髓样分化蛋白重组兔单抗

Rrmab?兔单抗
2026-03-02~2026-04-30,KXJ26032026-03-02~2026-04-30,促销赠品
髓样分化蛋白重组兔单抗
货号:bsm-61269R
产品详情
相关标记
相关产品
相关文献
常见问题

概述

产品编号
bsm-61269R
产品类型
重组兔单抗
英文名称
MyD88 Recombinant Rabbit mAb
中文名称
髓样分化蛋白重组兔单抗
英文别名
IMD68; MYD88D; WM1; MYD88_HUMAN; MYD88; MYD88_MOUSE; MYD88_RAT;
抗体来源
Rabbit
免疫原
A synthesized peptide derived from human MyD88: 1-48
亚型
IgG
性状
Liquid
纯化方法
affinity purified by Protein A
克隆类型
Recombinant
克隆号
3C9
理论分子量
33 kDa
检测分子量
33 kDa
储存液
10mM phosphate buffered saline(pH 7.4) with 150mM sodium chloride, 0.05% BSA, 0.02% Proclin300 and 50% glycerol.
SWISS
Gene ID
保存条件
Store at 4℃ for short term. Store at -20℃ for long term. Avoid repeated freeze/thaw cycles.
注意事项
This product as supplied is intended for research use only, not for use in human, therapeutic or diagnostic applications.
产品介绍
MyD88是天然免疫中的调控分子,可能在感染、炎症、免疫等病理生理过程中具有更广泛的生物学功能, MyD88蛋白是由Toll样受体介导的先天免疫应答反应中重要的胞浆接头蛋白,由它参与构成的信号级联最终引起NF-kB依赖性信号通路的活化。
背景资料
Adapter protein involved in the Toll-like receptor and IL-1 receptor signaling pathway in the innate immune response.Acts via IRAK1, IRAK2, IRF7 and TRAF6, leading to NF-kappa-B activation, cytokine secretion and the inflammatory response.
髓样分化蛋白重组兔单抗髓样分化蛋白重组兔单抗髓样分化蛋白重组兔单抗髓样分化蛋白重组兔单抗髓样分化蛋白重组兔单抗髓样分化蛋白重组兔单抗髓样分化蛋白重组兔单抗髓样分化蛋白重组兔单抗

产品应用

应用已检合格种属预测种属推荐稀释比例
WBHuman1:500-2000
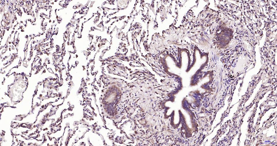
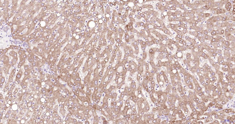
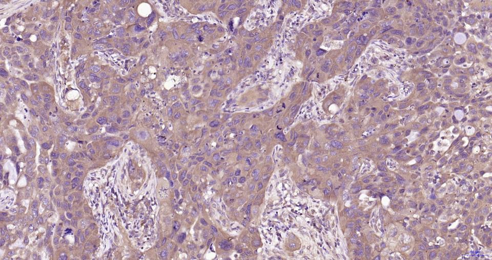
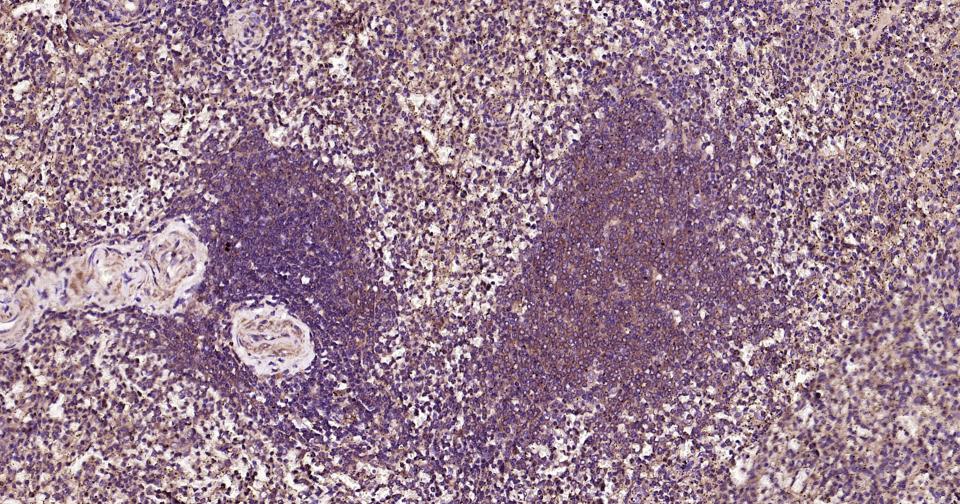
IHC-PHuman1:100-200
IHC-FHuman1:100-200
IFHuman1:100-200
Flow-CytHuman1:50-100
ICC/IFHuman1:50-200

交叉反应

交叉反应: Human

相关产品

暂无相关产品

靶标

基因名
MYD88
蛋白名
Myeloid differentiation primary response protein MyD88
亚基
Homodimer. Also forms heterodimers with TIRAP. Binds to TLR2, TLR4, IRAK1, IRAK2 and IRAK4 via their respective TIR domains. Interacts with IL18R1 (By similarity). Interacts with BMX, IL1RL1 and IRF7. Interacts with LRRFIP1 and LRRFIP2; this interaction positively regulates Toll-like receptor (TLR) signaling in response to agonist. Interacts with FLII. LRRFIP1 and LRRFIP2 compete with FLII for MYD88-binding. Interacts with IRF1. May interact with PIK3AP1 (By similarity). Upon IL1B treatment, forms a complex with PELI1, IRAK1, IRAK4 and TRAF6; this complex recruits MAP3K7/TAK1, TAB1 and TAB2 to mediate NF-kappa-B activation. Direct binding of SMAD6 to PELI1 prevents the complex formation and hence negatively regulates IL1R-TLR signaling and eventually NF-kappa-B-mediated gene expression.
亚细胞定位
Cytoplasm.
组织特异性
Ubiquitous.
疾病
Defects in MYD88 are the cause of MYD88 deficiency (MYD88D) [MIM:612260]; also known as recurrent pyogenic bacterial infections due to MYD88 deficiency. Patients suffer from autosomal recessive, life-threatening, often recurrent pyogenic bacterial infections, including invasive pneumococcal disease, and die between 1 and 11 months of age. Surviving patients are otherwise healthy, with normal resistance to other microbes, and their clinical status improved with age.
相似性
Contains 1 death domain.
Contains 1 TIR domain.
功能
Adapter protein involved in the Toll-like receptor and IL-1 receptor signaling pathway in the innate immune response. Acts via IRAK1, IRAK2, IRF7 and TRAF6, leading to NF-kappa-B activation, cytokine secretion and the inflammatory response. Increases IL-8 transcription. Involved in IL-18-mediated signaling pathway. Activates IRF1 resulting in its rapid migration into the nucleus to mediate an efficient induction of IFN-beta, NOS2/INOS, and IL12A genes. MyD88-mediated signaling in intestinal epithelial cells is crucial for maintenance of gut homeostasis and controls the expression of the antimicrobial lectin REG3G in the small intestine.

标记抗体

暂无标记数据

同靶标产品

暂无同靶标产品

相关文献

提示: 发表研究结果有使用 bsm-61269R 时请让我们知道,以便我们可以引用参考文章。作为回馈,资料提供者将获得我们送上的小礼品。
具体参考文献:bsm-61269R 被引用于2文献中

暂无相关文献

常见问题

暂无常见问题