MGMT Recombinant Rabbit mAb (一抗) - WB,IHC-P,IHC-F,IF | Bioss

Rrmab?兔单抗
2026-05-01~2026-06-30,AB26052026-05-01~2026-06-30,WB精选(促销赠品)
MGMT Recombinant Rabbit mAb (一抗) - WB,IHC-P,IHC-F,IF | Bioss
货号:bsm-61358R
产品详情
相关标记
相关产品
相关文献
常见问题

概述

产品编号
bsm-61358R
产品类型
重组兔单抗
英文名称
MGMT Recombinant Rabbit mAb
中文名称
O6甲基鸟嘌呤DNA甲基转移酶重组兔单抗
英文别名
MGMT_HUMAN; MGMT; 6-O-methylguanine-DNA methyltransferase (MGMT); O-6-methylguanine-DNA-alkyltransferase; 2.1.1.63; O-6-methylguanine-DNA methyltransferase; methylated-DNA--protein-cysteine methyltransferase
抗体来源
Rabbit
免疫原
A synthesized peptide derived from human MGMT: 1-45/207
亚型
IgG
性状
Liquid
纯化方法
affinity purified by Protein A
克隆类型
Recombinant
克隆号
3F8
理论分子量
22 kDa
检测分子量
20 kDa
储存液
10mM phosphate buffered saline(pH 7.4) with 150mM sodium chloride, 0.05% BSA, 0.02% Proclin300 and 50% glycerol.
SWISS
Gene ID
保存条件
Store at 4℃ for short term. Store at -20℃ for long term. Avoid repeated freeze/thaw cycles.
注意事项
This product as supplied is intended for research use only, not for use in human, therapeutic or diagnostic applications.
产品介绍
O-6-methylguanine-DNA methyltransferase(MGMT)O-6-甲基鸟嘌呤-DNA-甲基转移酶:是广泛存在于细菌到哺乳动物机体中的一种独特DNA修复酶,MGMT是一种DNA修复酶,是突变和癌变的抑制因子。它对烷化剂导致的DNA损伤有修复作用。 MGMT是突变和癌基因的抑制因子。研究表明MGMT水平与恶性肿瘤的发生、进展、浸润、预后及治疗有密切关系。细胞中MGMT水平与其所能耐受的DNA损伤密切相关。一般来讲,低水平表达MGMT的肿瘤可以应用烷化剂药物治疗;反之则为耐药。在正常组织中,肝脏高表达;脑组织和骨髓低水平表达。
背景资料
Involved in the cellular defense against the biological effects of O6-methylguanine (O6-MeG) and O4-methylthymine (O4-MeT) in DNA. Repairs the methylated nucleobase in DNA by stoichiometrically transferring the methyl group to a cysteine residue in the enzyme. This is a suicide reaction: the enzyme is irreversibly inactivated.
O6甲基鸟嘌呤DNA甲基转移酶重组兔单抗-bsm-61358RO6甲基鸟嘌呤DNA甲基转移酶重组兔单抗-bsm-61358RO6甲基鸟嘌呤DNA甲基转移酶重组兔单抗-bsm-61358R

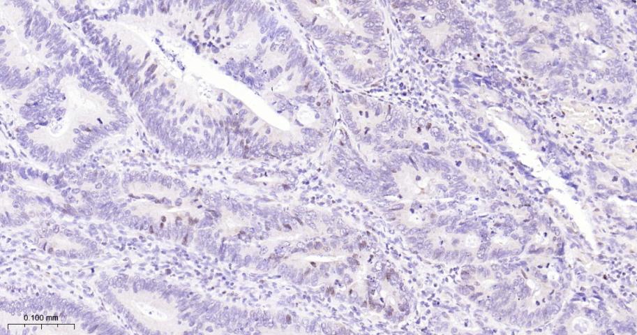
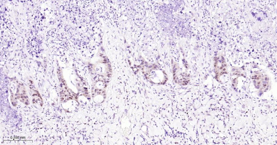
产品应用

应用已检合格种属预测种属推荐稀释比例
WBHuman1:500-2000
IHC-PHuman1:50-200
IHC-FHuman1:50-200
IFHuman1:50-200

交叉反应

交叉反应: Human

相关产品

暂无相关产品

靶标

基因名
MGMT
蛋白名
Methylated-DNA--protein-cysteine methyltransferase
亚细胞定位
Nucleus.
相似性
Belongs to the MGMT family.
功能
Involved in the cellular defense against the biological effects of O6-methylguanine (O6-MeG) in DNA. Repairs alkylated guanine in DNA by stoichiometrically transferring the alkyl group at the O-6 position to a cysteine residue in the enzyme. This is a suicide reaction: the enzyme is irreversibly inactivated.

同靶标产品

相关文献

提示: 发表研究结果有使用 bsm-61358R 时请让我们知道,以便我们可以引用参考文章。作为回馈,资料提供者将获得我们送上的小礼品。

常见问题