RPS3 Recombinant Rabbit mAb (一抗) - IHC-P,IHC-F,IF,ICC/IF | Bioss

Rrmab?兔单抗
2026-05-01~2026-06-30,AB2605
RPS3 Recombinant Rabbit mAb (一抗) - IHC-P,IHC-F,IF,ICC/IF | Bioss
货号:bsm-61209R
产品详情
相关标记
相关产品
相关文献
常见问题

概述

产品编号
bsm-61209R
产品类型
重组兔单抗
英文名称
RPS3 Recombinant Rabbit mAb
中文名称
核糖体蛋白S3重组兔单抗
英文别名
RS3_HUMAN; RPS3; 40S ribosomal protein S3; S3; uS3; D7Ertd795e; Rs_3; fb13d09; wu:fb13d09; zgc:56088; RS3_MOUSE; 4.2.99.18; RS3_PIG;
抗体来源
Rabbit
免疫原
A synthesized peptide derived from human RPS3: 114-184
亚型
IgG
性状
Liquid
纯化方法
affinity purified by Protein A
克隆类型
Recombinant
克隆号
8C18
理论分子量
27 kDa
检测分子量
32 kDa
储存液
10mM phosphate buffered saline(pH 7.4) with 150mM sodium chloride, 0.05% BSA, 0.02% Proclin300 and 50% glycerol.
SWISS
Gene ID
保存条件
Store at 4℃ for short term. Store at -20℃ for long term. Avoid repeated freeze/thaw cycles.
注意事项
This product as supplied is intended for research use only, not for use in human, therapeutic or diagnostic applications.
背景资料
Involved in translation as a component of the 40S small ribosomal subunit. Has endonuclease activity and plays a role in repair of damaged DNA. Cleaves phosphodiester bonds of DNAs containing altered bases with broad specificity and cleaves supercoiled DNA more efficiently than relaxed DNA. Displays high binding affinity for 7,8-dihydro-8-oxoguanine (8-oxoG), a common DNA lesion caused by reactive oxygen species (ROS). Has also been shown to bind with similar affinity to intact and damaged DNA.
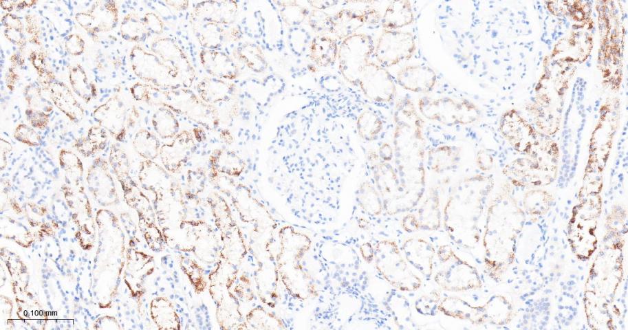
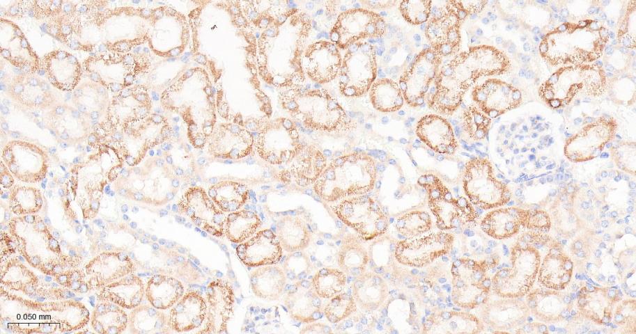
核糖体蛋白S3重组兔单抗-bsm-61209R核糖体蛋白S3重组兔单抗-bsm-61209R核糖体蛋白S3重组兔单抗-bsm-61209R核糖体蛋白S3重组兔单抗-bsm-61209R核糖体蛋白S3重组兔单抗-bsm-61209R核糖体蛋白S3重组兔单抗-bsm-61209R核糖体蛋白S3重组兔单抗-bsm-61209R核糖体蛋白S3重组兔单抗-bsm-61209R

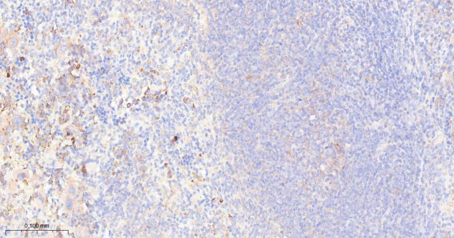
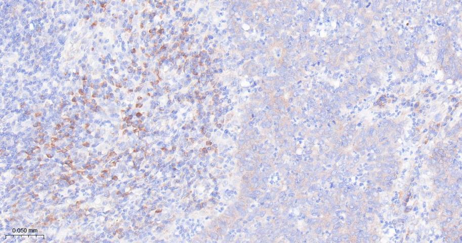
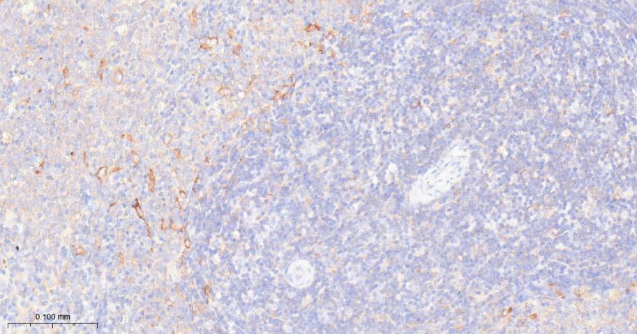
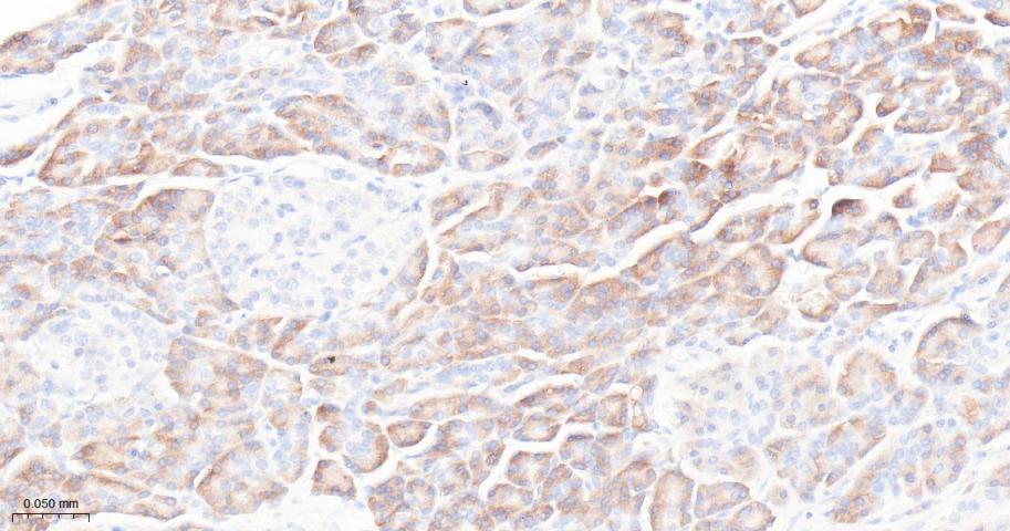
产品应用

应用已检合格种属预测种属推荐稀释比例
IHC-PHuman, Mouse, Rat1:50-200
IHC-FHuman, Mouse, Rat1:50-200
IFHuman, Mouse, Rat1:50-200
ICC/IFHuman, Mouse, Rat1:50-200

交叉反应

交叉反应: Human, Mouse, Rat

相关产品

暂无相关产品

靶标

基因名
RPS3
蛋白名
40S ribosomal protein S3
亚基
Identified in a mRNP granule complex, at least composed of ACTB, ACTN4, DHX9, ERG, HNRNPA1, HNRNPA2B1, HNRNPAB, HNRNPD, HNRNPL, HNRNPR, HNRNPU, HSPA1, HSPA8, IGF2BP1, ILF2, ILF3, NCBP1, NCL, PABPC1, PABPC4, PABPN1, RPLP0, RPS3, RPS3A, RPS4X, RPS8, RPS9, SYNCRIP, TROVE2, YBX1 and untranslated mRNAs. Identified in a HCV IRES-mediated translation complex, at least composed of EIF3C, IGF2BP1, RPS3 and HCV RNA-replicon.
亚细胞定位
Cytoplasm. Note=Localized in cytoplasmic mRNP granules containing untranslated mRNAs.
相似性
Belongs to the ribosomal protein S3P family.
Contains 1 KH type-2 domain.

同靶标产品

相关文献

提示: 发表研究结果有使用 bsm-61209R 时请让我们知道,以便我们可以引用参考文章。作为回馈,资料提供者将获得我们送上的小礼品。

常见问题