CEACAM5 Recombinant Rabbit mAb (一抗) - WB,IHC-P,IHC-F,IF,ICC/IF | Bioss

Rrmab?兔单抗
2026-05-01~2026-06-30,AB26052026-05-01~2026-06-30,WB精选(促销赠品)
CEACAM5 Recombinant Rabbit mAb (一抗) - WB,IHC-P,IHC-F,IF,ICC/IF | Bioss
货号:bsm-61419R
产品详情
相关标记
相关产品
相关文献
常见问题

概述

产品编号
bsm-61419R
产品类型
重组兔单抗
英文名称
CEACAM5 Recombinant Rabbit mAb
中文名称
癌胚抗原重组兔单抗
英文别名
CD66e; CEA; CEAM5_HUMAN; CEACAM5; Carcinoembryonic antigen (CEA); Carcinoembryonic antigen-related cell adhesion molecule 5 (CEA cell adhesion molecule 5); Meconium antigen 100; CEA cell adhesion molecule 5; carcinoembryonic antigen-related cell adhesion molecule 5; carcinoembryonic antigen related cell adhesion molecule 5; carcinoembryonic antigen
抗体来源
Rabbit
免疫原
A synthesized peptide derived from human CEACAM5: 1-702/702
亚型
IgG
性状
Liquid
纯化方法
affinity purified by Protein A
克隆类型
Recombinant
克隆号
4F13
理论分子量
77 kDa
检测分子量
180 kDa
储存液
10mM phosphate buffered saline(pH 7.4) with 150mM sodium chloride, 0.05% BSA, 0.02% Proclin300 and 50% glycerol.
SWISS
Gene ID
保存条件
Store at 4℃ for short term. Store at -20℃ for long term. Avoid repeated freeze/thaw cycles.
注意事项
This product as supplied is intended for research use only, not for use in human, therapeutic or diagnostic applications.
产品介绍
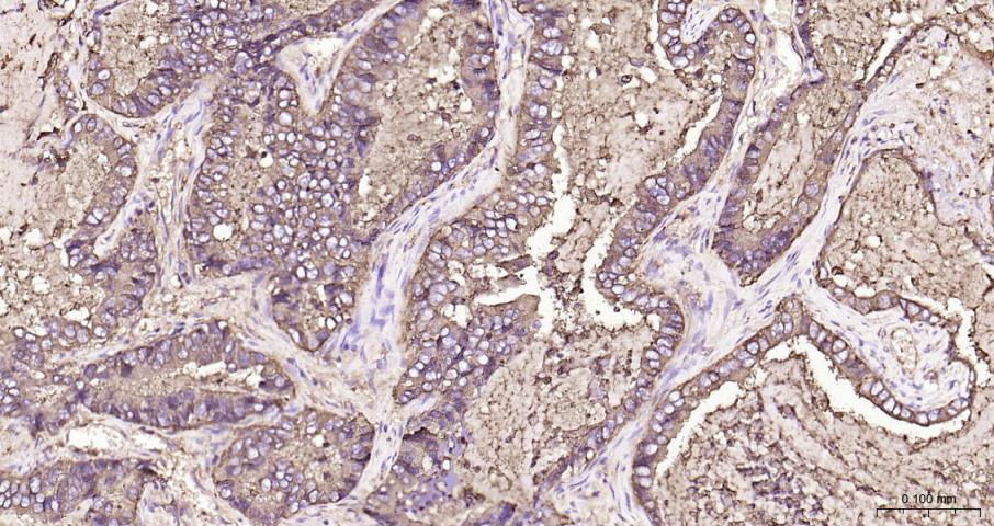
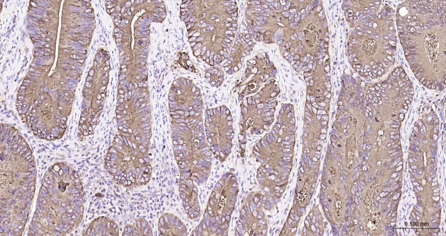
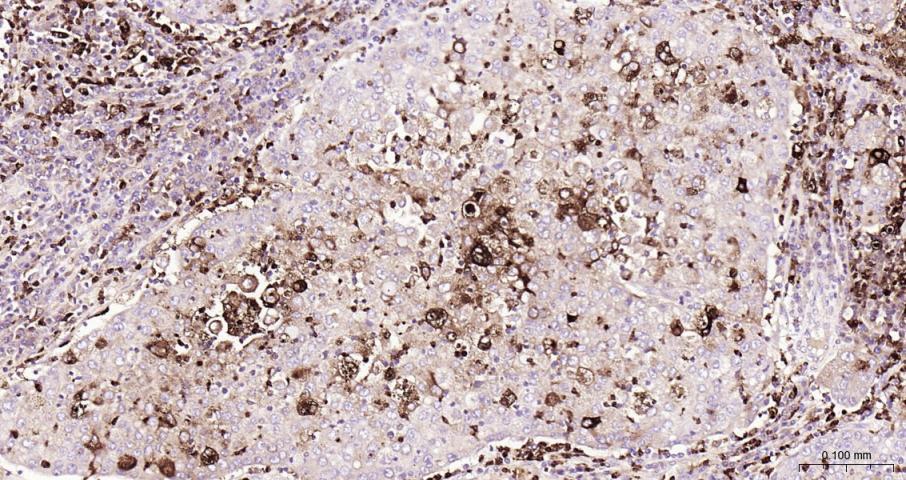
CEA是一种胚胎性抗原,主要存在于胎儿消化道上皮组织,胰腺和肝癌中。CEA广泛存在各种上皮性肿瘤,尤其是胃肠道恶性肿瘤,CEA分布阳性类型与肿瘤的恶性度有关。CEA与EMA一样可作为上皮性恶性肿瘤的重要标记。
背景资料
Cell surface glycoprotein that plays a role in cell adhesion, intracellular signaling and tumor progression. Mediates homophilic and heterophilic cell adhesion with other carcinoembryonic antigen-related cell adhesion molecules, such as CEACAM6.
癌胚抗原重组兔单抗-bsm-61419R癌胚抗原重组兔单抗-bsm-61419R癌胚抗原重组兔单抗-bsm-61419R癌胚抗原重组兔单抗-bsm-61419R癌胚抗原重组兔单抗-bsm-61419R

产品应用

应用已检合格种属预测种属推荐稀释比例
WBHuman1:500-2000
IHC-PHuman1:100-200
IHC-FHuman1:100-200
IFHuman1:100-200
ICC/IFHuman1:50-200

交叉反应

交叉反应: Human

相关产品

暂无相关产品

靶标

基因名
CEACAM5
蛋白名
Carcinoembryonic antigen-related cell adhesion molecule 6
亚基
Homodimer. Binding of E.coli Dr adhesins leads to dissociation of the homodimer.
亚细胞定位
Cell membrane; Lipid-anchor, GPI-anchor
组织特异性
Found in adenocarcinomas of endodermally derived digestive system epithelium and fetal colon.
翻译后修饰
Complex immunoreactive glycoprotein with a MW of 180 kDa comprising 60% carbohydrate.
相似性
Belongs to the immunoglobulin superfamily. CEA family.
功能
Cell surface glycoprotein that plays a role in cell adhesion and in intracellular signaling. Receptor for E.coli Dr adhesins.

同靶标产品

相关文献

提示: 发表研究结果有使用 bsm-61419R 时请让我们知道,以便我们可以引用参考文章。作为回馈,资料提供者将获得我们送上的小礼品。

常见问题