泛素样蛋白Sumo2/3重组兔单抗

Rrmab?兔单抗
2026-03-02~2026-04-30,KXJ26032026-03-02~2026-04-30,促销赠品
泛素样蛋白Sumo2/3重组兔单抗
货号:bsm-61351R
产品详情
相关标记
相关产品
相关文献
常见问题

概述

产品编号
bsm-61351R
产品类型
重组兔单抗
英文名称
Sumo2/3 Recombinant Rabbit mAb
中文名称
泛素样蛋白Sumo2/3重组兔单抗
英文别名
SUMO2_BOVIN; SUMO2; SUMO-2; Ubiquitin-like protein SMT3B (Smt3B); SMT3B; SUMO3_HUMAN; SUMO3; SUMO-3; SMT3 homolog 1; Ubiquitin-like protein SMT3A (Smt3A); SMT3A; SMT3H1; SUMO2_HUMAN; HSMT3; SMT3 homolog 2; Sentrin-2; SMT3H2; SUMO2_MOUSE; SUMO3_MOUSE; SUMO2_PIG; MIF2 suppressor; SUMO2_RAT; SUMO3_RAT;
抗体来源
Rabbit
免疫原
A synthesized peptide derived from human Sumo 2: 20-50
亚型
IgG
性状
Liquid
纯化方法
affinity purified by Protein A
克隆类型
Recombinant
克隆号
4G9
理论分子量
11,12 kDa
检测分子量
16 kDa
储存液
10mM phosphate buffered saline(pH 7.4) with 150mM sodium chloride, 0.05% BSA, 0.02% Proclin300 and 50% glycerol.
SWISS
Gene ID
保存条件
Store at 4℃ for short term. Store at -20℃ for long term. Avoid repeated freeze/thaw cycles.
注意事项
This product as supplied is intended for research use only, not for use in human, therapeutic or diagnostic applications.
背景资料
Small ubiquitin-related modifier 1, 2 and 3 (SUMO-1, -2 and -3) are members of the ubiquitin-like protein family. The covalent attachment of the SUMO-1, -2 or -3 (SUMOylation) to target proteins is analogous to ubiquitination. This post-translational modification is a reversible, multi-step process that is initiated by cleaving a precursor protein to a mature protein.
泛素样蛋白Sumo2/3重组兔单抗泛素样蛋白Sumo2/3重组兔单抗泛素样蛋白Sumo2/3重组兔单抗泛素样蛋白Sumo2/3重组兔单抗泛素样蛋白Sumo2/3重组兔单抗泛素样蛋白Sumo2/3重组兔单抗泛素样蛋白Sumo2/3重组兔单抗泛素样蛋白Sumo2/3重组兔单抗泛素样蛋白Sumo2/3重组兔单抗

产品应用

应用已检合格种属预测种属推荐稀释比例
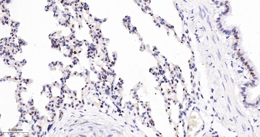
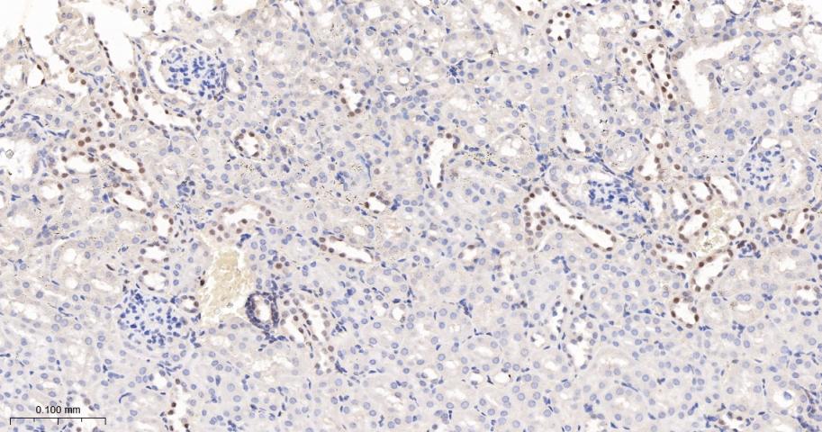
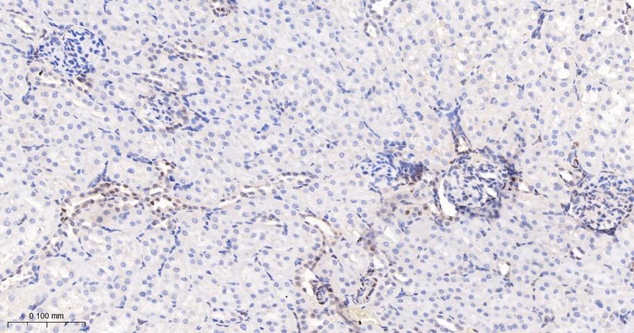
IHC-PMouse, RatHuman1:50-200
IHC-FMouse, RatHuman1:50-200
IFMouse, RatHuman1:50-200
Flow-CytHumanMouse, Rat1:50-100
ICC/IFHumanMouse, Rat1:50-200

交叉反应

交叉反应: Human, Mouse, Rat

相关产品

暂无相关产品

靶标

基因名
SUMO2
蛋白名
Small ubiquitin-related modifier 2
亚基
Homotrimer (Potential). Crystal packing analysis suggests a possible trimeric assembly, of which the biological significance remains to be determined. Interacts with SAE2 and UBE2I. Covalently attached to a number of proteins. Interacts with PELP1. Interacts with USP25; the interaction sumoylates USP25. Interacts with SIMC1, CASP8AP2, RNF111 AND SOBP (via SIM domains).
亚细胞定位
Nucleus. Nucleus, PML body.
组织特异性
Broadly expressed.
翻译后修饰
Polymeric chains can be formed through Lys-11 cross-linking. Polymeric SUMO2 chains undergo 'Lys-6'-, 'Lys-11'-, 'Lys-48'- and 'Lys-63'-linked polyubiquitination by RNF4.
Cleavage of precursor form by SENP1 or SENP2 is necessary for function.
相似性
Belongs to the ubiquitin family. SUMO subfamily.
Contains 1 ubiquitin-like domain.
功能
Ubiquitin-like protein that can be covalently attached to proteins as a monomer or as a lysine-linked polymer. Covalent attachment via an isopeptide bond to its substrates requires prior activation by the E1 complex SAE1-SAE2 and linkage to the E2 enzyme UBE2I, and can be promoted by an E3 ligase such as PIAS1-4, RANBP2 or CBX4. This post-translational modification on lysine residues of proteins plays a crucial role in a number of cellular processes such as nuclear transport, DNA replication and repair, mitosis and signal transduction. Polymeric SUMO2 chains are also susceptible to polyubiquitination which functions as a signal for proteasomal degradation of modified proteins.

标记抗体

暂无标记数据

同靶标产品

暂无同靶标产品

相关文献

提示: 发表研究结果有使用 bsm-61351R 时请让我们知道,以便我们可以引用参考文章。作为回馈,资料提供者将获得我们送上的小礼品。

暂无相关文献

常见问题

暂无常见问题