ASC/TMS1 Recombinant Rabbit mAb (一抗) - WB,IHC-P,IHC-F,IF,Flow-Cyt | Bioss

Rrmab?兔单抗
2026-05-01~2026-06-30,AB26052026-05-01~2026-06-30,WB精选(促销赠品)
ASC/TMS1 Recombinant Rabbit mAb (一抗) - WB,IHC-P,IHC-F,IF,Flow-Cyt | Bioss
货号:bsm-61273R
产品详情
相关标记
相关产品
相关文献
常见问题

概述

产品编号
bsm-61273R
产品类型
重组兔单抗、mIHC精品抗体
英文名称
ASC/TMS1 Recombinant Rabbit mAb
中文名称
凋亡相关斑点样蛋白ASC重组兔单抗
英文别名
ASC; CARD5; TMS; TMS-1; TMS1; ASC_HUMAN; PYCARD; hASC; Caspase recruitment domain-containing protein 5; PYD and CARD domain-containing protein; Target of methylation-induced silencing 1;
抗体来源
Rabbit
免疫原
KLH conjugated synthetic peptide derived from human ASC
亚型
IgG
性状
Liquid
纯化方法
affinity purified by Protein A
克隆类型
Recombinant
克隆号
6C10
理论分子量
22 kDa
检测分子量
15-22 kDa
储存液
10mM phosphate buffered saline(pH 7.4) with 150mM sodium chloride, 0.05% BSA, 0.02% Proclin300 and 50% glycerol.
SWISS
Gene ID
保存条件
Store at 4℃ for short term. Store at -20℃ for long term. Avoid repeated freeze/thaw cycles.
注意事项
This product as supplied is intended for research use only, not for use in human, therapeutic or diagnostic applications.
背景资料
Functions as a key mediator in apoptosis and inflammation.Promotes caspase-mediated apoptosis involving predominantly caspase-8 and also caspase-9 in a probable cell type-specific manner.Involved in activation of the mitochondrial apoptotic pathway, promotes caspase-8-dependent proteolytic maturation of BID independently of FADD in certain cell types and also mediates mitochondrial translocation of BAX and activates BAX-dependent apoptosis coupled to activation of caspase-9, -2 and -3.
凋亡相关斑点样蛋白ASC重组兔单抗-bsm-61273R凋亡相关斑点样蛋白ASC重组兔单抗-bsm-61273R凋亡相关斑点样蛋白ASC重组兔单抗-bsm-61273R凋亡相关斑点样蛋白ASC重组兔单抗-bsm-61273R凋亡相关斑点样蛋白ASC重组兔单抗-bsm-61273R凋亡相关斑点样蛋白ASC重组兔单抗-bsm-61273R凋亡相关斑点样蛋白ASC重组兔单抗-bsm-61273R

产品应用

应用已检合格种属预测种属推荐稀释比例
WBHuman1:500-2000
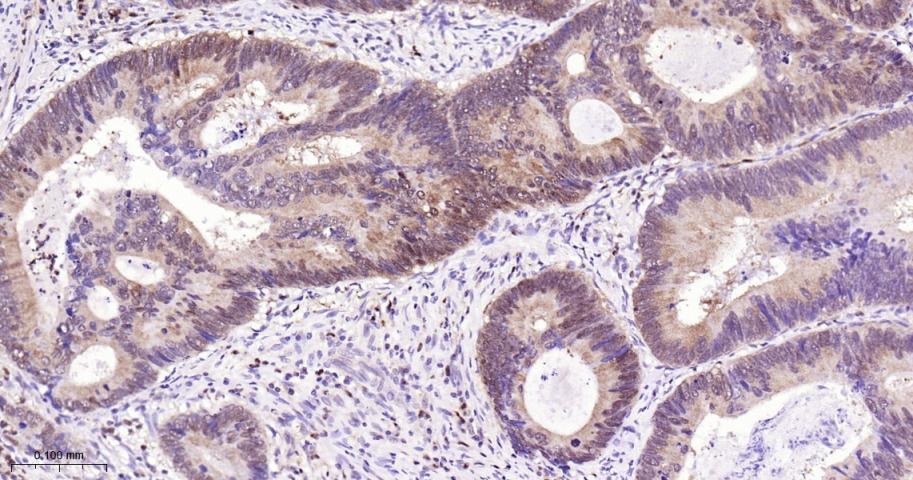
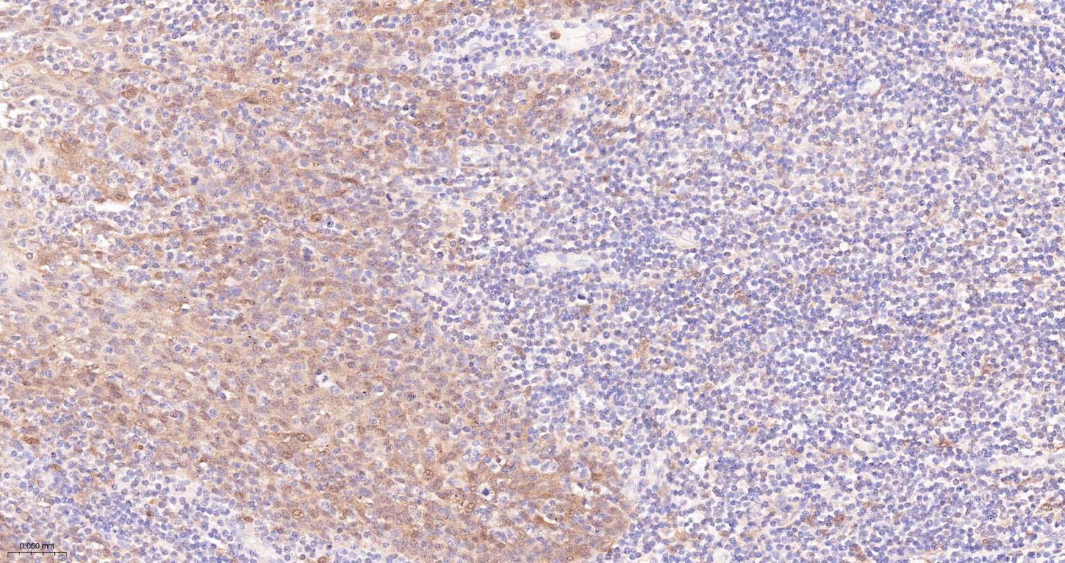
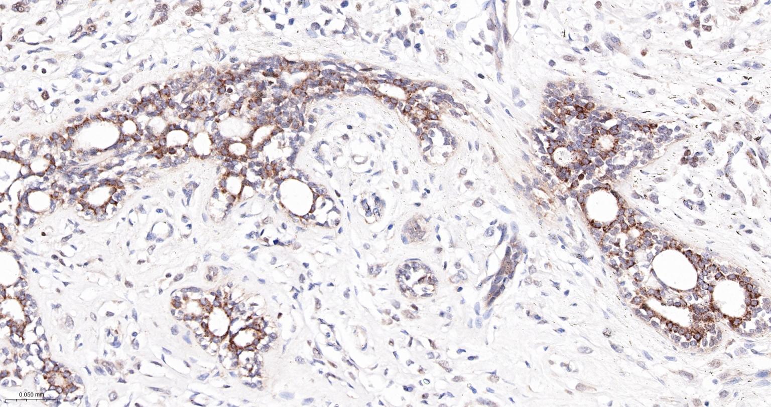
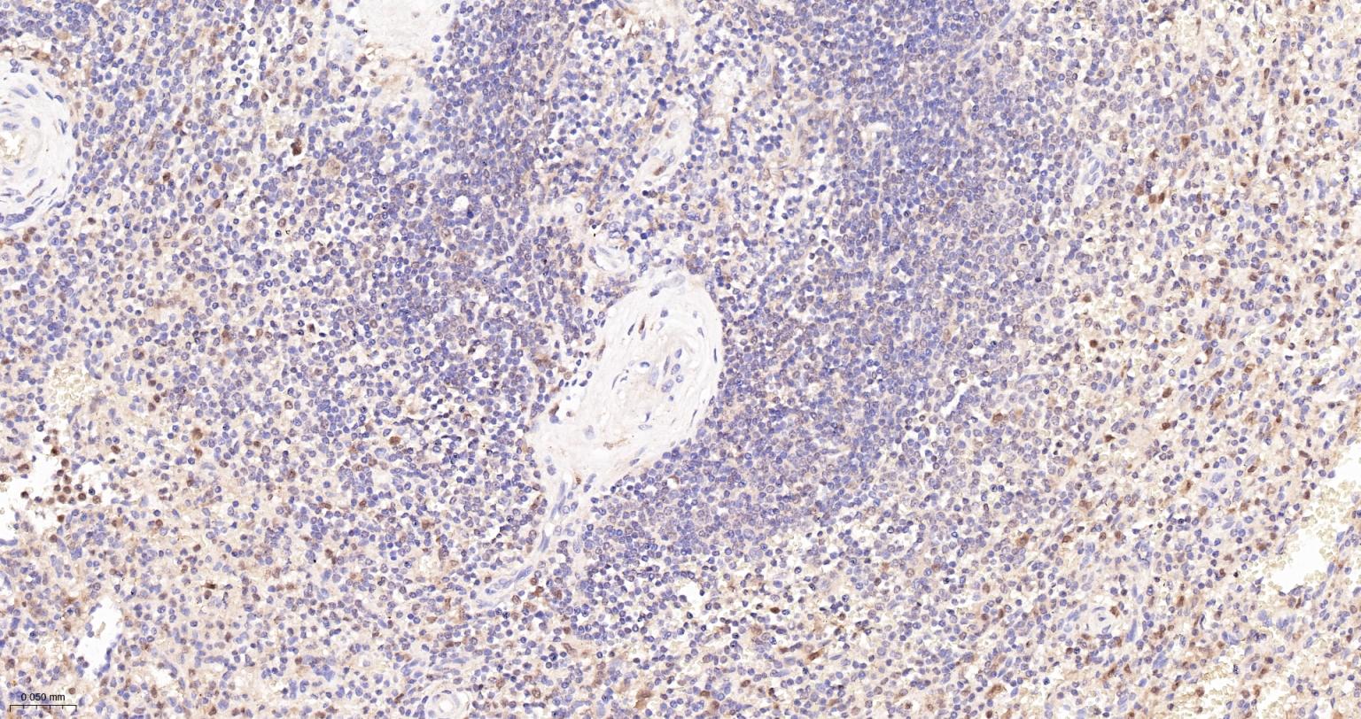
IHC-PHuman1:100-500
IHC-FHuman1:100-500
IFHuman1:100-500
Flow-CytHuman1:100-200

交叉反应

交叉反应: Human

相关产品

暂无相关产品

靶标

基因名
PYCARD
蛋白名
Apoptosis-associated speck-like protein containing a CARD
亚基
Forms complexes with other DAPIN domain-containing proteins. Interacts with CIAS1/PYPAF1 and PYDC1.
亚细胞定位
Cytoplasm. Note=Upstream of caspase activation, a redistribution from the cytoplasm to the aggregates occurs. These appear as hollow, perinuclear spherical, ball-like structures.
组织特异性
Widely expressed at low levels. Detected in peripheral blood leukocytes, lung, small intestine, spleen, thymus, colon and at lower levels in placenta, liver and kidney. Very low expression in skeletal muscle, heart and brain. Detected in the leukemia cell lines HL-60 and U937, but not in Jurkat T-cell lymphoma and Daudi Burkitt's lymphoma. Detected in the melanoma cell line WM35, but not in WM793. Not detected in HeLa cervical carcinoma cells and Molt 4 lymphocytic leukemia cells.
翻译后修饰
Phosphorylated.
相似性
Contains 1 CARD domain.
Contains 1 DAPIN domain.
功能
Promotes caspase-mediated apoptosis. This proapoptotic activity is mediated predominantly through the activation of caspase-9. May be a component of the inflammasome, a protein complex which also includes NALP2, CARD8 and CASP1 and whose function would be the activation of proinflammatory caspases.

同靶标产品

相关文献

提示: 发表研究结果有使用 bsm-61273R 时请让我们知道,以便我们可以引用参考文章。作为回馈,资料提供者将获得我们送上的小礼品。
具体参考文献:bsm-61273R 被引用于1文献中

常见问题