PIK3C3 Recombinant Rabbit mAb (一抗) - WB,IHC-P,IHC-F,IF | Bioss

Rrmab?兔单抗
2026-05-01~2026-06-30,AB2605
PIK3C3 Recombinant Rabbit mAb (一抗) - WB,IHC-P,IHC-F,IF | Bioss
货号:bsm-61161R
产品详情
相关标记
相关产品
相关文献
常见问题

概述

产品编号
bsm-61161R
产品类型
重组兔单抗
英文名称
PIK3C3 Recombinant Rabbit mAb
中文名称
磷脂酰肌醇激酶3催化亚单位3重组兔单抗
英文别名
VPS34; hVps34; 5330434F23Rik; PK3C3_HUMAN; PIK3C3; PI3-kinase type 3; PI3K type 3; PtdIns-3-kinase type 3; Phosphatidylinositol 3-kinase p100 subunit; Phosphoinositide-3-kinase class 3; 2.7.1.137; PK3C3_MOUSE; PK3C3_RAT;
抗体来源
Rabbit
免疫原
A synthesized peptide derived from human PI3 kinase p100: 800-887
亚型
IgG
性状
Liquid
纯化方法
affinity purified by Protein A
克隆类型
Recombinant
克隆号
3D8
理论分子量
102 kDa
检测分子量
105 kDa
储存液
10mM phosphate buffered saline(pH 7.4) with 150mM sodium chloride, 0.05% BSA, 0.02% Proclin300 and 50% glycerol.
SWISS
Gene ID
保存条件
Store at 4℃ for short term. Store at -20℃ for long term. Avoid repeated freeze/thaw cycles.
注意事项
This product as supplied is intended for research use only, not for use in human, therapeutic or diagnostic applications.
背景资料
Catalytic subunit of the PI3K complex that mediates formation of phosphatidylinositol 3-phosphate; different complex forms are believed to play a role in multiple membrane trafficking pathways: PI3KC3-C1 is involved in initiation of autophagosomes and PI3KC3-C2 in maturation of autophagosomes and endocytosis.
磷脂酰肌醇激酶3催化亚单位3重组兔单抗-bsm-61161R磷脂酰肌醇激酶3催化亚单位3重组兔单抗-bsm-61161R磷脂酰肌醇激酶3催化亚单位3重组兔单抗-bsm-61161R磷脂酰肌醇激酶3催化亚单位3重组兔单抗-bsm-61161R磷脂酰肌醇激酶3催化亚单位3重组兔单抗-bsm-61161R磷脂酰肌醇激酶3催化亚单位3重组兔单抗-bsm-61161R磷脂酰肌醇激酶3催化亚单位3重组兔单抗-bsm-61161R磷脂酰肌醇激酶3催化亚单位3重组兔单抗-bsm-61161R磷脂酰肌醇激酶3催化亚单位3重组兔单抗-bsm-61161R磷脂酰肌醇激酶3催化亚单位3重组兔单抗-bsm-61161R

产品应用

应用已检合格种属预测种属推荐稀释比例
WBMouseHuman, Rat1:500-2000
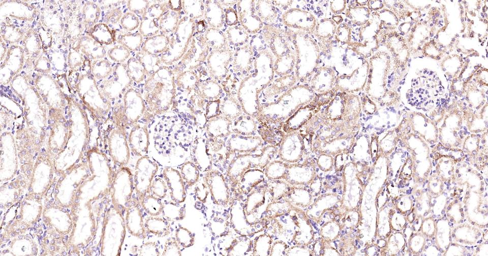
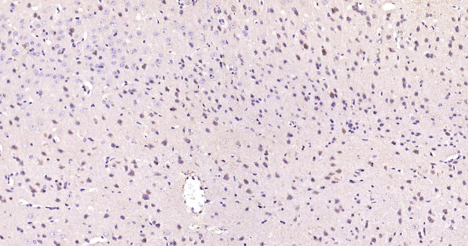
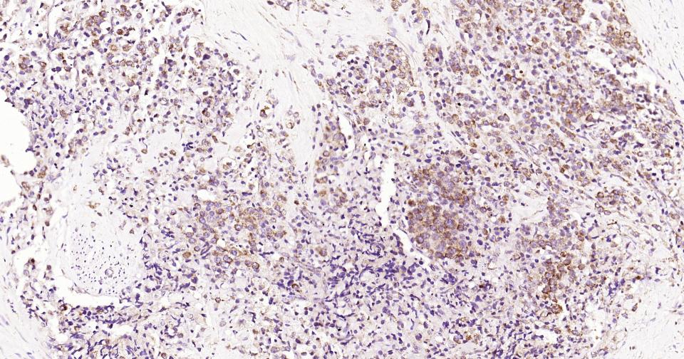
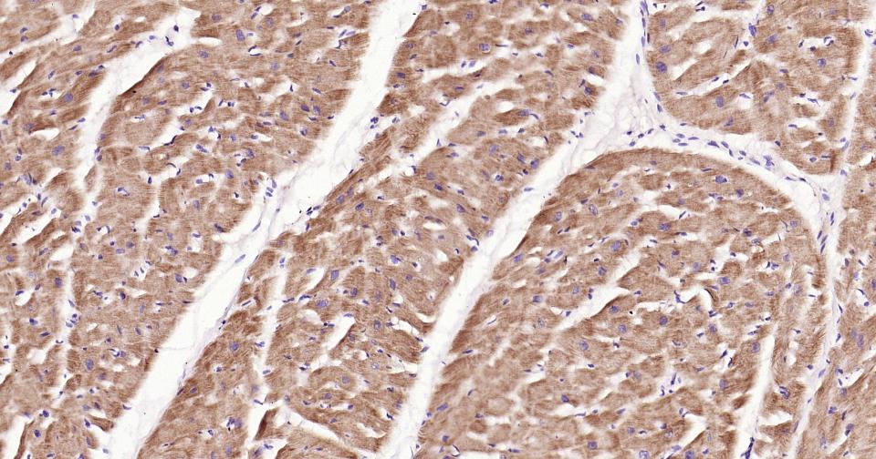
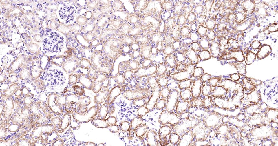
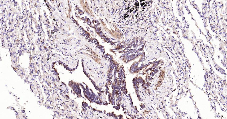
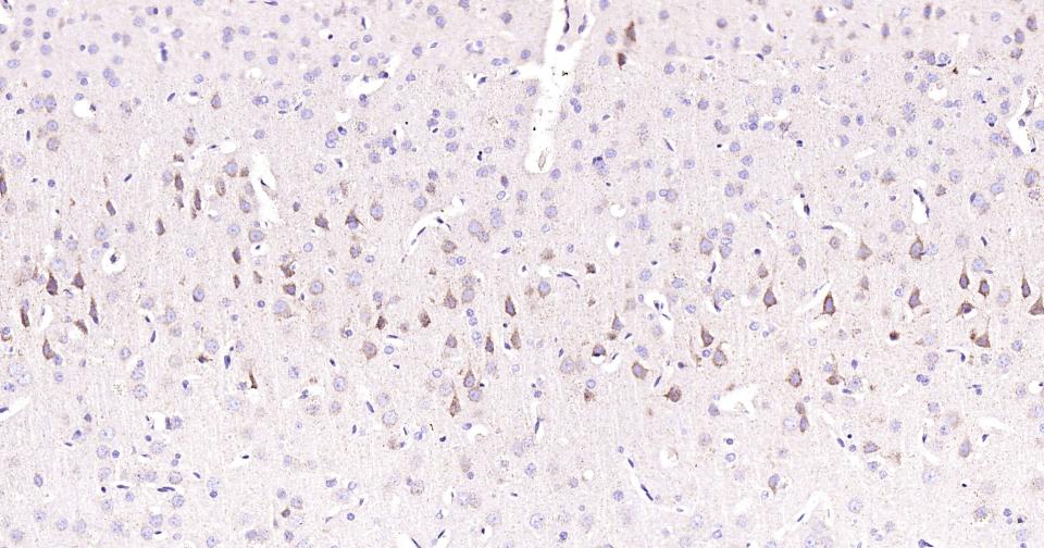
IHC-PHuman, Mouse, Rat1:50-200
IHC-FHuman, Mouse, Rat1:50-200
IFHuman, Mouse, Rat1:50-200

交叉反应

交叉反应: Human, Mouse, Rat

相关产品

暂无相关产品

靶标

基因名
PIK3C3
蛋白名
Phosphatidylinositol 3-kinase catalytic subunit type 3
亚基
Heterodimer. This subunit, part of a complex composed of regulatory and catalytic subunits, associates with regulatory subunit PIK3R4. Forms a complex with BECN1, PIK3R4 and either UVRAG and KIAA0226/Rubicon, or with ATG14. In this complex, presence of UVRAG and ATG14 are mutually exclusive. Part of a complex composed of PIK3R4 and PIK3CB (By similarity). Interacts with RAB7A in the presence of PIK3R4.
亚细胞定位
Midbody. Late endosome.
组织特异性
Ubiquitously expressed, with a highest expression in skeletal muscle.
相似性
Belongs to the PI3/PI4-kinase family.
Contains 1 C2 PI3K-type domain.
Contains 1 PI3K/PI4K domain.
Contains 1 PIK helical domain.
功能
Catalytic subunit of the PI3K complex that mediates formation of phosphatidylinositol 3-phosphate which plays a key role in initiation and maturation of autophagosomes. Involved in the transport of lysosomal enzyme precursors to lysosomes. Required for the abcission step in cytokinesis. Required for transport from early to late endosomes.

同靶标产品

相关文献

提示: 发表研究结果有使用 bsm-61161R 时请让我们知道,以便我们可以引用参考文章。作为回馈,资料提供者将获得我们送上的小礼品。

常见问题