Cancer > Cell Death > Apoptosis > Metabolism
Cancer > Cell Death > Apoptosis > Mitochondrial
Cardiovascular > Lipids / Lipoproteins > Lipid Metabolism > Cholesterol Metabolism
Cell Biology > Apoptosis > Mitochondrial
Metabolism > Pathways and Processes > Metabolic signaling pathways > Lipid and lipoprotein metabolism > Cholesterol Metabolism
Metabolism > Pathways and Processes > Metabolism processes > Apoptosis
Metabolism > Pathways and Processes > Mitochondrial Metabolism > Mitochondrial markers
Metabolism > Types of disease > Cancer
Signal Transduction > Metabolism > Lipid metabolism
Signal Transduction > Metabolism > Mitochondrial
Signal Transduction > Signaling Pathway > Calcium Signaling > Calcium Channels
















| 应用 | 已检合格种属 | 预测种属 | 推荐稀释比例 |
|---|---|---|---|
| WB | Human, Mouse | 1:500-2000 | |
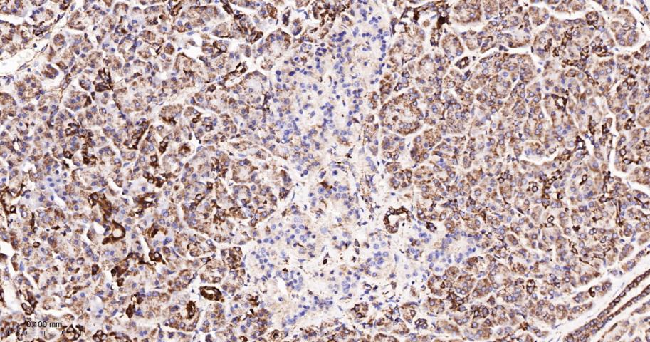
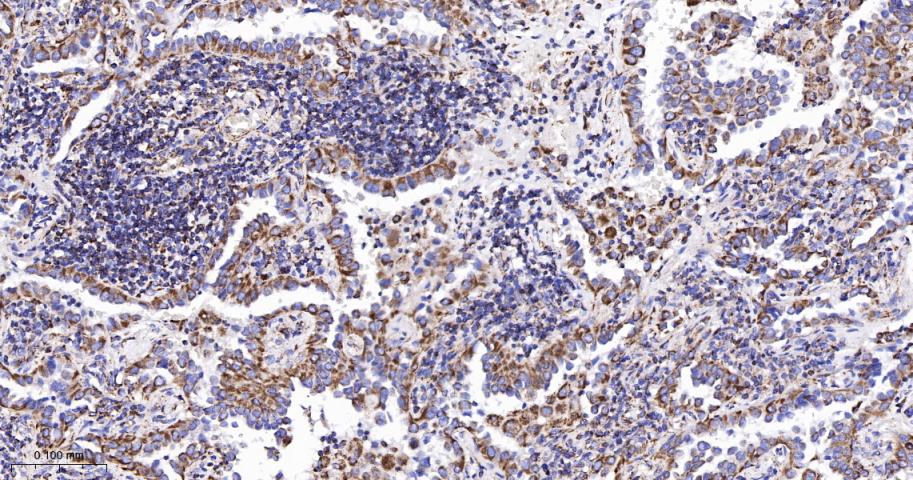
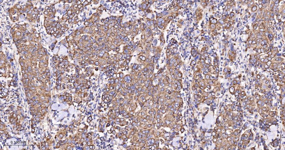
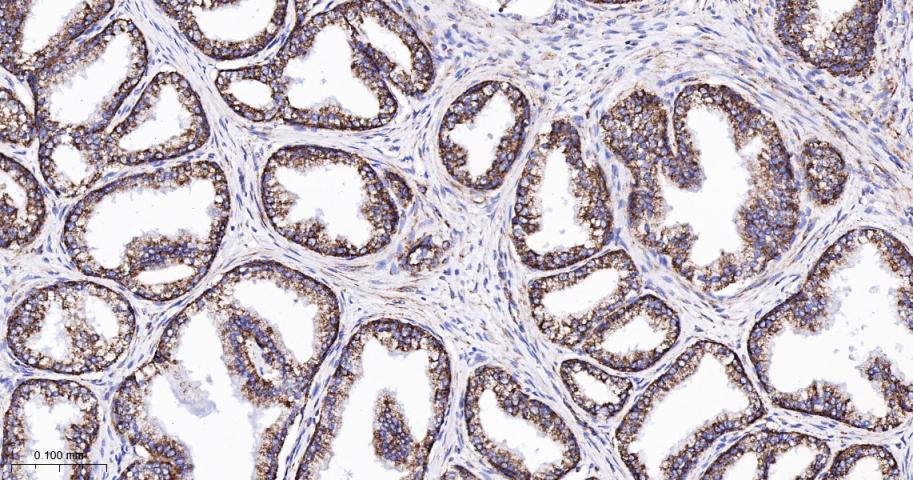
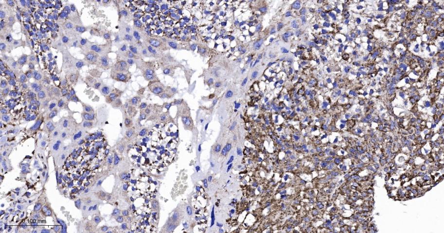
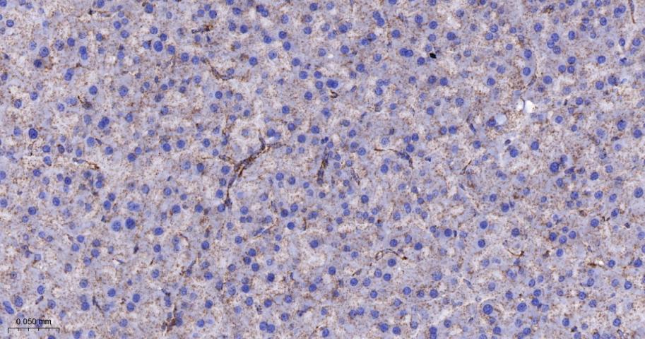
| IHC-P | Human, Mouse | 1:100-500 | |
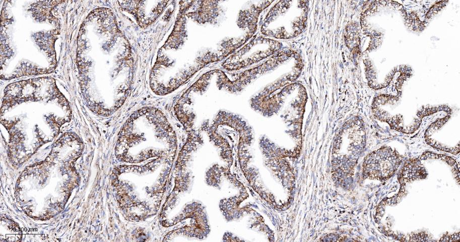
| IHC-F | Human, Mouse | 1:100-500 | |
| IF | Human, Mouse | 1:100-500 | |
| Flow-Cyt | Human | Mouse | 1:50-100 |
| ICC/IF | Human | Mouse | 1:50-200 |
| IP | Human, Mouse | 1:20-50 |
交叉反应: Human, Mouse
暂无相关产品
暂无标记数据
暂无同靶标产品
暂无相关文献
暂无常见问题