Bak Recombinant Rabbit mAb (一抗) - WB,IHC-P,IHC-F,IF,Flow-Cyt,ICC/IF,IP | Bioss

Rrmab?兔单抗
2026-05-01~2026-06-30,AB26052026-05-01~2026-06-30,WB精选(促销赠品)
Bak Recombinant Rabbit mAb (一抗) - WB,IHC-P,IHC-F,IF,Flow-Cyt,ICC/IF,IP | Bioss
货号:bsm-61174R
产品详情
相关标记
相关产品
相关文献
常见问题

概述

产品编号
bsm-61174R
产品类型
重组兔单抗、mIHC精品抗体
英文名称
Bak Recombinant Rabbit mAb
中文名称
Bcl-2同源拮抗剂重组兔单抗
英文别名
BAK; BAK-LIKE; BCL2L7; CDN1; N-BAK1; N-Bak; BAK_HUMAN; BAK1; Apoptosis regulator BAK; Bcl-2-like protein 7 (Bcl2-L-7); BAK_MOUSE;
抗体来源
Rabbit
免疫原
A synthesized peptide derived from human BAK1: 1-48
亚型
IgG
性状
Liquid
纯化方法
affinity purified by Protein A
克隆类型
Recombinant
克隆号
5C2
理论分子量
23 kDa
检测分子量
25 kDa
储存液
10mM phosphate buffered saline(pH 7.4) with 150mM sodium chloride, 0.05% BSA, 0.02% Proclin300 and 50% glycerol.
SWISS
Gene ID
保存条件
Store at 4℃ for short term. Store at -20℃ for long term. Avoid repeated freeze/thaw cycles.
注意事项
This product as supplied is intended for research use only, not for use in human, therapeutic or diagnostic applications.
产品介绍
Bak属于bcl-2基因家族中的成员,具有抑制凋亡的作用。BAK基因是新发现的细胞凋亡促进因子,BAK含BH1和BH2结构域,其功能类似于BAX;拮抗BCL2、BCL-XL的抗凋亡效应。
背景资料
Plays a role in the mitochondrial apoptotic process. Upon arrival of cell death signals, promotes mitochondrial outer membrane (MOM) permeabilization by oligomerizing to form pores within the MOM. This releases apoptogenic factors into the cytosol, including cytochrome c, promoting the activation of caspase 9 which in turn processes and activates the effector caspases.
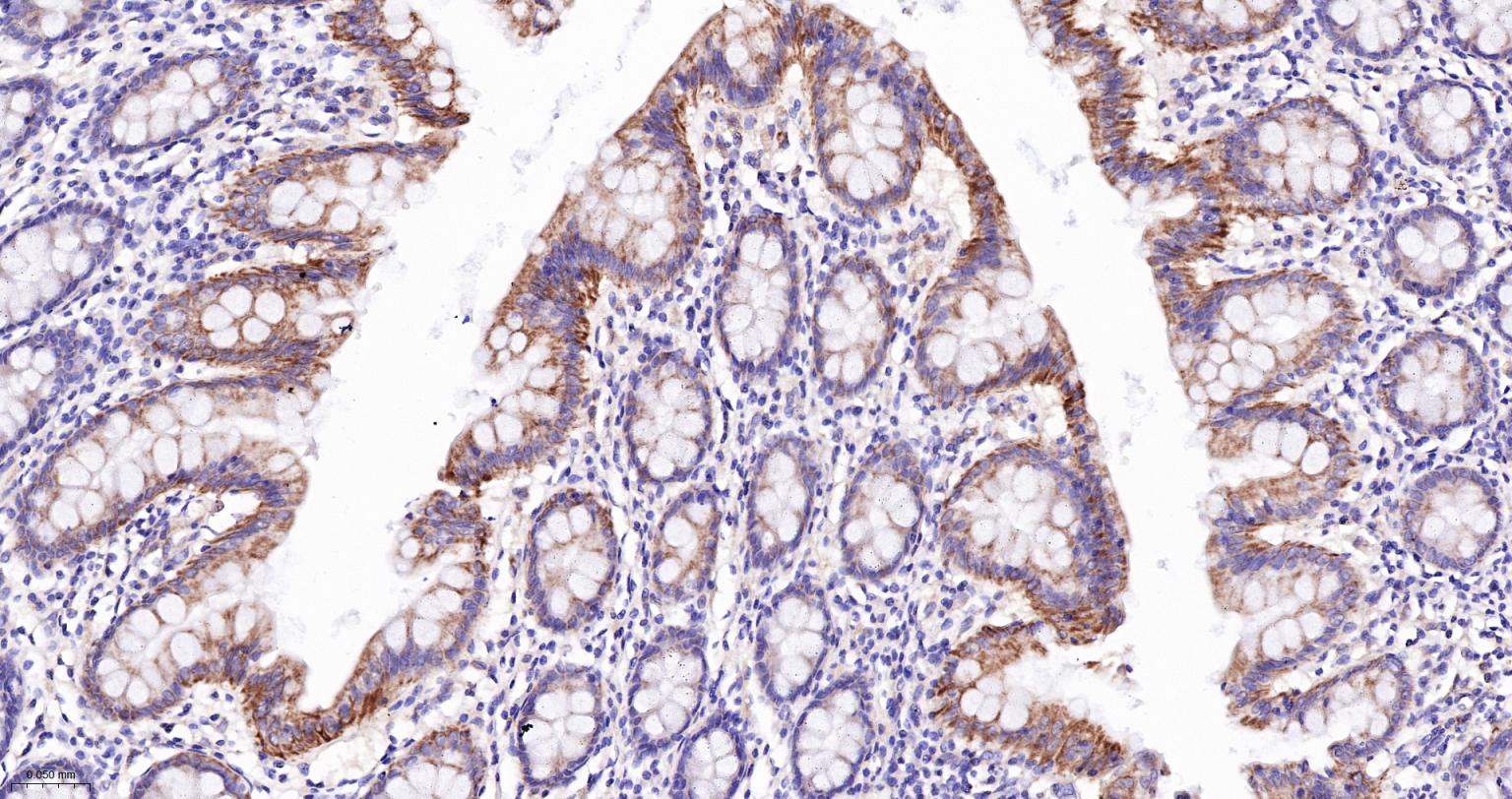
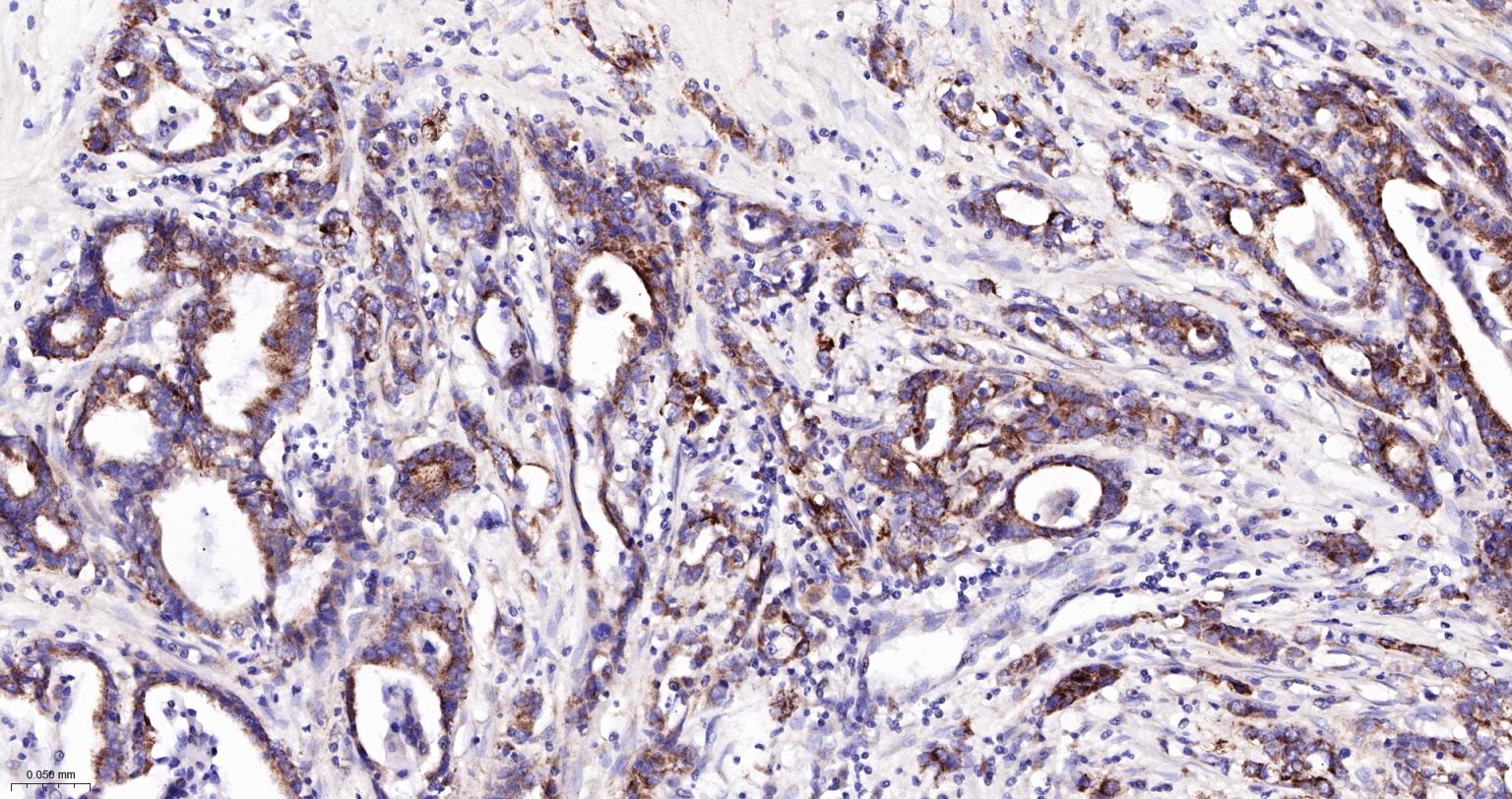
Bcl-2同源拮抗剂重组兔单抗-bsm-61174RBcl-2同源拮抗剂重组兔单抗-bsm-61174RBcl-2同源拮抗剂重组兔单抗-bsm-61174RBcl-2同源拮抗剂重组兔单抗-bsm-61174RBcl-2同源拮抗剂重组兔单抗-bsm-61174RBcl-2同源拮抗剂重组兔单抗-bsm-61174R

产品应用

应用已检合格种属预测种属推荐稀释比例
WBHuman1:500-2000
IHC-PHuman1:200-500
IHC-FHuman1:200-500
IFHuman1:200-500
Flow-CytHuman1ug/Test
ICC/IFHuman1:100-500
IPHuman1:20-50

交叉反应

交叉反应: Human

相关产品

暂无相关产品

靶标

基因名
BAK1
蛋白名
Bcl-2 homologous antagonist/killer
亚基
Belongs to the Bcl-2 family.
亚细胞定位
Mitochondrion membrane.
组织特异性
Expressed in a wide variety of tissues.
相似性
Belongs to the Bcl-2 family.
功能
In the presence of an appropriate stimulus, accelerates programmed cell death by binding to, and antagonizing the anti-apoptotic action of BCL2 or its adenovirus homolog E1B 19k protein. Low micromolar levels of zinc ions inhibit the promotion of apoptosis.

同靶标产品

相关文献

提示: 发表研究结果有使用 bsm-61174R 时请让我们知道,以便我们可以引用参考文章。作为回馈,资料提供者将获得我们送上的小礼品。

常见问题