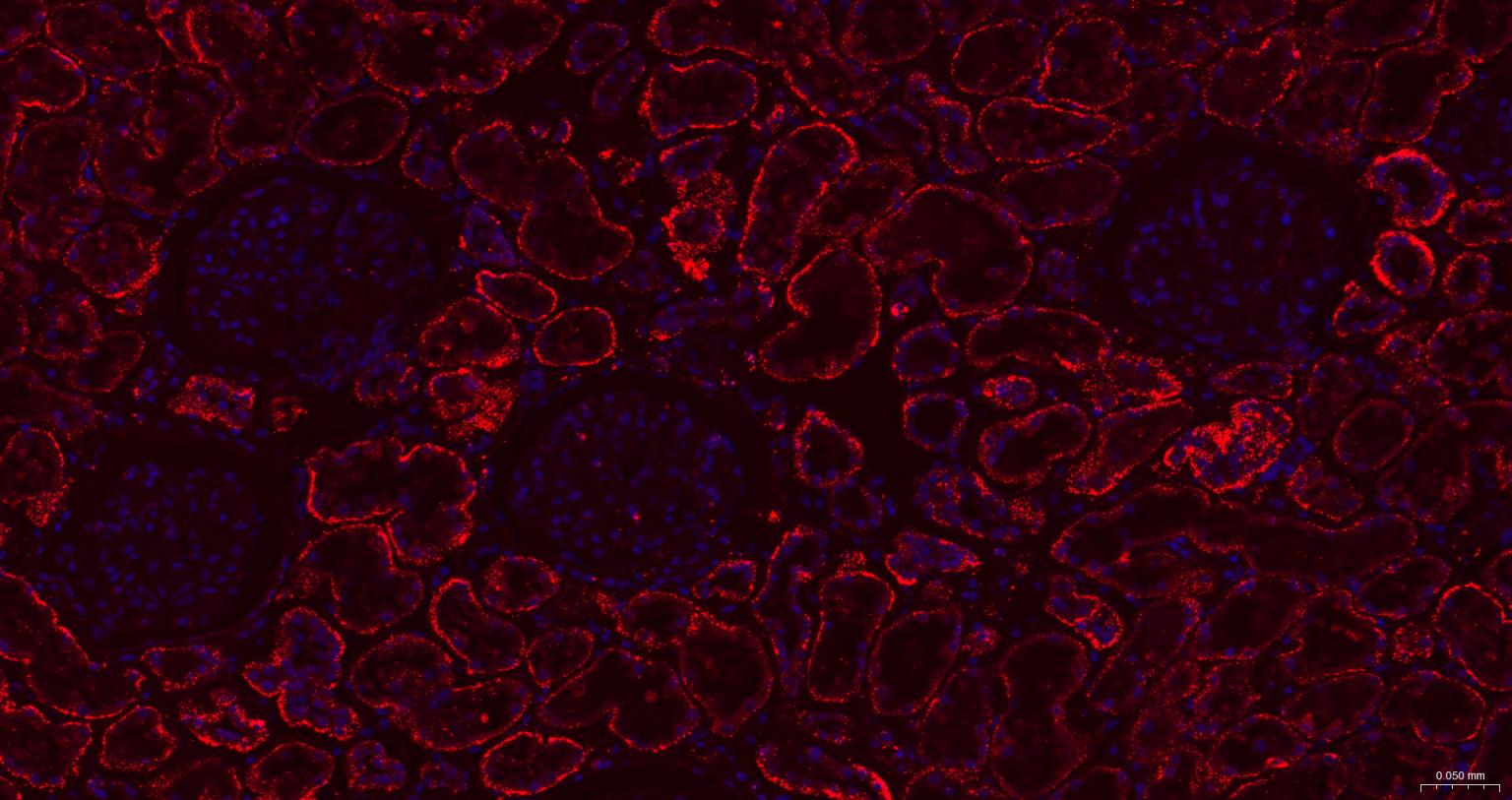
| IHC-P | Human, Mouse | 1:50-200 | |
| IHC-F | Human, Mouse | 1:50-200 | |
| IF | Human, Mouse | 1:50-200 |
交叉反应: Human, Mouse
暂无相关产品
Dimer of a heavy and a light chain linked by disulfide bonds (Probable). Interacts with Long isoform of CD74/Ii chain; the interaction stabilizes the conformation of mature CTSL (PubMed:11483509, PubMed:12417635).
Lysosome.
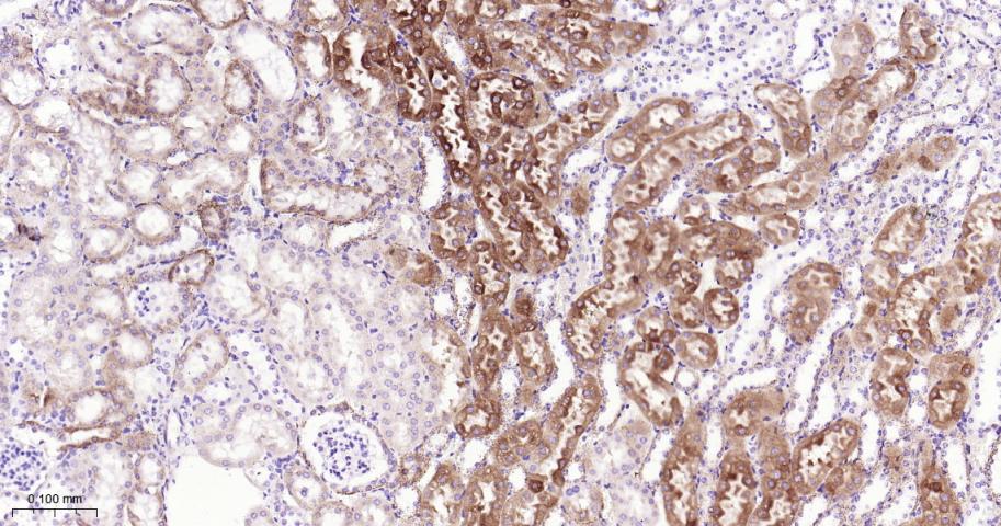
Expressed in thymus, kidney and liver (PubMed:9545226).
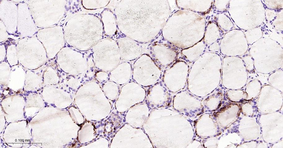
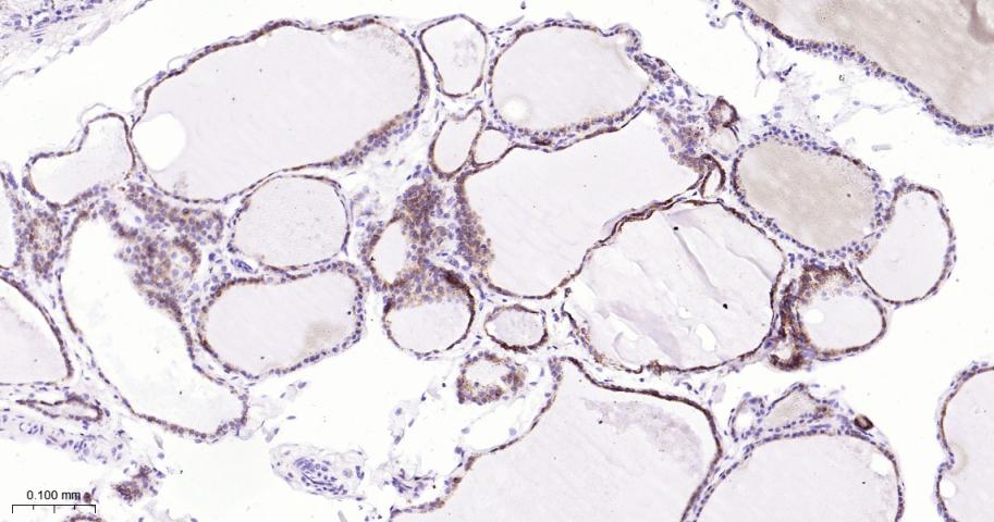
Expressed in thyroid epithelial cells. Expressed in cortical thymic epithelial cells (PubMed:9545226).
Expressed by antigen presenting cells (APCs) such as dendritic cells and macrophages (PubMed:11483509, PubMed:12417635).
During export along the endocytic pathway, pro-CTSL undergoes several proteolytic cleavages to generate the CTSL single-chain and two-chain mature forms, composed of a heavy chain linked to a light chain by disulfide bonds (PubMed:11483509).
Autocleavage; produces the single-chain CTSL after cleavage of the propeptide. The cleavage can be intermolecular (By similarity).
Belongs to the peptidase C1 family.
Thiol protease important for the overall degradation of proteins in lysosomes (Probable). Involved in the solubilization of cross-linked TG/thyroglobulin and in the subsequent release of thyroid hormone thyroxine (T4) by limited proteolysis of TG/thyroglobulin in the thyroid follicle lumen (PubMed:12782676).
In neuroendocrine chromaffin cells secretory vesicles, catalyzes the prohormone proenkephalin processing to the active enkephalin peptide neurotransmitter (PubMed:12869695).
In thymus, regulates CD4+ T cell positive selection by generating the major histocompatibility complex class II (MHCII) bound peptide ligands presented by cortical thymic epithelial cells (PubMed:12021314).
Also mediates invariant chain processing in cortical thymic epithelial cells (PubMed:9545226).
Major elastin-degrading enzyme at neutral pH. Accumulates as a mature and active enzyme in the extracellular space of antigen presenting cells (APCs) to regulate degradation of the extracellular matrix in the course of inflammation (PubMed:12417635).
Secreted form generates endostatin from COL18A1 (PubMed:10716919).
Critical for cardiac morphology and function (PubMed:11972068).
Plays an important role in hair follicle morphogenesis and cycling, as well as epidermal differentiation (PubMed:12163394).
Required for maximal stimulation of steroidogenesis by TIMP1 (By similarity).
暂无标记数据
暂无同靶标产品
暂无相关文献
暂无常见问题