核孔复合蛋白Nup98重组兔单抗

Rrmab?兔单抗
2026-03-02~2026-04-30,KXJ26032026-03-02~2026-04-30,促销赠品
核孔复合蛋白Nup98重组兔单抗
货号:bsm-61197R
产品详情
相关标记
相关产品
相关文献
常见问题

概述

产品编号
bsm-61197R
产品类型
重组兔单抗
英文名称
NUP98 Recombinant Rabbit mAb
中文名称
核孔复合蛋白Nup98重组兔单抗
英文别名
ADIR2; NUP196; NUP96; Nup98-96; 4732457F17; NUP98_HUMAN; NUP98; 3.4.21.-; ADAR2; NUP98_MOUSE; NUP98_RAT;
抗体来源
Rabbit
免疫原
A synthesized peptide derived from human NUP98: 1600-1660/1817
亚型
IgG
性状
Liquid
纯化方法
affinity purified by Protein A
克隆类型
Recombinant
克隆号
12E4
理论分子量
198 kDa
检测分子量
188 kDa
储存液
10mM phosphate buffered saline(pH 7.4) with 150mM sodium chloride, 0.05% BSA, 0.02% Proclin300 and 50% glycerol.
SWISS
Gene ID
保存条件
Store at 4℃ for short term. Store at -20℃ for long term. Avoid repeated freeze/thaw cycles.
注意事项
This product as supplied is intended for research use only, not for use in human, therapeutic or diagnostic applications.
背景资料
Plays a role in the nuclear pore complex (NPC) assembly and/or maintenance. Nup98 and Nup96 are involved in the bidirectional transport across the NPC. May anchor NUP153 and TPR to the NPC.
核孔复合蛋白Nup98重组兔单抗核孔复合蛋白Nup98重组兔单抗核孔复合蛋白Nup98重组兔单抗核孔复合蛋白Nup98重组兔单抗核孔复合蛋白Nup98重组兔单抗

产品应用

应用已检合格种属预测种属推荐稀释比例
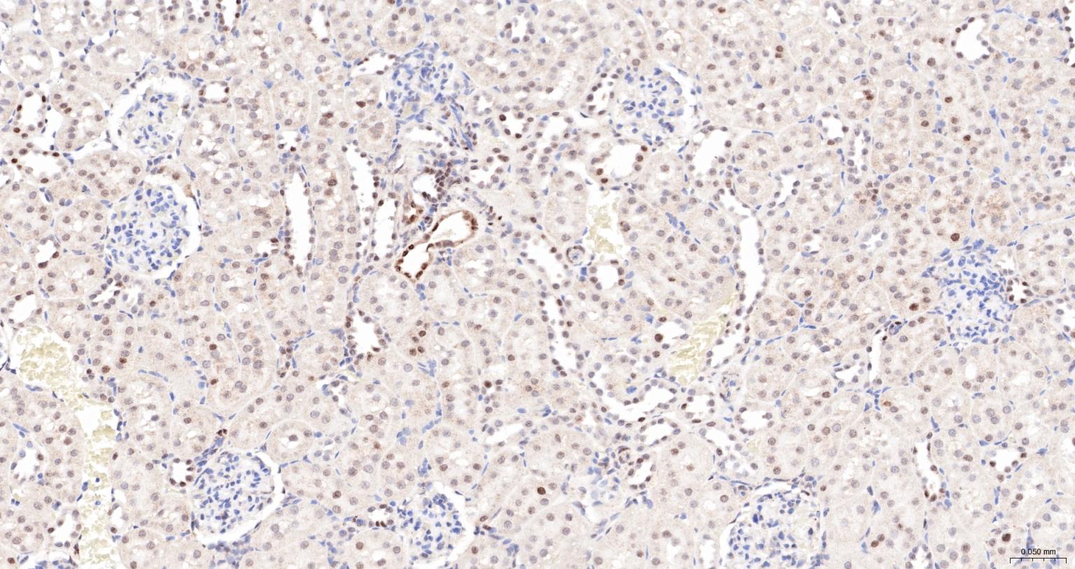
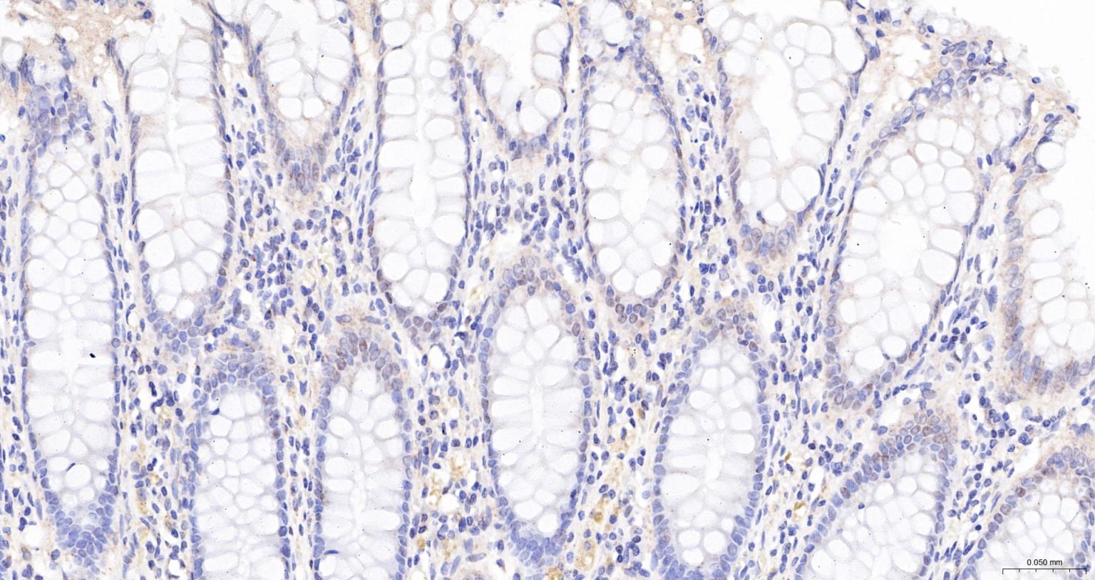
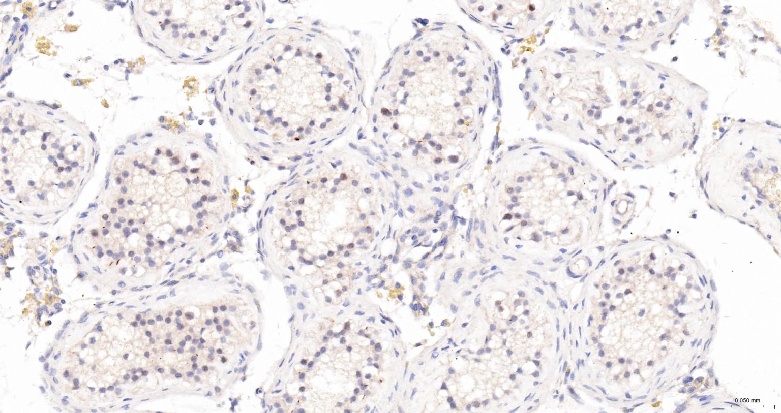
IHC-PHuman, Rat1:50-200
IHC-FHuman, Rat1:50-200
IFHuman, Rat1:50-200
Flow-CytHumanRat1:50-100
ICC/IFHuman, Rat1:50-200

交叉反应

交叉反应: Human, Rat

相关产品

暂无相关产品

靶标

基因名
NUP98
蛋白名
Nuclear pore complex protein Nup98-Nup96
亚细胞定位
Nucleus > nuclear pore complex. Nucleus membrane. Nup96 is localized to the nucleoplasmic side of the nuclear pore complex, at or near the nucleoplasmic basket.
翻译后修饰
Isoform 1 to isoform 4 are autoproteolytically cleaved to yield Nup98 and Nup96 or Nup98 only, respectively. Cleaved Nup98 is necessary for the targeting of Nup98 to the nuclear pore and the interaction with Nup96.
疾病
Note=A chromosomal aberration involving NUP98 is found in a form of acute myeloid leukemia. Translocation t(7;11)(p15;p15) with HOXA9. Translocation t(11;17)(p15;p13) with PHF23.
Note=A chromosomal aberration involving NUP98 is found in childhood acute myeloid leukemia. Translocation t(5;11)(q35;p15.5) with NSD1. Translocation t(8;11)(p11.2;p15) with WHSC1L1.
Note=A chromosomal aberration involving NUP98 is found in a form of therapy-related myelodysplastic syndrome. Translocation t(11;20)(p15;q11) with TOP1. Note=A chromosomal aberration involving NUP98 is found in a form of T-cell acute lymphoblastic leukemia (T-ALL). Translocation t(3;11)(q12.2;p15.4) with LNP1.
Note=A chromosomal aberration involving NUP98 is associated with pediatric acute myeloid leukemia (AML) with intermediate characteristics between M2-M3 French-American-British (FAB) subtypes. Translocation t(9;11)(p22;p15) with PSIP1/LEDGF. The chimeric transcript is an in-frame fusion of NUP98 exon 8 to PSIP1/LEDGF exon 4.
相似性
Belongs to the nucleoporin GLFG family.
Contains 1 peptidase S59 domain.
功能
Nup98 and Nup96 play a role in the bidirectional transport across the nucleoporin complex (NPC). The repeat domain in Nup98 has a direct role in the transport.

标记抗体

暂无标记数据

同靶标产品

暂无同靶标产品

相关文献

提示: 发表研究结果有使用 bsm-61197R 时请让我们知道,以便我们可以引用参考文章。作为回馈,资料提供者将获得我们送上的小礼品。

暂无相关文献

常见问题

暂无常见问题