Cancer > Cancer Metabolism > Metabolic signaling pathway > Hormone biosynthesis
Cardiovascular > Atherosclerosis > Lipoprotein metabolism
Cardiovascular > Blood > Platelets
Immunology > Innate Immunity > Macrophage / Inflamm.
Metabolism > Pathways and Processes > Endocrine metabolism > Hormone biosynthesis
Metabolism > Pathways and Processes > Metabolic signaling pathways > Lipid and lipoprotein metabolism > Lipoprotein metabolism
Metabolism > Pathways and Processes > Redox metabolism > Oxidative stress
Metabolism > Types of disease > Cancer
Metabolism > Types of disease > Heart disease
Signal Transduction > Signaling Pathway > Lipid Signaling > Prostaglandins












| 应用 | 已检合格种属 | 预测种属 | 推荐稀释比例 |
|---|---|---|---|
| WB | Human, Mouse, Rat | 1:500-2000 | |
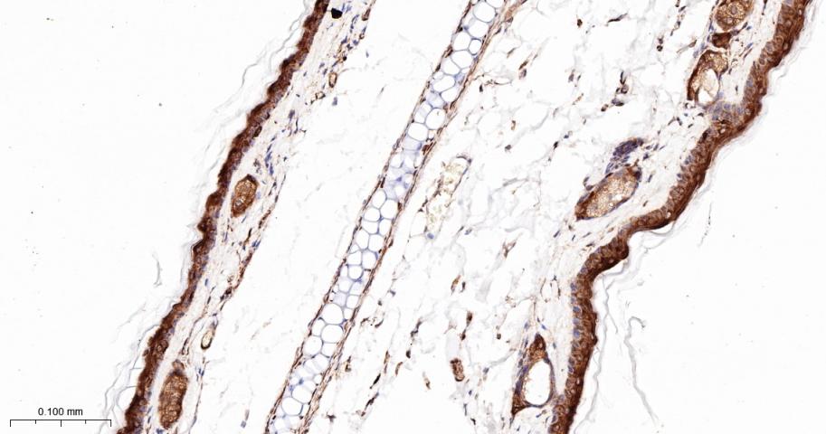
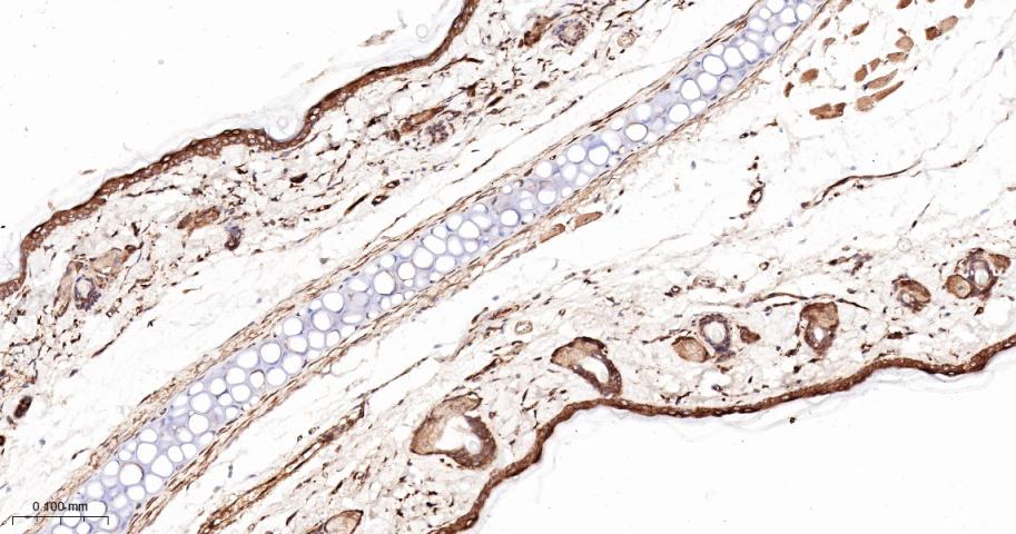
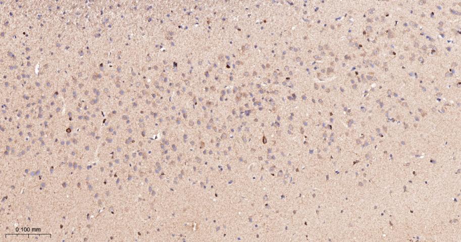
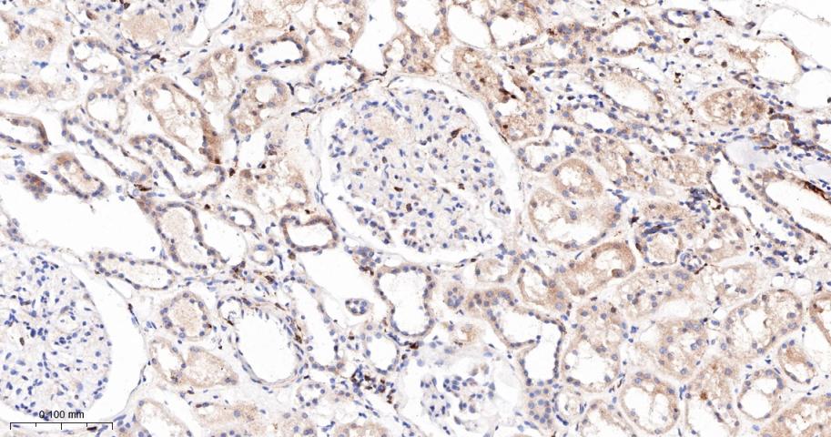
| IHC-P | Human, Mouse, Rat | 1:50-200 | |
| IHC-F | Human, Mouse, Rat | 1:50-200 | |
| IF | Human, Mouse, Rat | 1:50-200 | |
| IP | Human, Mouse, Rat | 1:20-50 |
交叉反应: Human, Mouse, Rat
暂无相关产品
暂无标记数据
暂无同靶标产品
暂无相关文献
暂无常见问题