干细胞生长因子重组兔单抗

Rrmab?兔单抗
2026-03-02~2026-04-30,KXJ26032026-03-02~2026-04-30,促销赠品
干细胞生长因子重组兔单抗
货号:bsm-61250R
产品详情
相关标记
相关产品
相关文献
常见问题

概述

产品编号
bsm-61250R
产品类型
重组兔单抗
英文名称
SCF Recombinant Rabbit mAb
中文名称
干细胞生长因子重组兔单抗
英文别名
DCUA; DFNA69; FPH2; FPHH; KL-1; Kitl; MGF; SCF; SF; SHEP7; SLF; WS2F; SCF_HUMAN; KITLG; Mast cell growth factor (MGF); Stem cell factor (SCF); c-Kit ligand;
抗体来源
Rabbit
免疫原
A synthesized peptide derived from human SCF: 40-90/273
亚型
IgG
性状
Liquid
纯化方法
affinity purified by Protein A
克隆类型
Recombinant
克隆号
7C9
理论分子量
31 kDa
检测分子量
18 kDa
储存液
10mM phosphate buffered saline(pH 7.4) with 150mM sodium chloride, 0.05% BSA, 0.02% Proclin300 and 50% glycerol.
SWISS
Gene ID
保存条件
Store at 4℃ for short term. Store at -20℃ for long term. Avoid repeated freeze/thaw cycles.
注意事项
This product as supplied is intended for research use only, not for use in human, therapeutic or diagnostic applications.
产品介绍
Stem Cell Factor(SCF,又称Kit ligand=KITLG)—干细胞生长因子。是c-kit的配体。有膜结合型和可溶型两种存在形式。具有多向性的促生长作用。
背景资料
Ligand for the receptor-type protein-tyrosine kinase KIT. Plays an essential role in the regulation of cell survival and proliferation, hematopoiesis, stem cell maintenance, gametogenesis, mast cell development, migration and function, and in melanogenesis. KITLG/SCF binding can activate several signaling pathways. Promotes phosphorylation of PIK3R1, the regulatory subunit of phosphatidylinositol 3-kinase, and subsequent activation of the kinase AKT1.
干细胞生长因子重组兔单抗干细胞生长因子重组兔单抗干细胞生长因子重组兔单抗干细胞生长因子重组兔单抗干细胞生长因子重组兔单抗干细胞生长因子重组兔单抗干细胞生长因子重组兔单抗干细胞生长因子重组兔单抗干细胞生长因子重组兔单抗干细胞生长因子重组兔单抗

产品应用

应用已检合格种属预测种属推荐稀释比例
WBHuman1:500-2000
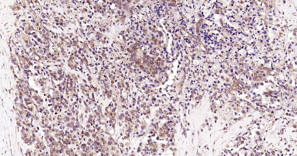
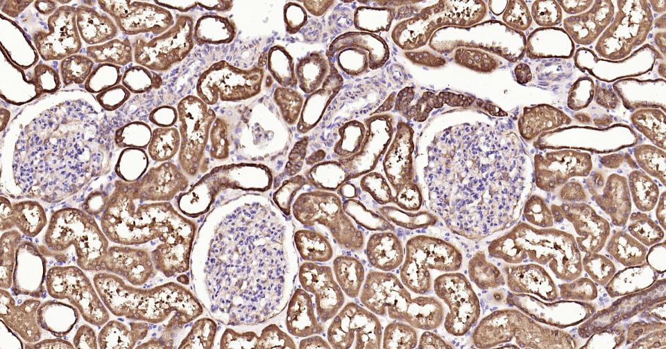
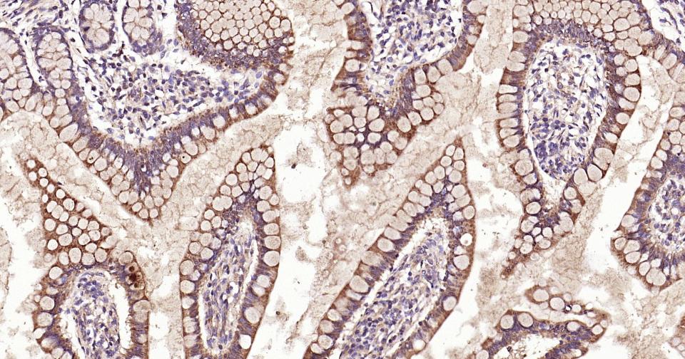
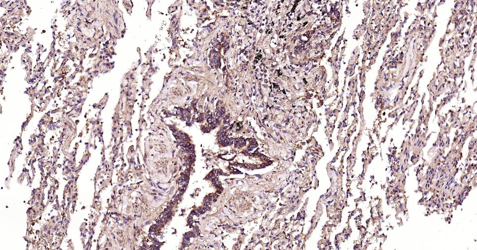
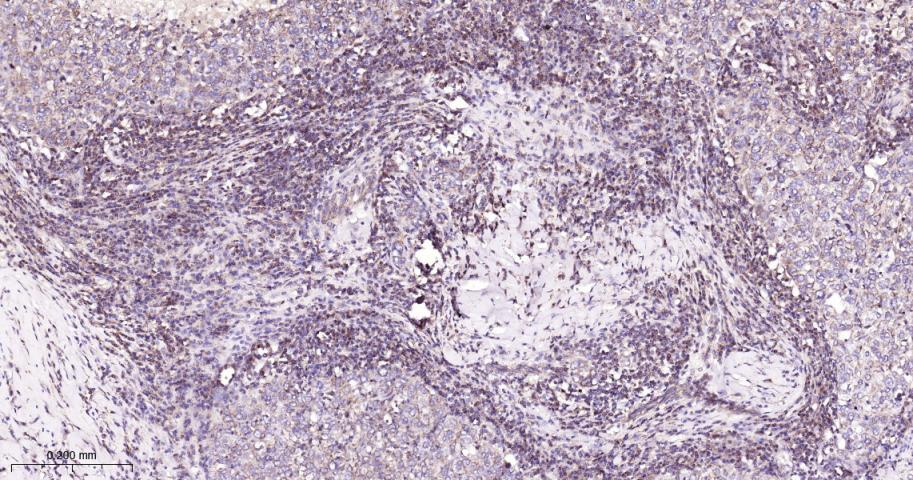
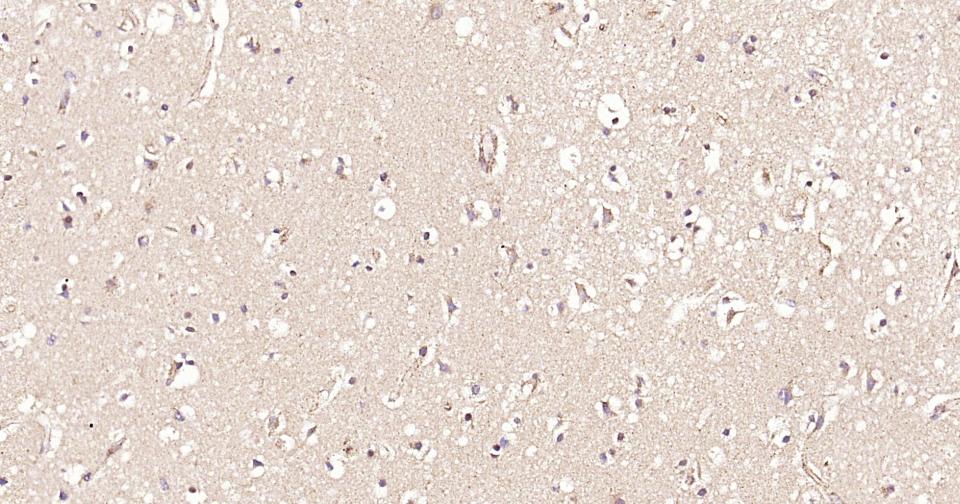
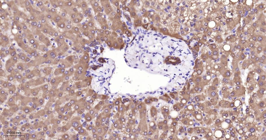
IHC-PHuman1:100-500
IHC-FHuman1:100-500
IFHuman1:100-500
Flow-CytHuman1μg/Test
ICC/IFHuman1:50-200

交叉反应

交叉反应: Human

相关产品

暂无相关产品

靶标

基因名
KITLG
蛋白名
Kit ligand
亚基
Homodimer, non-covalently linked (Probable). Heterotetramer with KIT, binding two KIT molecules; thereby mediates KIT dimerization and subsequent activation by autophosphorylation.
亚细胞定位
Isoform 1: Cell membrane; Single-pass type I membrane protein. Isoform 2: Cell membrane; Single-pass type I membrane protein. Cytoplasm, cytoskeleton. Soluble KIT ligand: Secreted.
相似性
Belongs to the SCF family.

标记抗体

暂无标记数据

同靶标产品

暂无同靶标产品

相关文献

提示: 发表研究结果有使用 bsm-61250R 时请让我们知道,以便我们可以引用参考文章。作为回馈,资料提供者将获得我们送上的小礼品。

暂无相关文献

常见问题

暂无常见问题