PRPF19重组兔单抗

Rrmab?兔单抗
2026-03-02~2026-04-30,KXJ26032026-03-02~2026-04-30,促销赠品
PRPF19重组兔单抗
货号:bsm-61268R
产品详情
相关标记
相关产品
相关文献
常见问题

概述

产品编号
bsm-61268R
产品类型
重组兔单抗、mIHC精品抗体
英文名称
PRPF19 Recombinant Rabbit mAb
中文名称
PRPF19重组兔单抗
英文别名
PRP19_HUMAN; PRPF19; Nuclear matrix protein 200; PRP19/PSO4 homolog (hPso4); RING-type E3 ubiquitin transferase PRP19; Senescence evasion factor; 2.3.2.27; NMP200; PRP19; SNEV; PSO4; UBOX4; hPSO4;
抗体来源
Rabbit
免疫原
A synthesized peptide derived from human PRPF19: 450-504/504
亚型
IgG
性状
Liquid
纯化方法
affinity purified by Protein A
克隆类型
Recombinant
克隆号
8C5
理论分子量
55 kDa
检测分子量
55 kDa
储存液
10mM phosphate buffered saline(pH 7.4) with 150mM sodium chloride, 0.05% BSA, 0.02% Proclin300 and 50% glycerol.
SWISS
Gene ID
保存条件
Store at 4℃ for short term. Store at -20℃ for long term. Avoid repeated freeze/thaw cycles.
注意事项
This product as supplied is intended for research use only, not for use in human, therapeutic or diagnostic applications.
背景资料
Core component of the PRP19C/Prp19 complex/NTC/Nineteen complex which is part of the spliceosome and participates in its assembly, its remodeling and is required for its activity. During assembly of the spliceosome, mediates 'Lys-63'-linked polyubiquitination of the U4 spliceosomal protein PRPF3. Ubiquitination of PRPF3 allows its recognition by the U5 component PRPF8 and stabilizes the U4/U5/U6 tri-snRNP spliceosomal complex
PRPF19重组兔单抗PRPF19重组兔单抗PRPF19重组兔单抗PRPF19重组兔单抗PRPF19重组兔单抗PRPF19重组兔单抗PRPF19重组兔单抗PRPF19重组兔单抗PRPF19重组兔单抗PRPF19重组兔单抗PRPF19重组兔单抗PRPF19重组兔单抗PRPF19重组兔单抗PRPF19重组兔单抗PRPF19重组兔单抗

产品应用

应用已检合格种属预测种属推荐稀释比例
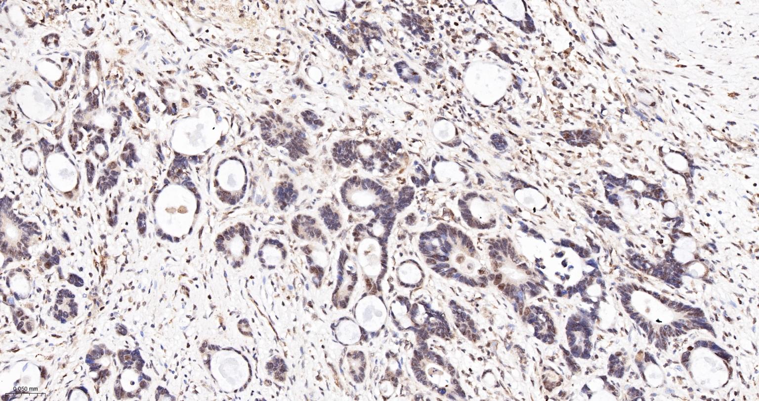
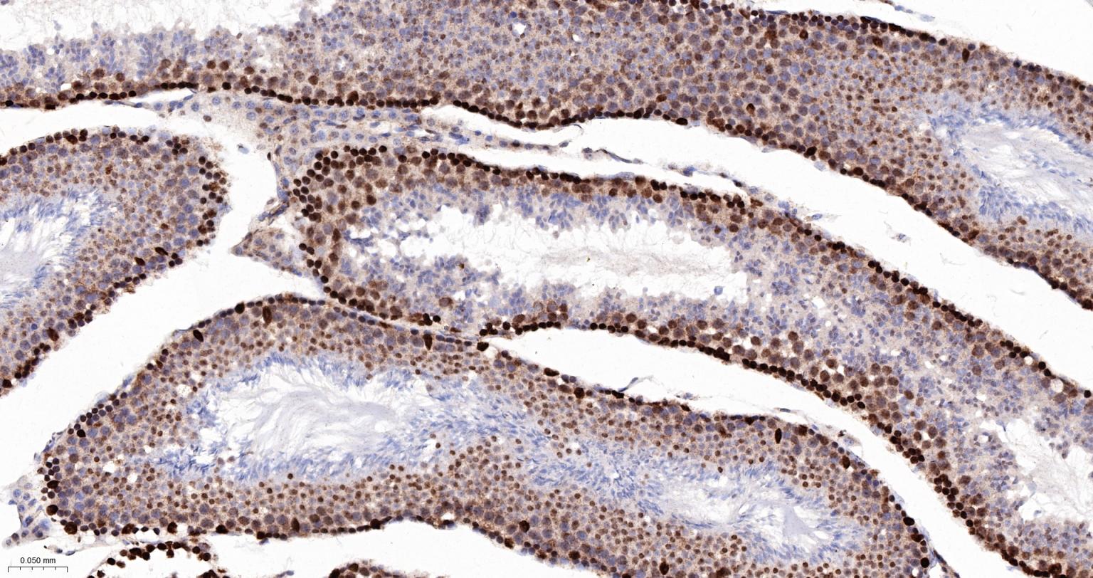
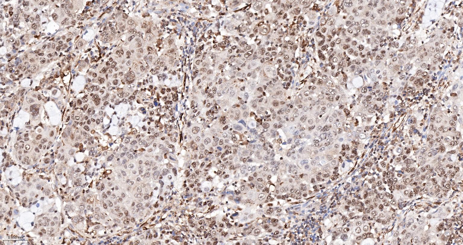
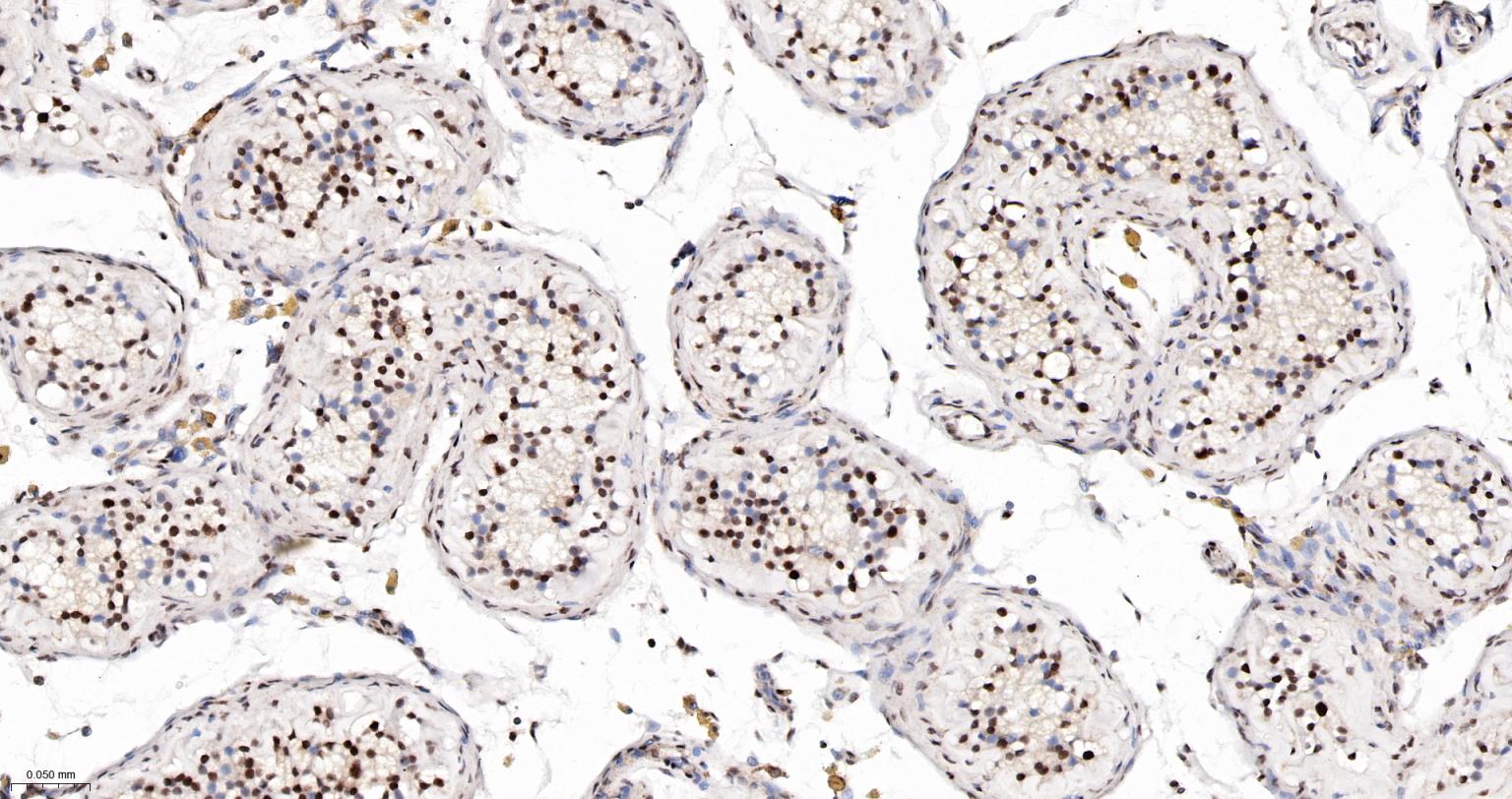
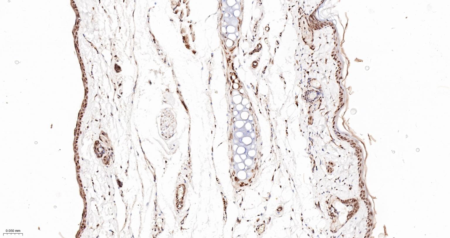
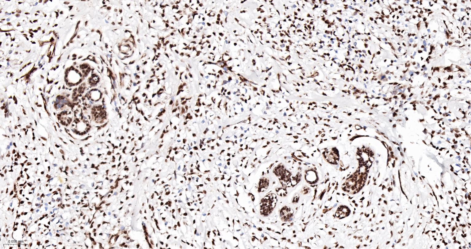
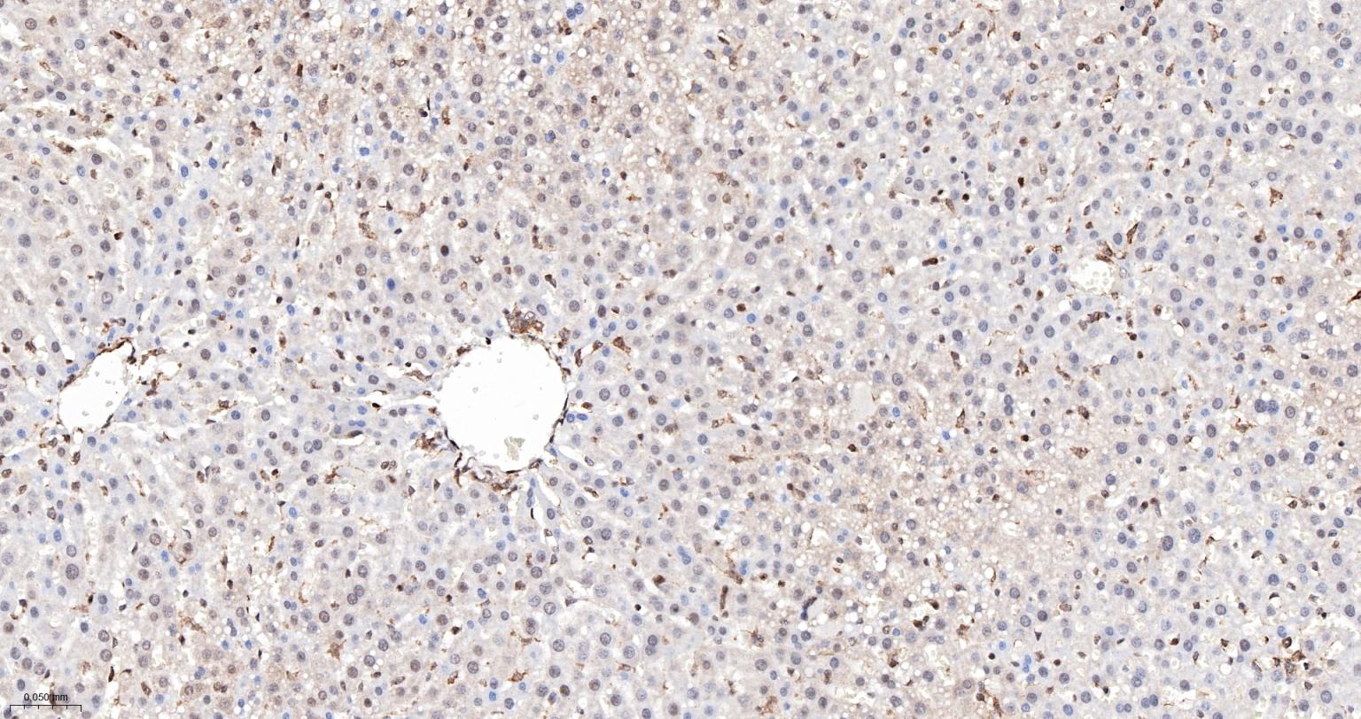
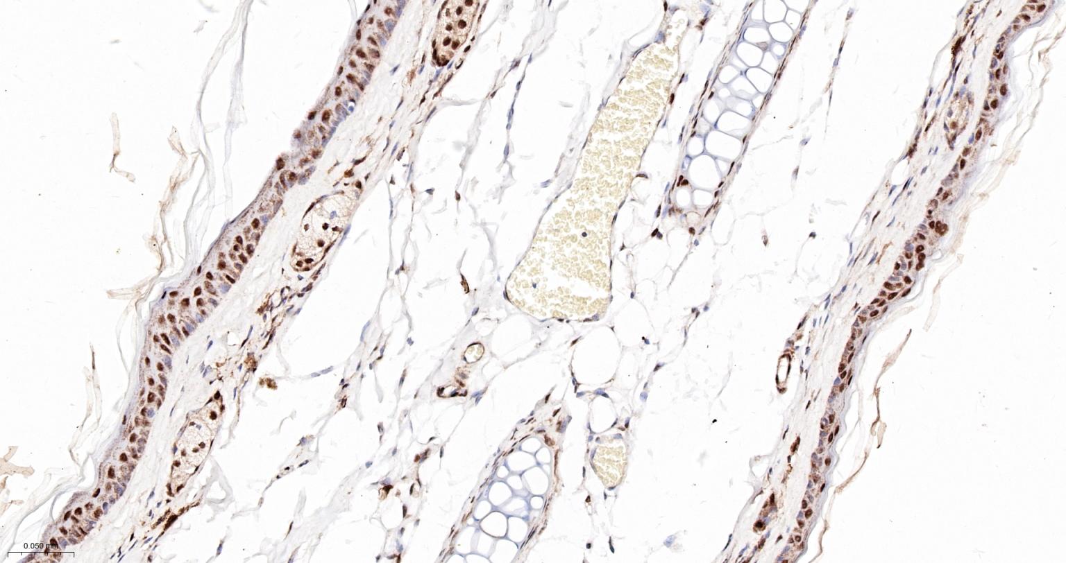
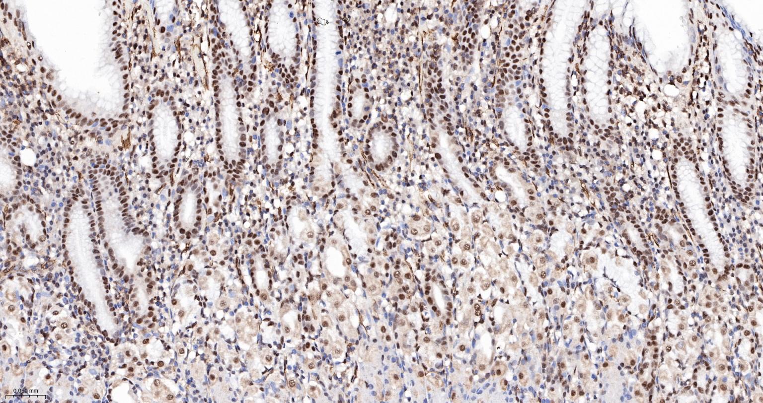
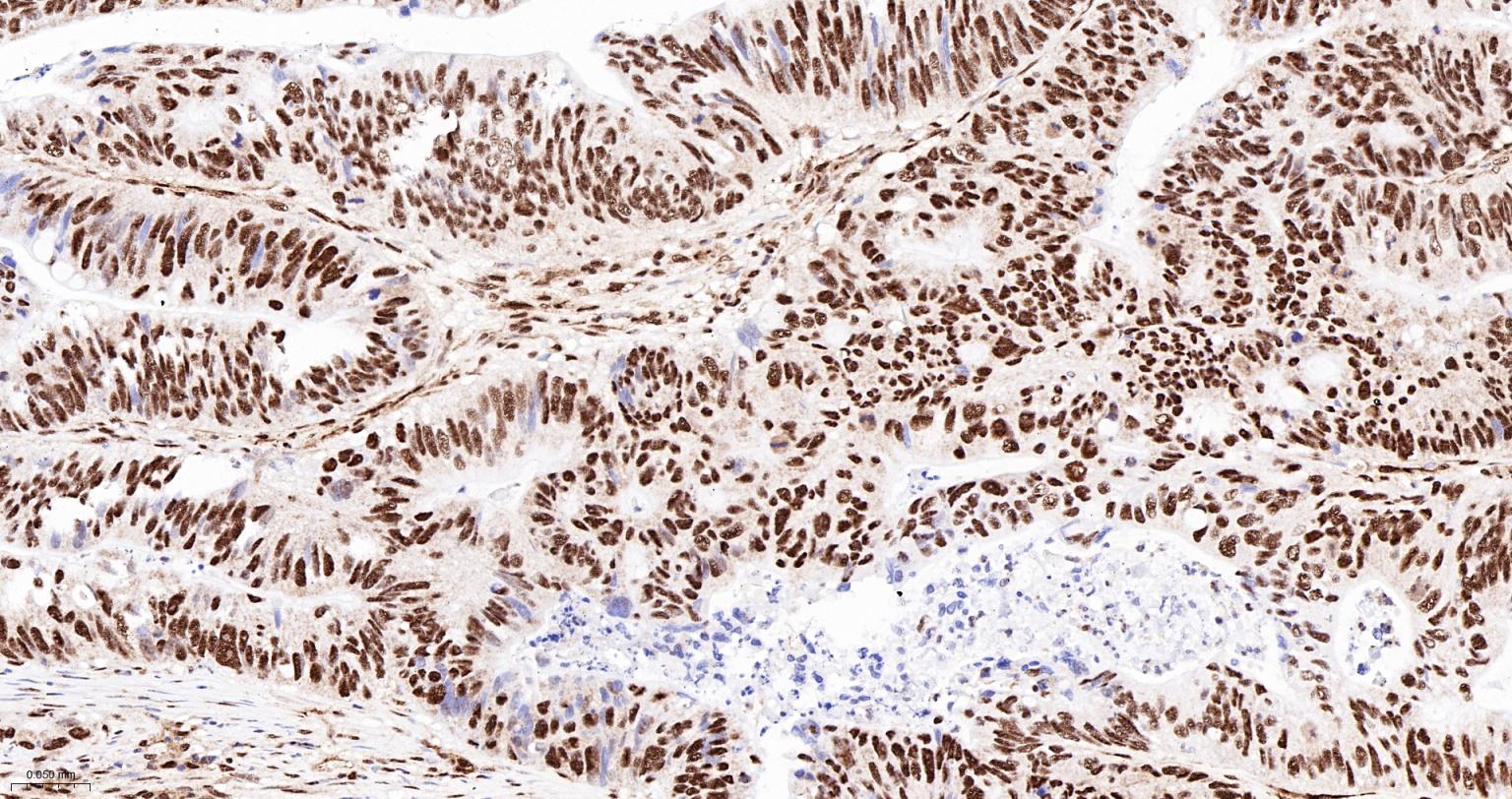
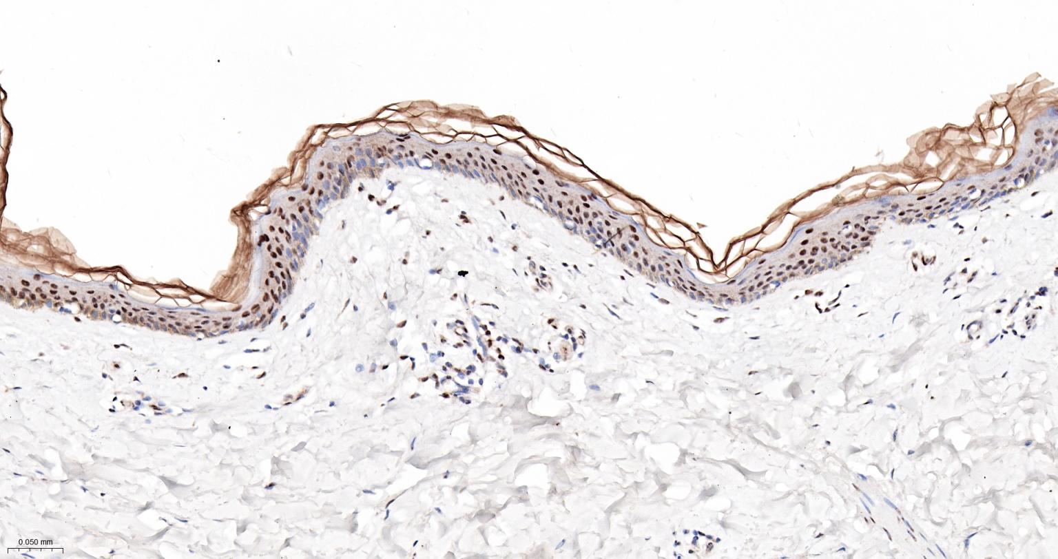
IHC-PHuman, Mouse, Rat1:100-500
IHC-FHuman, Mouse, Rat1:100-500
IFHuman, Mouse, Rat1:100-500
Flow-CytHumanMouse, Rat1:50-100
ICC/IFHumanMouse, Rat1:50-200

交叉反应

交叉反应: Human, Mouse, Rat

相关产品

暂无相关产品

靶标

基因名
PRPF19
蛋白名
Pre-mRNA-processing factor 19

标记抗体

暂无标记数据

同靶标产品

暂无同靶标产品

相关文献

提示: 发表研究结果有使用 bsm-61268R 时请让我们知道,以便我们可以引用参考文章。作为回馈,资料提供者将获得我们送上的小礼品。

暂无相关文献

常见问题

暂无常见问题