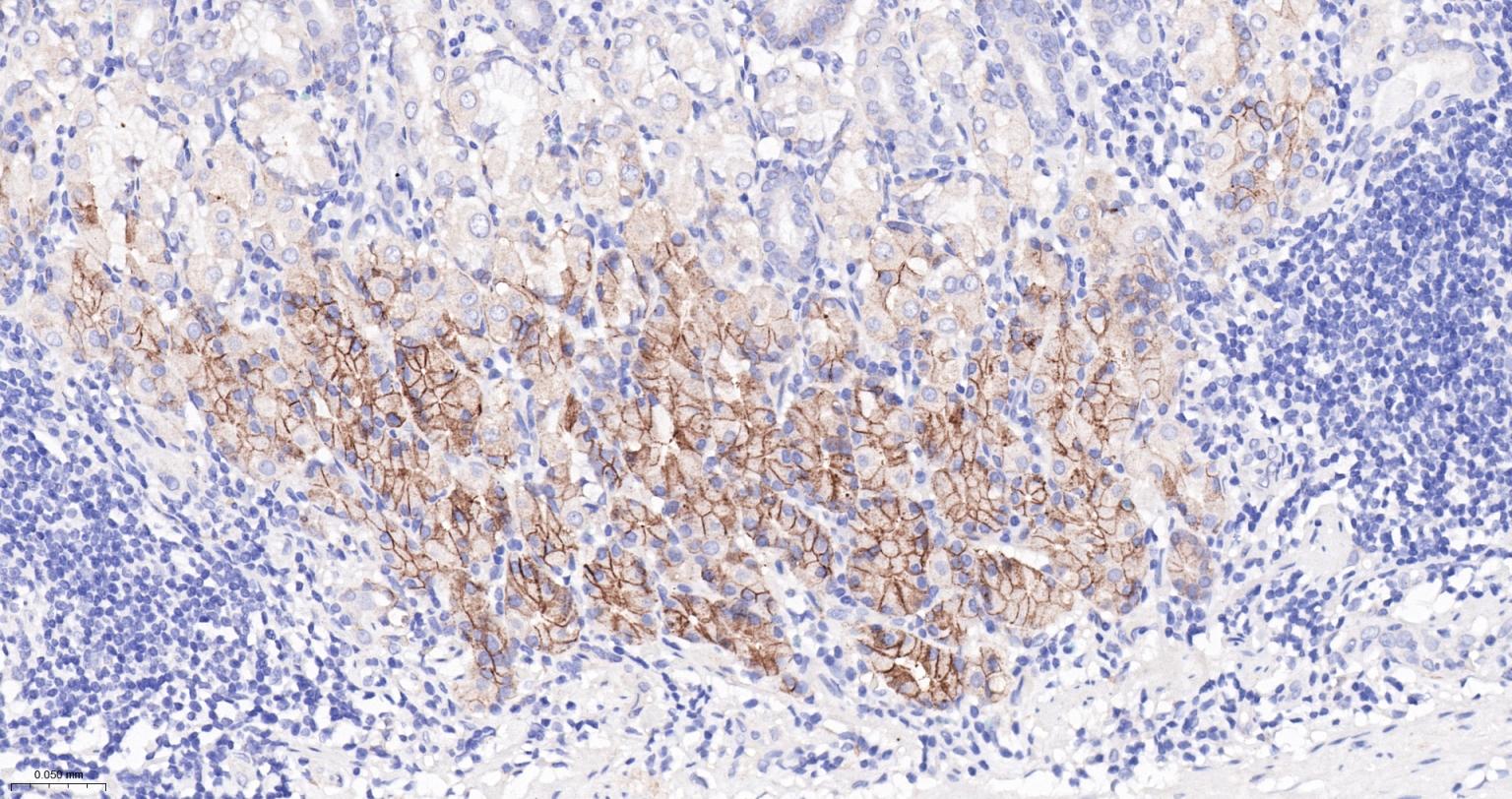
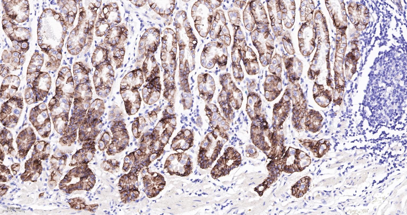
碳酸酐酶9(carbonic anhydrase IX,CA IX)是新发现的碳酸酐酶家族异构体之一,是由酸性氨基酸组成的跨膜糖蛋白,在调控细胞增殖、转化方面有重要作用。
碳酸酐酶9能催化CO2水解为碳酸和水,参与机体的酸碱平衡,调节细胞内外pH值,易导致肿瘤的生长和转移,目前也是子宫肿瘤新的标记物。



| 应用 | 已检合格种属 | 预测种属 | 推荐稀释比例 |
|---|---|---|---|
| WB | Human | 1:500-2000 | |
| IHC-P | Human | 1:200-800 | |
| IHC-F | Human | 1:200-800 | |
| IF | Human | 1:200-800 |
交叉反应: Human
暂无相关产品
暂无标记数据
暂无同靶标产品
暂无相关文献
暂无常见问题