多巴胺/cAMP调节神经磷蛋白重组兔单抗

Rrmab?兔单抗
2026-03-02~2026-04-30,KXJ26032026-03-02~2026-04-30,促销赠品
多巴胺/cAMP调节神经磷蛋白重组兔单抗
货号:bsm-61175R
产品详情
相关标记
相关产品
相关文献
常见问题

概述

产品编号
bsm-61175R
产品类型
重组兔单抗、mIHC精品抗体
英文名称
DARPP32 Recombinant Rabbit mAb
中文名称
多巴胺/cAMP调节神经磷蛋白重组兔单抗
英文别名
DARPP-32; DARPP32; PPR1B_HUMAN; PPP1R1B; Dopamine- and cAMP-regulated neuronal phosphoprotein; PPR1B_MOUSE; PPR1B_RAT;
抗体来源
Rabbit
免疫原
A synthesized peptide derived from human DARPP 32: 1-54
亚型
IgG
性状
Liquid
纯化方法
affinity purified by Protein A
克隆类型
Recombinant
克隆号
3G6
理论分子量
23 kDa
检测分子量
32 kDa
储存液
10mM phosphate buffered saline(pH 7.4) with 150mM sodium chloride, 0.05% BSA, 0.02% Proclin300 and 50% glycerol.
SWISS
Gene ID
保存条件
Store at 4℃ for short term. Store at -20℃ for long term. Avoid repeated freeze/thaw cycles.
注意事项
This product as supplied is intended for research use only, not for use in human, therapeutic or diagnostic applications.
产品介绍
    DARPP-32通过自身不同位点的磷酸化对蛋白质磷酸化和去磷酸化过程发挥着双向调控的作用.DARRP-32在脑内存在于接受多巴胺能投射的神经元中,其磷酸化过程受多种神经递质的调控,在信号转导途径中处于中心位置,整合多种胞内信号转导,调节神经元的电学和化学性质以及动物的生理行为反应,参与多种生理功能和病理过程,包括药物成瘾、抑郁症、精神分裂症等.此外,DARPP-32在非神经系统的功能也逐渐被人们所认识.
    多巴胺和cAMP调节的磷蛋白(dopamine and adenosine 3'5'-monophosphate-regulated phospho-protein,Mr 32 kD,DARPP-32)是一个具有双重功能的独特蛋白,它既是磷酸酶(如PP-1)的抑制剂,也是蛋白激酶(如PKA)的抑制剂。
背景资料
This gene encodes a bifunctional signal transduction molecule. Dopaminergic and glutamatergic receptor stimulation regulates its phosphorylation and function as a kinase or phosphatase inhibitor. As a target for dopamine, this gene may serve as a therapeutic target for neurologic and psychiatric disorders. Multiple transcript variants encoding different isoforms have been found for this gene.
多巴胺/cAMP调节神经磷蛋白重组兔单抗多巴胺/cAMP调节神经磷蛋白重组兔单抗多巴胺/cAMP调节神经磷蛋白重组兔单抗多巴胺/cAMP调节神经磷蛋白重组兔单抗多巴胺/cAMP调节神经磷蛋白重组兔单抗多巴胺/cAMP调节神经磷蛋白重组兔单抗多巴胺/cAMP调节神经磷蛋白重组兔单抗多巴胺/cAMP调节神经磷蛋白重组兔单抗多巴胺/cAMP调节神经磷蛋白重组兔单抗多巴胺/cAMP调节神经磷蛋白重组兔单抗

产品应用

应用已检合格种属预测种属推荐稀释比例
WBMouse, RatHuman1:500-2000
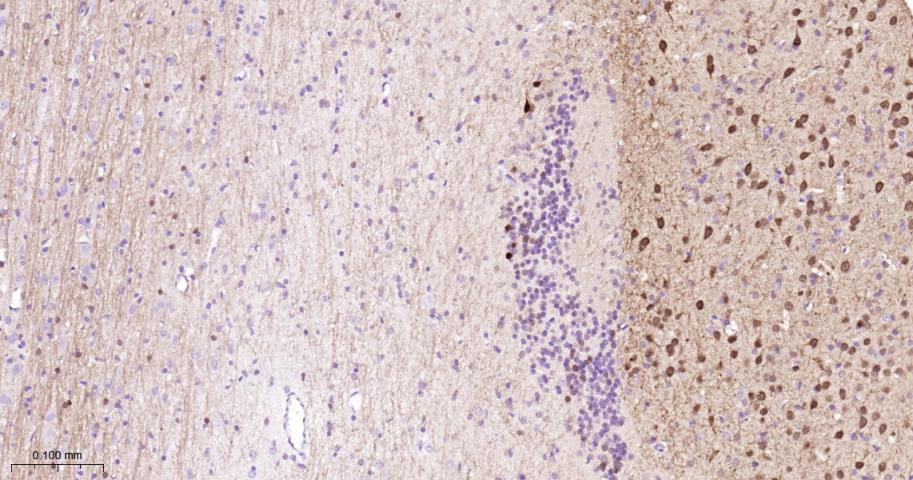
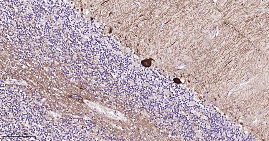
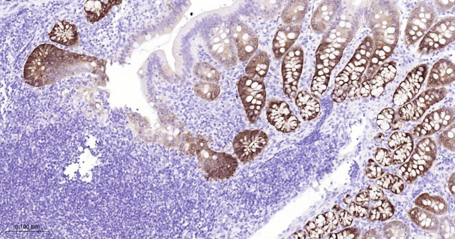
IHC-PHuman, Mouse, Rat1:100-500
IHC-FHuman, Mouse, Rat1:100-500
IFHuman, Mouse, Rat1:100-500
IPHuman, Mouse, Rat1:20-50

交叉反应

交叉反应: Human, Mouse, Rat

相关产品

暂无相关产品

靶标

基因名
PPP1R1B
蛋白名
Protein phosphatase 1 regulatory subunit 1B
亚细胞定位
Cytoplasm.
翻译后修饰
Phosphorylation of Thr-34 is required for activity.
相似性
Belongs to the protein phosphatase inhibitor 1 family.
功能
Inhibitor of protein-phosphatase 1.

标记抗体

暂无标记数据

同靶标产品

暂无同靶标产品

相关文献

提示: 发表研究结果有使用 bsm-61175R 时请让我们知道,以便我们可以引用参考文章。作为回馈,资料提供者将获得我们送上的小礼品。

暂无相关文献

常见问题

暂无常见问题