ALKBH1蛋白重组兔单抗

Rrmab?兔单抗
2026-03-02~2026-04-30,KXJ26032026-03-02~2026-04-30,促销赠品
ALKBH1蛋白重组兔单抗
货号:bsm-61168R
产品详情
相关标记
相关产品
相关文献
常见问题

概述

产品编号
bsm-61168R
产品类型
重组兔单抗、mIHC精品抗体
英文名称
ALKBH1 Recombinant Rabbit mAb
中文名称
ALKBH1蛋白重组兔单抗
英文别名
ALKB1_HUMAN; ALKBH1; Alkylated DNA repair protein alkB homolog 1; Alpha-ketoglutarate-dependent dioxygenase ABH1; DNA 6mA demethylase; DNA N6-methyl adenine demethylase ALKBH1; DNA lyase ABH1; DNA oxidative demethylase ALKBH1; mRNA N(3)-methylcytidine demethylase; 1.14.11.-; ABH; ABH1; ALKBH; alkB; hABH;
抗体来源
Rabbit
免疫原
A synthesized peptide derived from human ALKBH1: 1-85
亚型
IgG
性状
Liquid
纯化方法
affinity purified by Protein A
克隆类型
Recombinant
克隆号
12E4
理论分子量
44 kDa
检测分子量
43 kDa
储存液
10mM phosphate buffered saline(pH 7.4) with 150mM sodium chloride, 0.05% BSA, 0.02% Proclin300 and 50% glycerol.
SWISS
Gene ID
保存条件
Store at 4℃ for short term. Store at -20℃ for long term. Avoid repeated freeze/thaw cycles.
注意事项
This product as supplied is intended for research use only, not for use in human, therapeutic or diagnostic applications.
背景资料
Dioxygenase that repairs alkylated single-stranded DNA and RNA containing 3-methylcytosine by oxidative demethylation. Requires molecular oxygen, alpha-ketoglutarate and iron.
ALKBH1蛋白重组兔单抗ALKBH1蛋白重组兔单抗ALKBH1蛋白重组兔单抗ALKBH1蛋白重组兔单抗ALKBH1蛋白重组兔单抗ALKBH1蛋白重组兔单抗ALKBH1蛋白重组兔单抗ALKBH1蛋白重组兔单抗

产品应用

应用已检合格种属预测种属推荐稀释比例
WBHuman, Mouse, Rat1:500-2000
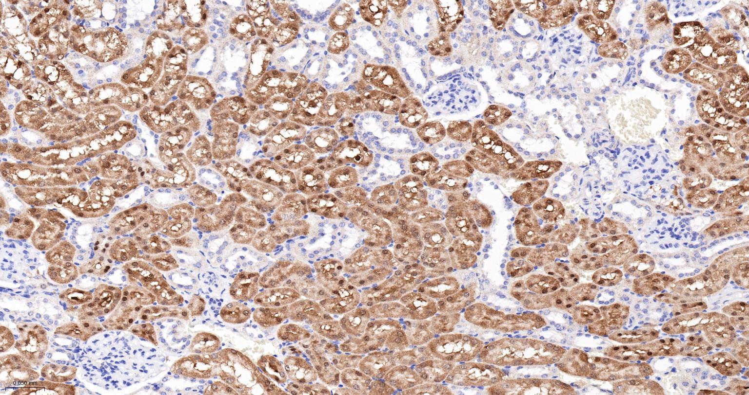
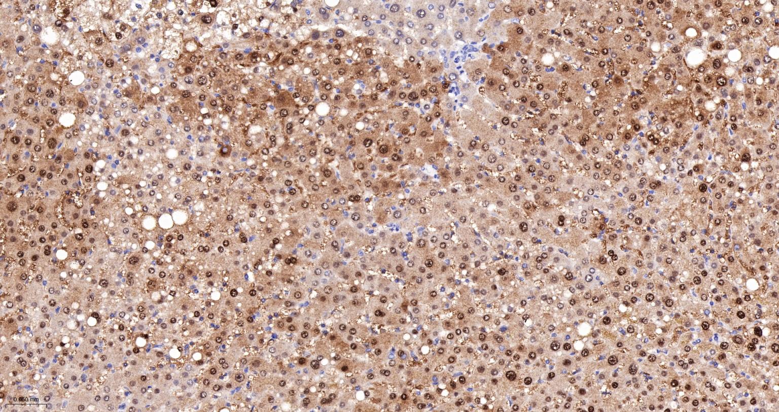
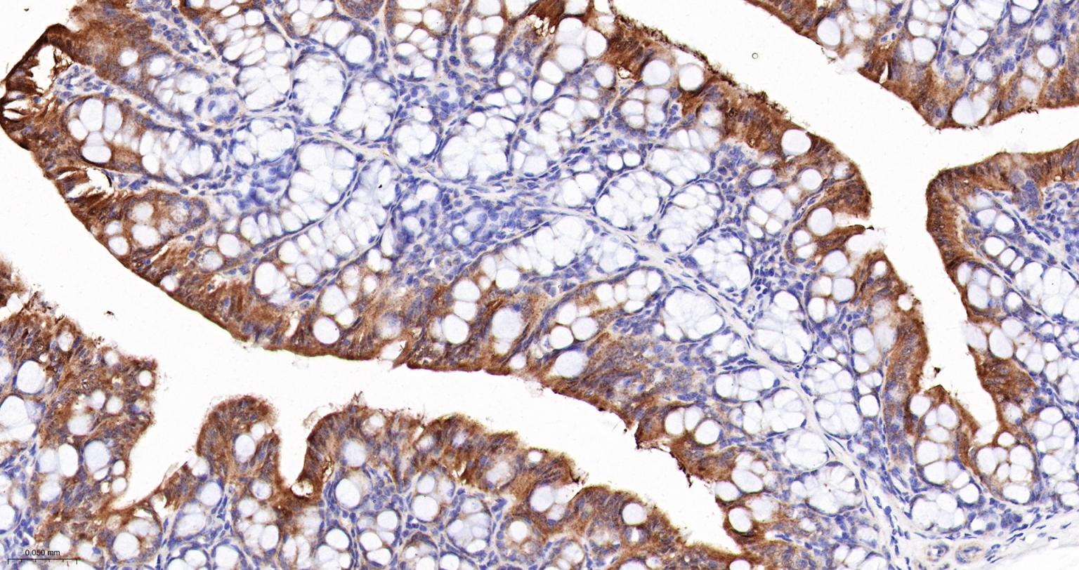
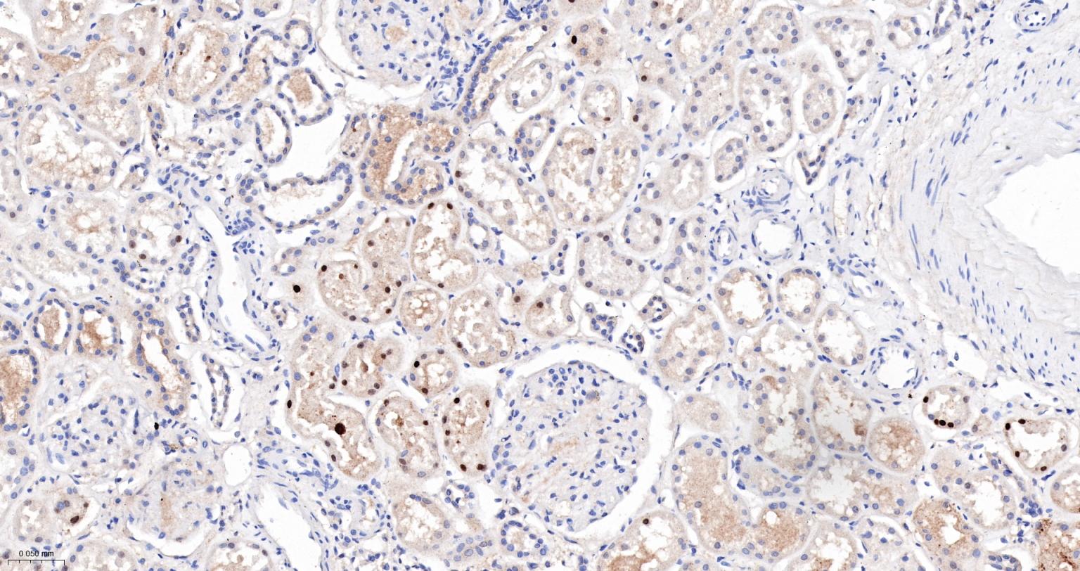
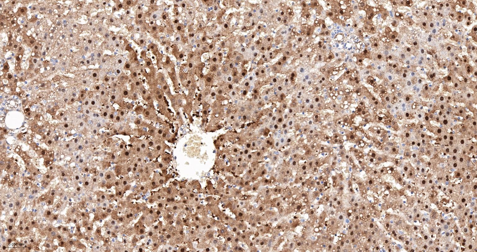
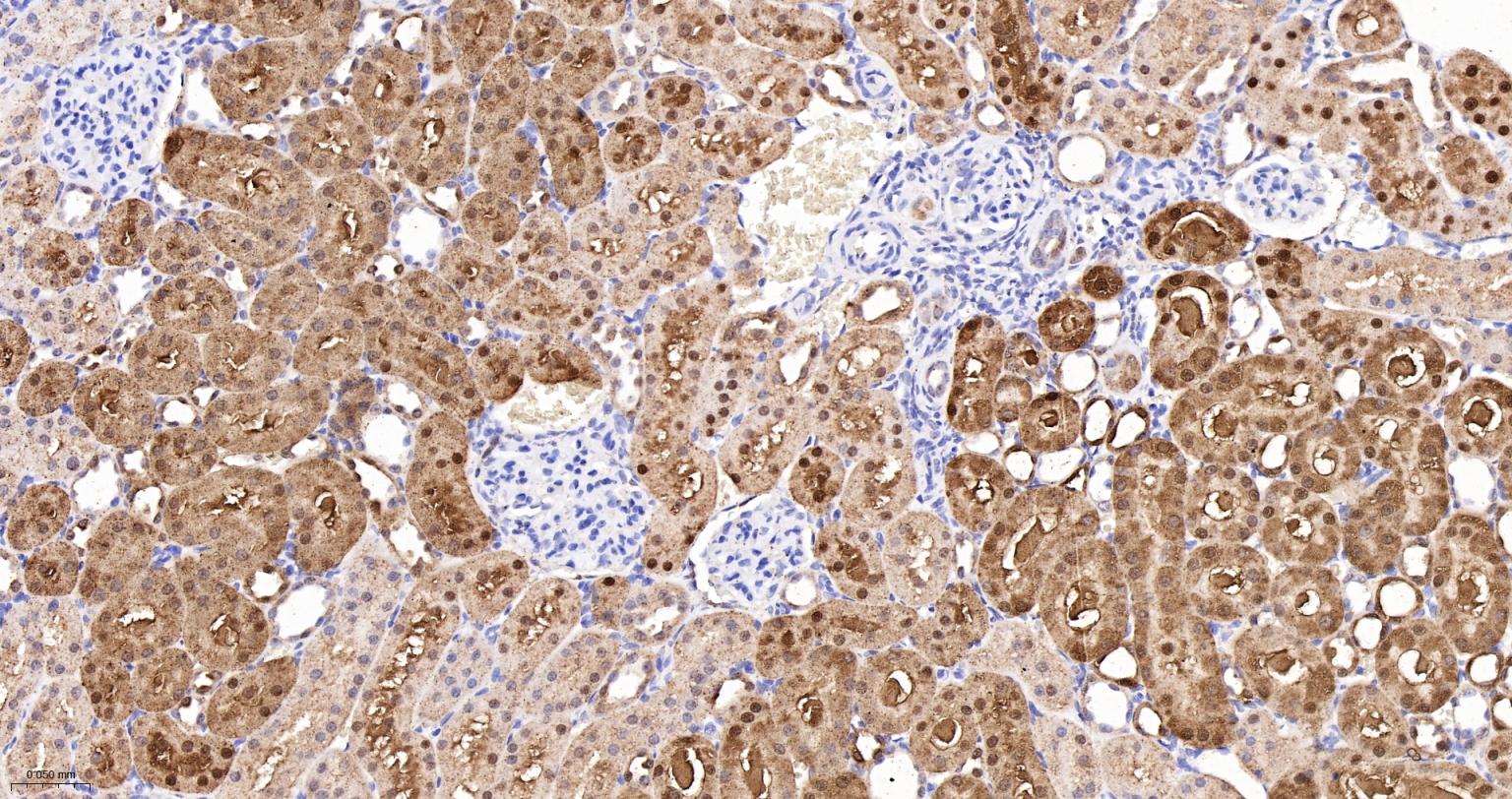
IHC-PHuman, Mouse, Rat1:100-200
IHC-FHuman, Mouse, Rat1:100-200
IFHuman, Mouse, Rat1:100-200

交叉反应

交叉反应: Human, Mouse, Rat

相关产品

暂无相关产品

靶标

基因名
ALKBH1
蛋白名
Nucleic acid dioxygenase ALKBH1

标记抗体

暂无标记数据

同靶标产品

暂无同靶标产品

相关文献

提示: 发表研究结果有使用 bsm-61168R 时请让我们知道,以便我们可以引用参考文章。作为回馈,资料提供者将获得我们送上的小礼品。

暂无相关文献

常见问题

暂无常见问题