








| 应用 | 已检合格种属 | 预测种属 | 推荐稀释比例 |
|---|---|---|---|
| WB | Human, Mouse, Rat | Cow, Zebrafish, Chicken, Dog, Hamster, Monkey, Xenopus | 1:500-2000 |
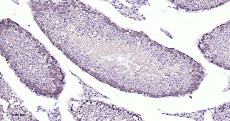
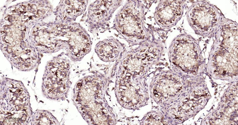
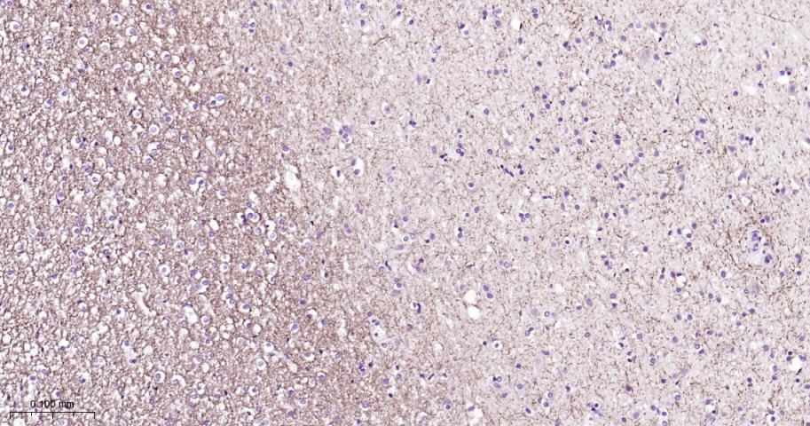
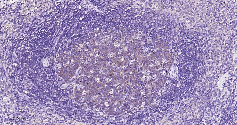
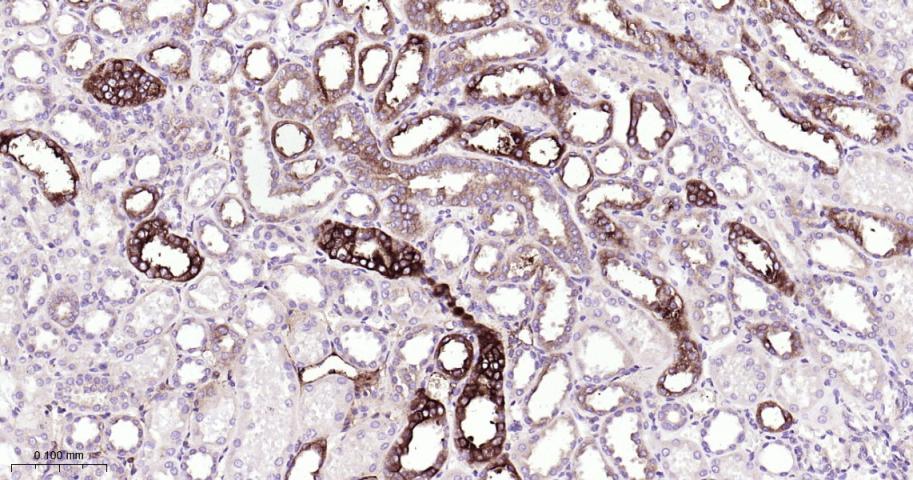
| IHC-P | Human, Mouse, Rat | Cow, Zebrafish, Chicken, Dog, Hamster, Monkey, Xenopus | 1:50-200 |
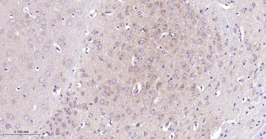
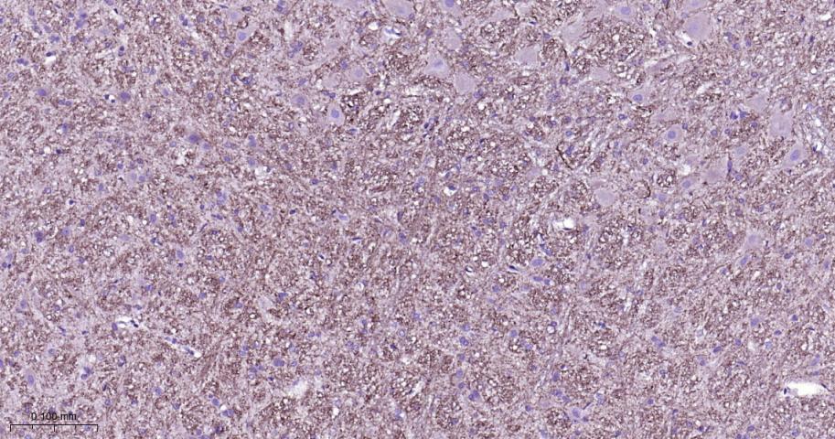
| IHC-F | Human, Mouse, Rat | Cow, Zebrafish, Chicken, Dog, Hamster, Monkey, Xenopus | 1:50-200 |
| IF | Human, Mouse, Rat | Cow, Zebrafish, Chicken, Dog, Hamster, Monkey, Xenopus | 1:50-200 |
| Flow-Cyt | Human, Mouse, Rat, Cow, Zebrafish, Chicken, Dog, Hamster, Monkey, Xenopus | 1:50-100 | |
| ICC/IF | Human, Mouse, Rat, Cow, Zebrafish, Chicken, Dog, Hamster, Monkey, Xenopus | 1:50-200 | |
| IP | Human, Mouse, Rat, Cow, Zebrafish, Chicken, Dog, Hamster, Monkey, Xenopus | 1:20-50 |
交叉反应: Human, Mouse, Rat (predicted: Cow, Zebrafish, Chicken, Dog, Hamster, Monkey, Xenopus)
暂无相关产品
暂无标记数据
暂无同靶标产品
暂无相关文献
暂无常见问题