促代谢型谷氨酸受体5重组兔单抗

Rrmab?兔单抗
2026-03-02~2026-04-30,KXJ26032026-03-02~2026-04-30,促销赠品
促代谢型谷氨酸受体5重组兔单抗
货号:bsm-61218R
产品详情
相关标记
相关产品
相关文献
常见问题

概述

产品编号
bsm-61218R
产品类型
重组兔单抗
英文名称
mGluR5 Recombinant Rabbit mAb
中文名称
促代谢型谷氨酸受体5重组兔单抗
英文别名
GPRC1E; MGLUR5; PPP1R86; mGlu5; 6430542K11Rik; Glu5R; mGluR5b; GRM5_HUMAN; GRM5; GRM5_MOUSE; GRM5_RAT;
抗体来源
Rabbit
免疫原
A synthesized peptide derived from human mGluR5: 1180-1212
亚型
IgG
性状
Liquid
纯化方法
affinity purified by Protein A
克隆类型
Recombinant
克隆号
11B6
理论分子量
132 kDa
检测分子量
132 kDa
储存液
10mM phosphate buffered saline(pH 7.4) with 150mM sodium chloride, 0.05% BSA, 0.02% Proclin300 and 50% glycerol.
SWISS
Gene ID
保存条件
Store at 4℃ for short term. Store at -20℃ for long term. Avoid repeated freeze/thaw cycles.
注意事项
This product as supplied is intended for research use only, not for use in human, therapeutic or diagnostic applications.
背景资料
G-protein coupled receptor for glutamate. Ligand binding causes a conformation change that triggers signaling via guanine nucleotide-binding proteins (G proteins) and modulates the activity of down-stream effectors. Signaling activates a phosphatidylinositol-calcium second messenger system and generates a calcium-activated chloride current. Plays an important role in the regulation of synaptic plasticity and the modulation of the neural network activity.
促代谢型谷氨酸受体5重组兔单抗促代谢型谷氨酸受体5重组兔单抗促代谢型谷氨酸受体5重组兔单抗促代谢型谷氨酸受体5重组兔单抗

产品应用

应用已检合格种属预测种属推荐稀释比例
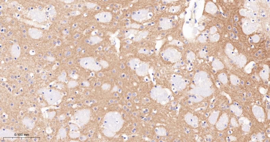
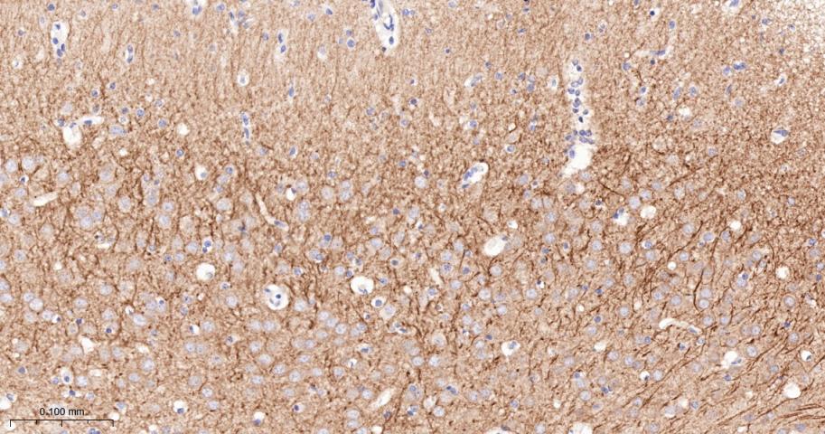
IHC-PHuman, Mouse, Rat1:50-200
IHC-FHuman, Mouse, Rat1:50-200
IFHuman, Mouse, Rat1:50-200
Flow-CytHuman, Mouse, Rat1:50-100
ICC/IFHuman, Mouse, Rat1:50-200

交叉反应

交叉反应: Human, Mouse, Rat

相关产品

暂无相关产品

靶标

基因名
GRM5
蛋白名
Metabotropic glutamate receptor 5
亚基
The PPXXF motif binds HOMER1, HOMER2 and HOMER3. Interacts with SIAH1, RYR1, RYR2, ITPR1, SHANK1, SHANK3 and GRASP. Interacts with NCDN (By similarity).
亚细胞定位
Cell Membrane
相似性
Belongs to the G-protein coupled receptor 3 family.
功能
G-protein coupled receptor for glutamate. Ligand binding causes a conformation change that triggers signaling via guanine nucleotide-binding proteins (G proteKns) and modulates the activity of down-stream effectors. Signaling activates a phosphatidylinositol-calcium second messenger system and generates a calcium-activated chloride current. Plays an important role in the regulation of synaptic plasticity and the modulation of the neural network activity.

标记抗体

暂无标记数据

同靶标产品

暂无同靶标产品

相关文献

提示: 发表研究结果有使用 bsm-61218R 时请让我们知道,以便我们可以引用参考文章。作为回馈,资料提供者将获得我们送上的小礼品。

暂无相关文献

常见问题

暂无常见问题